• 文献检索
  • 文档翻译
  • 深度研究
  • 学术资讯
  • Suppr Zotero 插件Zotero 插件
  • 邀请有礼
  • 套餐&价格
  • 历史记录
应用&插件
Suppr Zotero 插件Zotero 插件浏览器插件Mac 客户端Windows 客户端微信小程序
定价
高级版会员购买积分包购买API积分包
服务
文献检索文档翻译深度研究API 文档MCP 服务
关于我们
关于 Suppr公司介绍联系我们用户协议隐私条款
关注我们

Suppr 超能文献

核心技术专利:CN118964589B侵权必究
粤ICP备2023148730 号-1Suppr @ 2026

文献检索

告别复杂PubMed语法,用中文像聊天一样搜索,搜遍4000万医学文献。AI智能推荐,让科研检索更轻松。

立即免费搜索

文件翻译

保留排版,准确专业,支持PDF/Word/PPT等文件格式,支持 12+语言互译。

免费翻译文档

深度研究

AI帮你快速写综述,25分钟生成高质量综述,智能提取关键信息,辅助科研写作。

立即免费体验

白细胞介素 4 受体α通过巨噬细胞信号转导差异调节肝纤维化的进展和逆转。

IL-4 Receptor Alpha Signaling through Macrophages Differentially Regulates Liver Fibrosis Progression and Reversal.

机构信息

Institute of Translational Immunology, University Medical Center, Johannes Gutenberg University, Mainz, Germany; Research Center for Immunotherapy (FZI), University Medical Center, Johannes Gutenberg University, Mainz, Germany.

Research Center for Immunotherapy (FZI), University Medical Center, Johannes Gutenberg University, Mainz, Germany; Institute for Molecular Medicine, University Medical Center, Johannes Gutenberg University, Mainz, Germany.

出版信息

EBioMedicine. 2018 Mar;29:92-103. doi: 10.1016/j.ebiom.2018.01.028. Epub 2018 Feb 17.

DOI:10.1016/j.ebiom.2018.01.028
PMID:29463471
原文链接:https://pmc.ncbi.nlm.nih.gov/articles/PMC5925448/
Abstract

UNLABELLED

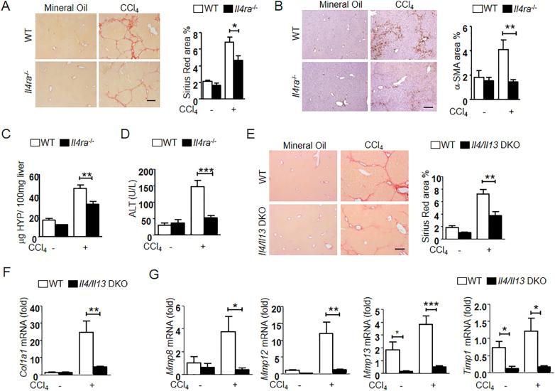
Chronic hepatitis leads to liver fibrosis and cirrhosis. Cirrhosis is a major cause of worldwide morbidity and mortality. Macrophages play a key role in fibrosis progression and reversal. However, the signals that determine fibrogenic vs fibrolytic macrophage function remain ill defined. We studied the role of interleukin-4 receptor α (IL-4Rα), a potential central switch of macrophage polarization, in liver fibrosis progression and reversal. We demonstrate that inflammatory monocyte infiltration and liver fibrogenesis were suppressed in general IL-4Rα as well as in macrophage-specific IL-4Rα (IL-4Rα) mice. However, with deletion of IL-4Rα spontaneous fibrosis reversal was retarded. Results were replicated by pharmacological intervention using IL-4Rα-specific antisense oligonucleotides. Retarded resolution was linked to the loss of M2-type resident macrophages, which secreted MMP-12 through IL-4 and IL-13-mediated phospho-STAT6 activation. We conclude that IL-4Rα signaling regulates macrophage functional polarization in a context-dependent manner. Pharmacological targeting of macrophage polarization therefore requires disease stage-specific treatment strategies.

RESEARCH IN CONTEXT

Alternative (M2-type) macrophage activation through IL-4Rα promotes liver inflammation and fibrosis progression but speeds up fibrosis reversal. This demonstrates context dependent, opposing roles of M2-type macrophages. During reversal IL-4Rα induces fibrolytic MMPs, especially MMP-12, through STAT6. Liver-specific antisense oligonucleotides efficiently block IL-4Rα expression and attenuate fibrosis progression.

摘要

未加标签

慢性肝炎导致肝纤维化和肝硬化。肝硬化是全球发病率和死亡率的主要原因。巨噬细胞在纤维化进展和逆转中起着关键作用。然而,决定成纤维细胞与纤维溶解巨噬细胞功能的信号仍然定义不明确。我们研究了白细胞介素 4 受体α(IL-4Rα)在肝纤维化进展和逆转中的作用,IL-4Rα 是巨噬细胞极化的潜在中央开关。我们证明,炎症性单核细胞浸润和肝纤维化在一般 IL-4Rα 以及巨噬细胞特异性 IL-4Rα(IL-4Rα)小鼠中均受到抑制。然而,IL-4Rα 的缺失会延迟自发性纤维化的逆转。使用 IL-4Rα 特异性反义寡核苷酸进行药理学干预复制了这些结果。延迟的解决与 M2 型驻留巨噬细胞的丢失有关,这些巨噬细胞通过 IL-4 和 IL-13 介导的磷酸化 STAT6 激活分泌 MMP-12。我们得出结论,IL-4Rα 信号以依赖于上下文的方式调节巨噬细胞功能的极化。因此,巨噬细胞极化的药理学靶向需要针对特定疾病阶段的治疗策略。

研究背景

通过 IL-4Rα 进行替代(M2 型)巨噬细胞激活可促进肝炎症和纤维化进展,但可加速纤维化逆转。这表明 M2 型巨噬细胞具有依赖于上下文的、相反的作用。在逆转过程中,IL-4Rα 通过 STAT6 诱导纤维溶解 MMP,特别是 MMP-12。肝特异性反义寡核苷酸可有效阻断 IL-4Rα 的表达并减轻纤维化进展。

https://cdn.ncbi.nlm.nih.gov/pmc/blobs/0567/5925448/f92ab5cdc83e/gr7.jpg
https://cdn.ncbi.nlm.nih.gov/pmc/blobs/0567/5925448/3d897c2afa02/gr1.jpg
https://cdn.ncbi.nlm.nih.gov/pmc/blobs/0567/5925448/92c25abbb9ce/gr2.jpg
https://cdn.ncbi.nlm.nih.gov/pmc/blobs/0567/5925448/4f9b9bdc5fc0/gr3.jpg
https://cdn.ncbi.nlm.nih.gov/pmc/blobs/0567/5925448/39a1f0c85669/gr4.jpg
https://cdn.ncbi.nlm.nih.gov/pmc/blobs/0567/5925448/bff460603122/gr5.jpg
https://cdn.ncbi.nlm.nih.gov/pmc/blobs/0567/5925448/95e3353eccdb/gr6.jpg
https://cdn.ncbi.nlm.nih.gov/pmc/blobs/0567/5925448/f92ab5cdc83e/gr7.jpg
https://cdn.ncbi.nlm.nih.gov/pmc/blobs/0567/5925448/3d897c2afa02/gr1.jpg
https://cdn.ncbi.nlm.nih.gov/pmc/blobs/0567/5925448/92c25abbb9ce/gr2.jpg
https://cdn.ncbi.nlm.nih.gov/pmc/blobs/0567/5925448/4f9b9bdc5fc0/gr3.jpg
https://cdn.ncbi.nlm.nih.gov/pmc/blobs/0567/5925448/39a1f0c85669/gr4.jpg
https://cdn.ncbi.nlm.nih.gov/pmc/blobs/0567/5925448/bff460603122/gr5.jpg
https://cdn.ncbi.nlm.nih.gov/pmc/blobs/0567/5925448/95e3353eccdb/gr6.jpg
https://cdn.ncbi.nlm.nih.gov/pmc/blobs/0567/5925448/f92ab5cdc83e/gr7.jpg

相似文献

1
IL-4 Receptor Alpha Signaling through Macrophages Differentially Regulates Liver Fibrosis Progression and Reversal.白细胞介素 4 受体α通过巨噬细胞信号转导差异调节肝纤维化的进展和逆转。
EBioMedicine. 2018 Mar;29:92-103. doi: 10.1016/j.ebiom.2018.01.028. Epub 2018 Feb 17.
2
C/EBP Homologous Protein (CHOP) Activates Macrophages and Promotes Liver Fibrosis in -Infected Mice.C/EBP 同源蛋白 (CHOP) 激活巨噬细胞并促进感染小鼠的肝纤维化。
J Immunol Res. 2019 Dec 1;2019:5148575. doi: 10.1155/2019/5148575. eCollection 2019.
3
Iron alters macrophage polarization status and leads to steatohepatitis and fibrogenesis.铁改变巨噬细胞极化状态,导致脂肪性肝炎和肝纤维化。
J Leukoc Biol. 2019 May;105(5):1015-1026. doi: 10.1002/JLB.3A0318-108R. Epub 2019 Mar 5.
4
Margatoxin mitigates CCl4‑induced hepatic fibrosis in mice via macrophage polarization, cytokine secretion and STAT signaling.玛格毒素通过巨噬细胞极化、细胞因子分泌和 STAT 信号转导减轻 CCl4 诱导的小鼠肝纤维化。
Int J Mol Med. 2020 Jan;45(1):103-114. doi: 10.3892/ijmm.2019.4395. Epub 2019 Nov 4.
5
The adenosine-dependent angiogenic switch of macrophages to an M2-like phenotype is independent of interleukin-4 receptor alpha (IL-4Rα) signaling.巨噬细胞中依赖于腺苷的血管生成开关向 M2 样表型的转换不依赖于白细胞介素 4 受体 α(IL-4Rα)信号。
Inflammation. 2013 Aug;36(4):921-31. doi: 10.1007/s10753-013-9621-3.
6
Mechanism of Corilagin interference with IL-13/STAT6 signaling pathways in hepatic alternative activation macrophages in schistosomiasis-induced liver fibrosis in mouse model.科里拉金对小鼠血吸虫病诱导的肝纤维化中肝替代性活化巨噬细胞中IL-13/STAT6信号通路的干扰机制
Eur J Pharmacol. 2016 Dec 15;793:119-126. doi: 10.1016/j.ejphar.2016.11.018. Epub 2016 Nov 12.
7
The IL-4 receptor α has a critical role in bone marrow-derived fibroblast activation and renal fibrosis.IL-4 受体 α 在骨髓源性成纤维细胞活化和肾脏纤维化中起关键作用。
Kidney Int. 2017 Dec;92(6):1433-1443. doi: 10.1016/j.kint.2017.04.021. Epub 2017 Jul 21.
8
Myeloid-specific disruption of tyrosine phosphatase Shp2 promotes alternative activation of macrophages and predisposes mice to pulmonary fibrosis.酪氨酸磷酸酶Shp2在髓系细胞中的特异性缺失促进巨噬细胞的替代性活化,并使小鼠易患肺纤维化。
J Immunol. 2014 Sep 15;193(6):2801-11. doi: 10.4049/jimmunol.1303463. Epub 2014 Aug 15.
9
Adoptive transfer of IL-4Rα+ macrophages is sufficient to enhance eosinophilic inflammation in a mouse model of allergic lung inflammation.过继转输 IL-4Rα+ 巨噬细胞足以增强变应性肺部炎症小鼠模型中的嗜酸性粒细胞炎症。
BMC Immunol. 2012 Jan 31;13:6. doi: 10.1186/1471-2172-13-6.
10
Gliptins Suppress Inflammatory Macrophage Activation to Mitigate Inflammation, Fibrosis, Oxidative Stress, and Vascular Dysfunction in Models of Nonalcoholic Steatohepatitis and Liver Fibrosis.类格列汀抑制炎症性巨噬细胞激活,减轻非酒精性脂肪性肝炎和肝纤维化模型中的炎症、纤维化、氧化应激和血管功能障碍。
Antioxid Redox Signal. 2018 Jan 10;28(2):87-109. doi: 10.1089/ars.2016.6953. Epub 2017 Jul 25.

引用本文的文献

1
The role of liver macrophages in viral liver pathogenesis.肝脏巨噬细胞在病毒性肝病发病机制中的作用。
J Leukoc Biol. 2025 Sep 1;117(9). doi: 10.1093/jleuko/qiaf088.
2
High protein intake causes gene-length-dependent transcriptional decline, shortens lifespan and accelerates ageing in progeroid DNA repair-deficient mice.高蛋白摄入会导致基因长度依赖性的转录下降,缩短早衰样DNA修复缺陷小鼠的寿命并加速其衰老。
NPJ Metab Health Dis. 2025 May 22;3:20. doi: 10.1038/s44324-025-00064-3. eCollection 2025.
3
Molecular dynamics of inflammation resolution: therapeutic implications.

本文引用的文献

1
Gliptins Suppress Inflammatory Macrophage Activation to Mitigate Inflammation, Fibrosis, Oxidative Stress, and Vascular Dysfunction in Models of Nonalcoholic Steatohepatitis and Liver Fibrosis.类格列汀抑制炎症性巨噬细胞激活,减轻非酒精性脂肪性肝炎和肝纤维化模型中的炎症、纤维化、氧化应激和血管功能障碍。
Antioxid Redox Signal. 2018 Jan 10;28(2):87-109. doi: 10.1089/ars.2016.6953. Epub 2017 Jul 25.
2
Local amplifiers of IL-4Rα-mediated macrophage activation promote repair in lung and liver.IL-4Rα介导的巨噬细胞活化的局部放大器促进肺和肝的修复。
Science. 2017 Jun 9;356(6342):1076-1080. doi: 10.1126/science.aaj2067. Epub 2017 May 11.
3
炎症消退的分子动力学:治疗意义。
Front Cell Dev Biol. 2025 May 8;13:1600149. doi: 10.3389/fcell.2025.1600149. eCollection 2025.
4
CD206IL-4Rα Macrophages Are Drivers of Adverse Cardiac Remodeling in Ischemic Cardiomyopathy.CD206IL-4Rα巨噬细胞是缺血性心肌病中不良心脏重塑的驱动因素。
Circulation. 2025 Jul 29;152(4):257-273. doi: 10.1161/CIRCULATIONAHA.124.072411. Epub 2025 May 1.
5
Signaling networks in cancer stromal senescent cells establish malignant microenvironment.癌症基质衰老细胞中的信号网络建立了恶性微环境。
Proc Natl Acad Sci U S A. 2025 Apr 8;122(14):e2412818122. doi: 10.1073/pnas.2412818122. Epub 2025 Apr 1.
6
The role of the interleukin family in liver fibrosis.白细胞介素家族在肝纤维化中的作用。
Front Immunol. 2025 Feb 10;16:1497095. doi: 10.3389/fimmu.2025.1497095. eCollection 2025.
7
Baseline gene expression in BALB/c and C57BL/6 peritoneal macrophages influences but does not dictate their functional phenotypes.BALB/c和C57BL/6腹膜巨噬细胞中的基线基因表达会影响但不会决定它们的功能表型。
Exp Biol Med (Maywood). 2025 Jan 3;249:10377. doi: 10.3389/ebm.2024.10377. eCollection 2024.
8
Interleukin in Immune-Mediated Diseases: An Updated Review.免疫介导疾病中的白细胞介素:最新综述
Mol Biotechnol. 2024 Dec 23. doi: 10.1007/s12033-024-01347-8.
9
Live-cell imaging of human liver fibrosis using hepatic micro-organoids.使用肝脏类器官对人类肝纤维化进行活细胞成像。
JCI Insight. 2024 Dec 10;10(2):e187099. doi: 10.1172/jci.insight.187099.
10
Macrophages in organ fibrosis: from pathogenesis to therapeutic targets.器官纤维化中的巨噬细胞:从发病机制到治疗靶点
Cell Death Discov. 2024 Dec 4;10(1):487. doi: 10.1038/s41420-024-02247-1.
Vitamin A mediates conversion of monocyte-derived macrophages into tissue-resident macrophages during alternative activation.
在替代性激活过程中,维生素A介导单核细胞来源的巨噬细胞转化为组织驻留巨噬细胞。
Nat Immunol. 2017 Jun;18(6):642-653. doi: 10.1038/ni.3734. Epub 2017 Apr 24.
4
Antifibrotic therapies in the liver.肝脏中的抗纤维化疗法。
Semin Liver Dis. 2015 May;35(2):184-98. doi: 10.1055/s-0035-1550055. Epub 2015 May 14.
5
Macrophages are critical to the maintenance of IL-13-dependent lung inflammation and fibrosis.巨噬细胞对于维持白细胞介素-13依赖性肺部炎症和纤维化至关重要。
Mucosal Immunol. 2016 Jan;9(1):38-55. doi: 10.1038/mi.2015.34. Epub 2015 Apr 29.
6
Hepatic fibrosis: Concept to treatment.肝纤维化:从概念到治疗。
J Hepatol. 2015 Apr;62(1 Suppl):S15-24. doi: 10.1016/j.jhep.2015.02.039.
7
Incomplete deletion of IL-4Rα by LysM(Cre) reveals distinct subsets of M2 macrophages controlling inflammation and fibrosis in chronic schistosomiasis.LysM(Cre)介导的IL-4Rα不完全缺失揭示了慢性血吸虫病中控制炎症和纤维化的M2巨噬细胞的不同亚群。
PLoS Pathog. 2014 Sep 11;10(9):e1004372. doi: 10.1371/journal.ppat.1004372. eCollection 2014 Sep.
8
Macrophage activation and polarization: nomenclature and experimental guidelines.巨噬细胞激活与极化:命名及实验指南
Immunity. 2014 Jul 17;41(1):14-20. doi: 10.1016/j.immuni.2014.06.008.
9
Endogenously expressed IL-13Rα2 attenuates IL-13-mediated responses but does not activate signaling in human lung fibroblasts.内源性表达的 IL-13Rα2 可减弱 IL-13 介导的反应,但不能激活人肺成纤维细胞的信号转导。
J Immunol. 2014 Jul 1;193(1):111-9. doi: 10.4049/jimmunol.1301761. Epub 2014 May 30.
10
Macrophage heterogeneity in liver injury and fibrosis.肝损伤和肝纤维化中的巨噬细胞异质性。
J Hepatol. 2014 May;60(5):1090-6. doi: 10.1016/j.jhep.2013.12.025. Epub 2014 Jan 8.