Suppr超能文献

模拟微重力通过 FAK/RhoA 调节的 mTORC1 和 AMPK 通路抑制细胞焦点黏附,从而减少黑色素瘤细胞的增殖和转移。

Simulated microgravity inhibits cell focal adhesions leading to reduced melanoma cell proliferation and metastasis via FAK/RhoA-regulated mTORC1 and AMPK pathways.

机构信息

Aerospace Institute of Medical Engineering and Biotechnology, School of Life Sciences, Beijing Institute of Technology, Beijing, 10081, China.

Cancer Research, Saskatchewan Cancer Agency, Saskatoon, Saskatchewan, S7N 4H4, Canada.

出版信息

Sci Rep. 2018 Feb 28;8(1):3769. doi: 10.1038/s41598-018-20459-1.

Abstract

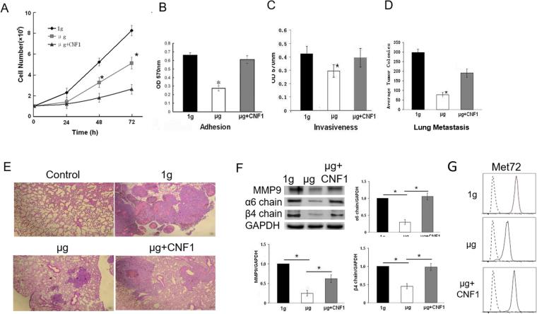
Simulated microgravity (SMG) was reported to affect tumor cell proliferation and metastasis. However, the underlying mechanism is elusive. In this study, we demonstrate that clinostat-modelled SMG reduces BL6-10 melanoma cell proliferation, adhesion and invasiveness in vitro and decreases tumor lung metastasis in vivo. It down-regulates metastasis-related integrin α6β4, MMP9 and Met72 molecules. SMG significantly reduces formation of focal adhesions and activation of focal adhesion kinase (FAK) and Rho family proteins (RhoA, Rac1 and Cdc42) and of mTORC1 kinase, but activates AMPK and ULK1 kinases. We demonstrate that SMG inhibits NADH induction and glycolysis, but induces mitochondrial biogenesis. Interestingly, administration of a RhoA activator, the cytotoxic necrotizing factor-1 (CNF1) effectively converts SMG-triggered alterations and effects on mitochondria biogenesis or glycolysis. CNF1 also converts the SMG-altered cell proliferation and tumor metastasis. In contrast, mTORC inhibitor, rapamycin, produces opposite responses and mimics SMG-induced effects in cells at normal gravity. Taken together, our observations indicate that SMG inhibits focal adhesions, leading to inhibition of signaling FAK and RhoA, and the mTORC1 pathway, which results in activation of the AMPK pathway and reduced melanoma cell proliferation and metastasis. Overall, our findings shed a new light on effects of microgravity on cell biology and human health.

摘要

模拟微重力(SMG)据报道会影响肿瘤细胞的增殖和转移。然而,其潜在机制尚不清楚。在这项研究中,我们证明了回旋器模拟的 SMG 减少了 BL6-10 黑色素瘤细胞的体外增殖、黏附和侵袭能力,并降低了体内肿瘤肺转移。它下调了与转移相关的整合素α6β4、MMP9 和 Met72 分子。SMG 还显著减少了焦点黏附的形成以及焦点黏附激酶(FAK)和 Rho 家族蛋白(RhoA、Rac1 和 Cdc42)和 mTORC1 激酶的活性,同时激活了 AMPK 和 ULK1 激酶。我们证明 SMG 抑制了 NADH 的诱导和糖酵解,但诱导了线粒体生物发生。有趣的是,施用 RhoA 激活剂,细胞毒性坏死因子-1(CNF1),可有效转换 SMG 触发的改变以及对线粒体生物发生或糖酵解的影响。CNF1 还转换了 SMG 改变的细胞增殖和肿瘤转移。相比之下,mTORC 抑制剂雷帕霉素在常重力下产生相反的反应,并模拟了 SMG 诱导的细胞效应。总之,我们的观察结果表明,SMG 抑制了焦点黏附,从而抑制了信号 FAK 和 RhoA 以及 mTORC1 途径,导致 AMPK 途径的激活和黑色素瘤细胞增殖和转移的减少。总的来说,我们的发现为微重力对细胞生物学和人类健康的影响提供了新的认识。

https://cdn.ncbi.nlm.nih.gov/pmc/blobs/cc11/5830577/733c0bff648e/41598_2018_20459_Fig1_HTML.jpg

文献AI研究员

20分钟写一篇综述,助力文献阅读效率提升50倍。

立即体验

用中文搜PubMed

大模型驱动的PubMed中文搜索引擎

马上搜索

文档翻译

学术文献翻译模型,支持多种主流文档格式。

立即体验