Suppr超能文献

心脏内脓肿和起搏器导线感染继发于先前糖尿病足溃疡和骨髓炎的耐甲氧西林金黄色葡萄球菌血行播散。

Intracardiac Abscess and Pacemaker Lead Infection Secondary to Hematogenous Dissemination of Methicillin-Sensitive Staphylococcus Aureus from a Prior Diabetic Foot Ulcer and Osteomyelitis.

作者信息

Pfirman Kristopher S, Haile Robel

机构信息

Department of Medical Education, Camden Clark Medical Center, Parkersburg, WV, USA.

Department of Critical Care and Pulmonology, Camden Clark Medical Center, Parkersburg, WV, USA.

出版信息

Am J Case Rep. 2018 Mar 1;19:224-228. doi: 10.12659/ajcr.906227.

Abstract

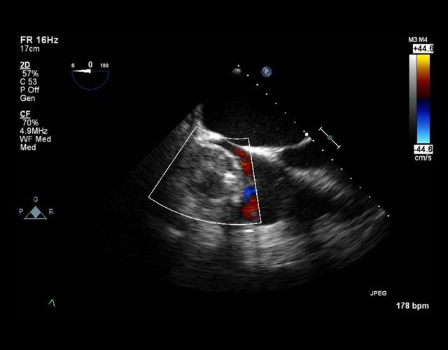
BACKGROUND Intracardiac abscesses are an unusual occurrence in developed countries. With the increase in use of implantable cardiac devices, the increase use of and advancements in antibiotics, and the longevity of patients with cardiac devices, one may expect an increase in such infections; however, case reports are rare. We are presenting a case in which hematogenous dissemination of methicillin-sensitive Staphylococcus aureus (MSSA) infection from a lower extremity diabetic ulcer propagated into an infected pacemaker lead and ultimately an intracardiac abscess of the right atrium. CASE REPORT A 77-year-old male with a history of MSSA diabetic foot infection complicated by osteomyelitis presented with fever, syncope, and wide complex tachycardia, and he was found to have an intracardiac abscess and fibrinous lead vegetations. The patient was deemed too ill for invasive surgical intervention given his comorbidities, pacemaker generator replacement requirement, and intermittent ventricular tachycardia. The patient was subsequently sent home with oral antibiotics and home hospice per patient and family wishes. CONCLUSIONS This case demonstrated how hematogenous dissemination of MSSA infections from a diabetic foot ulcer and osteomyelitis can seed pacemaker hardware resulting in an intracardiac abscess. Unfortunately, our patient was too ill to undergo all procedures required to eradicate the abscess and infected pacemaker hardware. The standard of care would be complete hardware removal. Conservative management would include indefinite or prolonged antibiotic therapy, with the notion that intracardiac abscesses cannot be cured with antibiotics alone. This conservative management approach would be deemed necessary in a select population that cannot undergo surgical intervention.

摘要

背景

心内脓肿在发达国家并不常见。随着植入式心脏装置使用的增加、抗生素使用的增多及技术进步,以及使用心脏装置患者寿命的延长,人们可能预期此类感染会增加;然而,病例报告却很罕见。我们报告一例由下肢糖尿病溃疡引起的甲氧西林敏感金黄色葡萄球菌(MSSA)感染经血行播散至感染的起搏器导线,最终导致右心房心内脓肿的病例。

病例报告

一名77岁男性,有MSSA糖尿病足感染合并骨髓炎病史,出现发热、晕厥和宽QRS波心动过速,被发现有心内脓肿和纤维蛋白性导线赘生物。鉴于其合并症、需要更换起搏器发生器以及间歇性室性心动过速,该患者被认为病情过重,无法进行侵入性手术干预。随后,根据患者及其家属的意愿,患者口服抗生素并接受家庭临终关怀后出院。

结论

本病例表明,糖尿病足溃疡和骨髓炎引起的MSSA感染经血行播散可累及起搏器硬件,导致心内脓肿。不幸的是,我们的患者病情过重,无法接受根除脓肿和感染起搏器硬件所需的所有手术。标准治疗方法是完全移除硬件。保守治疗包括无限期或长期抗生素治疗,因为仅用抗生素无法治愈心内脓肿。在无法进行手术干预的特定人群中,这种保守治疗方法被认为是必要的。

https://cdn.ncbi.nlm.nih.gov/pmc/blobs/2ea3/5842747/e56be6793ed7/amjcaserep-19-224-g001.jpg

文献AI研究员

20分钟写一篇综述,助力文献阅读效率提升50倍。

立即体验

用中文搜PubMed

大模型驱动的PubMed中文搜索引擎

马上搜索

文档翻译

学术文献翻译模型,支持多种主流文档格式。

立即体验