Department of Neurology, Medical University of Innsbruck, Innsbruck, Austria.
Neuroimaging Research Core Facility, Medical University of Innsbruck, Innsbruck, Austria.
PLoS One. 2018 Feb 28;13(2):e0193529. doi: 10.1371/journal.pone.0193529. eCollection 2018.
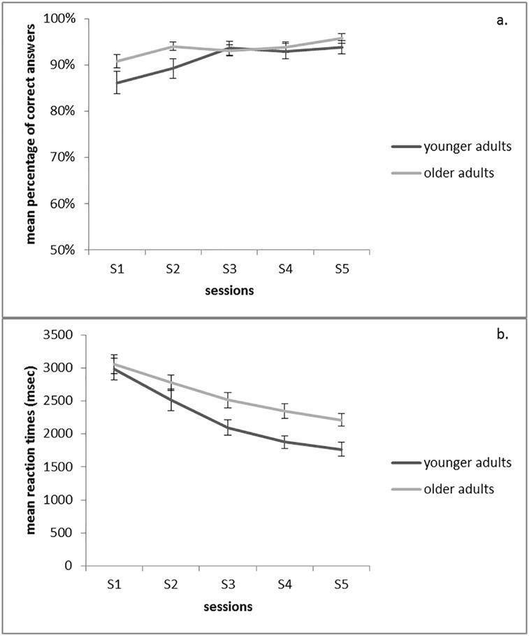
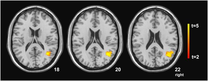
Acquisition of numerical knowledge and understanding of numerical information are crucial for coping with the changing demands of our digital society. In this study, we assessed arithmetic learning in older and younger individuals in a training experiment including brain imaging. In particular, we assessed age-related effects of training intensity, prior arithmetic competence, and neuropsychological variables on the acquisition of new arithmetic knowledge and on the transfer to new, unknown problems. Effects were assessed immediately after training and after 3 months. Behavioural results showed higher training effects for younger individuals than for older individuals and significantly better performance after 90 problem repetitions than after 30 repetitions in both age groups. A correlation analysis indicated that older adults with lower memory and executive functions at baseline could profit more from intensive training. Similarly, training effects in the younger group were higher for those individuals who had lower arithmetic competence and executive functions prior to intervention. In younger adults, successful transfer was associated with higher executive functions. Memory and set-shifting emerged as significant predictors of training effects in the older group. For the younger group, prior arithmetic competence was a significant predictor of training effects, while cognitive flexibility was a predictor of transfer effects. After training, a subgroup of participants underwent an MRI assessment. A voxel-based morphometry analysis showed a significant interaction between training effects and grey matter volume of the right middle temporal gyrus extending to the angular gyrus for the younger group relative to the older group. The reverse contrast (older group vs. younger group) did not yield any significant results. These results suggest that improvements in arithmetic competence are supported by temporo-parietal areas in the right hemisphere in younger participants, while learning in older people might be more widespread. Overall, our study indicates that arithmetic learning depends on the training intensity as well as on person-related factors including individual age, arithmetic competence before training, memory, and executive functions. In conclusion, we suggest that major progress can be also achieved by older participants, but that interventions have to take into account individual variables in order to provide maximal benefit.
获取数值知识和理解数值信息对于应对我们数字社会不断变化的需求至关重要。在这项研究中,我们在一项包括脑成像的训练实验中评估了老年人和年轻人的算术学习能力。特别是,我们评估了训练强度、先前的算术能力和神经心理学变量对新算术知识的获取以及对新的未知问题的迁移的年龄相关影响。效果在训练后立即和 3 个月后进行评估。行为结果表明,年轻人的训练效果高于老年人,在两组中,90 次重复问题的表现明显优于 30 次重复问题。相关性分析表明,基线时记忆力和执行功能较低的老年人可以从强化训练中获益更多。同样,干预前算术能力和执行功能较低的年轻组的训练效果也更高。在年轻成年人中,成功的转移与较高的执行功能相关。记忆和定势转移是老年组训练效果的重要预测指标。对于年轻组,先前的算术能力是训练效果的重要预测指标,而认知灵活性是转移效果的预测指标。在训练后,一小部分参与者接受了 MRI 评估。基于体素的形态计量学分析显示,相对于老年组,年轻组的右侧颞中回和角回的灰质体积与训练效果之间存在显著的交互作用。相反的对比(老年组与年轻组)没有产生任何显著结果。这些结果表明,在年轻参与者中,右半球颞顶区域支持算术能力的提高,而老年人的学习可能更为广泛。总的来说,我们的研究表明,算术学习取决于训练强度以及与个体相关的因素,包括个体年龄、训练前的算术能力、记忆力和执行功能。总之,我们建议老年人也可以取得重大进展,但干预措施必须考虑到个体变量,以提供最大的收益。