Suppr超能文献

将六倍体小黑麦品种索伦托的叶锈病和白粉病抗性基因同时导入面包小麦

Simultaneous Transfer of Leaf Rust and Powdery Mildew Resistance Genes from Hexaploid Triticale Cultivar Sorento into Bread Wheat.

作者信息

Li Feng, Li Yinghui, Cao Lirong, Liu Peiyuan, Geng Miaomiao, Zhang Qiang, Qiu Lina, Sun Qixin, Xie Chaojie

机构信息

Key Laboratory of Crop Heterosis and Utilization, Ministry of Education, State Key Laboratory of Agro-Biotechnology, Beijing Key Laboratory of Crop Genetic Improvement, China Agricultural University, Beijing, China.

出版信息

Front Plant Sci. 2018 Feb 5;9:85. doi: 10.3389/fpls.2018.00085. eCollection 2018.

Abstract

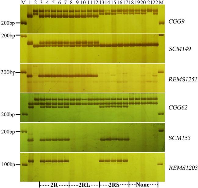
Wheat powdery mildew, caused by f. sp. , and wheat leaf rust, caused by Eriks, are two important diseases that severely threaten wheat production. Sorento, a hexaploid triticale cultivar from Poland, shows high resistance to the wheat powdery mildew isolate E09 and the leaf rust isolate PHT in Beijing, China. To introduce resistance genes into common wheat, Sorento was crossed with wheat line Xuezao, which is susceptible to both diseases, and the F hybrids were then backcrossed with Xuezao as the recurrent male parent. By marker analysis, we demonstrate that the long arm of the 2R (2RL) chromosome confers resistance to both the leaf rust and powdery mildew isolates at adult-plant and seedling stages, while the long arm of 4R (4RL) confers resistance only to powdery mildew at both stages. The chromosomal composition of BCF plants containing 2R or 2RL and 4R or 4RL in the form of substitution and translocation were confirmed by GISH (genomic hybridization) and FISH (fluorescence hybridization). Monosomic and disomic substitutions of a wheat chromosome with chromosome 2R or 4R, as well as one 4RS-4DL/4DS-4RL reciprocal translocation homozigote and one 2RL-1DL translocation hemizigote, were recovered. Such germplasms are of great value in wheat improvement.

摘要

由小麦白粉菌引起的小麦白粉病和由隐匿柄锈菌引起的小麦叶锈病是严重威胁小麦生产的两种重要病害。来自波兰的六倍体小黑麦品种索伦托在中国北京对小麦白粉菌分离株E09和叶锈菌分离株PHT表现出高抗性。为了将抗性基因导入普通小麦,将索伦托与对这两种病害均敏感的小麦品系薛早杂交,然后将F1杂种与薛早作为轮回父本进行回交。通过标记分析,我们证明2R染色体长臂(2RL)在成株期和苗期均赋予对叶锈菌和白粉菌分离株的抗性,而4R染色体长臂(4RL)仅在两个阶段赋予对白粉菌的抗性。通过基因组原位杂交(GISH)和荧光原位杂交(FISH)证实了以代换和易位形式含有2R或2RL以及4R或4RL的BCF植株的染色体组成。获得了用2R或4R染色体对小麦染色体进行的单体和二体代换,以及一个4RS-4DL/4DS-4RL相互易位纯合子和一个2RL-1DL易位半合子。这类种质在小麦改良中具有重要价值。

https://cdn.ncbi.nlm.nih.gov/pmc/blobs/82a1/5807375/04894de75e2b/fpls-09-00085-g0001.jpg

相似文献

2
Development of Novel Wheat-Rye Chromosome 4R Translocations and Assignment of Their Powdery Mildew Resistance.
Plant Dis. 2020 Jan;104(1):260-268. doi: 10.1094/PDIS-01-19-0160-RE. Epub 2019 Oct 22.
4
A Novel Wheat-Rye 2R (2D) Disomic Substitution Line Pyramids Two Types of Resistance to Powdery Mildew.
Plant Dis. 2022 Sep;106(9):2433-2440. doi: 10.1094/PDIS-12-21-2765-RE. Epub 2022 Jun 19.
8
Introgression of an adult-plant powdery mildew resistance gene from chromosome 4V into bread wheat.
Front Plant Sci. 2024 Jun 20;15:1401525. doi: 10.3389/fpls.2024.1401525. eCollection 2024.
10
Introgression of an All-Stage and Broad-Spectrum Powdery Mildew Resistance Gene from Chromosome 3V into Wheat.
Plant Dis. 2024 Jul;108(7):2073-2080. doi: 10.1094/PDIS-11-23-2495-RE. Epub 2024 Jun 21.

本文引用的文献

1
Virulence of Blumeria graminis f. sp. tritici on Winter Wheat in the Eastern United States.
Plant Dis. 1998 Jan;82(1):64-68. doi: 10.1094/PDIS.1998.82.1.64.
2
Virulence of Blumeria graminis f. sp. tritici Populations in Morocco.
Plant Dis. 2002 Apr;86(4):383-388. doi: 10.1094/PDIS.2002.86.4.383.
3
Virulence Structure of the Eastern U.S. Wheat Powdery Mildew Population.
Plant Dis. 2008 Jul;92(7):1074-1082. doi: 10.1094/PDIS-92-7-1074.
4
Genetic, Physical and Comparative Mapping of the Powdery Mildew Resistance Gene Originating from .
Front Plant Sci. 2017 Nov 7;8:1914. doi: 10.3389/fpls.2017.01914. eCollection 2017.
5
An overview of genetic rust resistance: From broad to specific mechanisms.
PLoS Pathog. 2017 Jul 13;13(7):e1006380. doi: 10.1371/journal.ppat.1006380. eCollection 2017 Jul.
6
Centromere structure and function analysis in wheat-rye translocation lines.
Plant J. 2017 Jul;91(2):199-207. doi: 10.1111/tpj.13554. Epub 2017 May 9.
8
Characterization of Lr75: a partial, broad-spectrum leaf rust resistance gene in wheat.
Theor Appl Genet. 2017 Jan;130(1):1-12. doi: 10.1007/s00122-016-2784-1. Epub 2016 Sep 22.
9
Pm55, a developmental-stage and tissue-specific powdery mildew resistance gene introgressed from Dasypyrum villosum into common wheat.
Theor Appl Genet. 2016 Oct;129(10):1975-84. doi: 10.1007/s00122-016-2753-8. Epub 2016 Jul 15.
10
The wheat Sr50 gene reveals rich diversity at a cereal disease resistance locus.
Nat Plants. 2015 Nov 30;1:15186. doi: 10.1038/nplants.2015.186.

文献AI研究员

20分钟写一篇综述,助力文献阅读效率提升50倍。

立即体验

用中文搜PubMed

大模型驱动的PubMed中文搜索引擎

马上搜索

文档翻译

学术文献翻译模型,支持多种主流文档格式。

立即体验