Suppr超能文献

放疗后类中风性偏头痛发作(SMART)综合征继以脑梗死

Stroke-like Migraine Attacks after Radiation Therapy (SMART) Syndrome Followed by Cerebral Infarction.

作者信息

Takahashi Hisashi, Kimura Tadashi, Yuki Natsuko, Yoshioka Akira

机构信息

Department of Neurology, National Hospital Organization Maizuru Medical Center, Japan.

Department of Clinical Research, National Hospital Organization Maizuru Medical Center, Japan.

出版信息

Intern Med. 2018 Jul 1;57(13):1921-1924. doi: 10.2169/internalmedicine.9579-17. Epub 2018 Feb 28.

Abstract

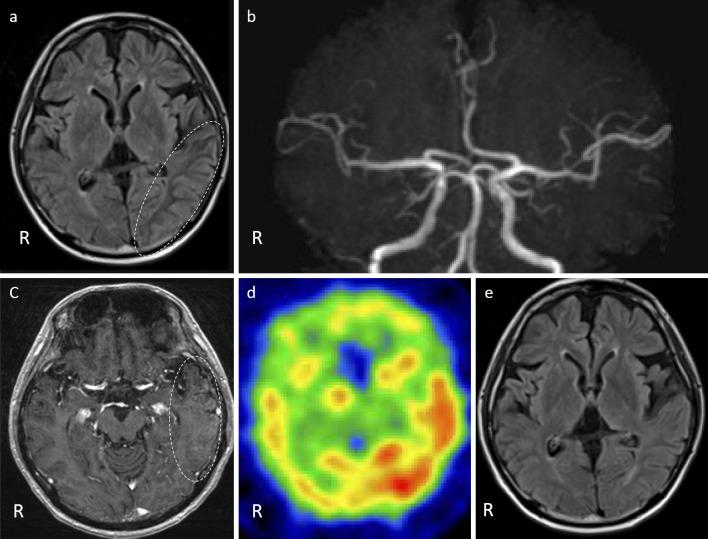
A 36-year-old man with a history of irradiation for acute lymphoblastic leukemia developed headache with cortical dysfunction lasting for 4 weeks. The clinical features were consistent with stroke-like migraine attacks after radiation therapy (SMART) syndrome. Six months later, he developed cerebral infarction due to occlusions of the left anterior and middle cerebral arteries. This is the first case report describing SMART syndrome followed by severe cerebral infarction. Although an association between the two episodes was not assumed, this case indicates that protective therapies against infarction might need to be considered for patients with SMART syndrome.

摘要

一名36岁男性,有急性淋巴细胞白血病放疗史,出现头痛伴皮质功能障碍,持续4周。临床特征符合放疗后类卒中偏头痛发作(SMART)综合征。6个月后,他因左侧大脑前动脉和大脑中动脉闭塞发生脑梗死。这是首例描述SMART综合征后发生严重脑梗死的病例报告。尽管未假定这两个事件之间存在关联,但该病例表明,对于SMART综合征患者可能需要考虑采取预防梗死的治疗措施。

https://cdn.ncbi.nlm.nih.gov/pmc/blobs/b592/6064695/fbf109def4fc/1349-7235-57-1921-g001.jpg

文献AI研究员

20分钟写一篇综述,助力文献阅读效率提升50倍。

立即体验

用中文搜PubMed

大模型驱动的PubMed中文搜索引擎

马上搜索

文档翻译

学术文献翻译模型,支持多种主流文档格式。

立即体验