Derakhshan Samira, Rahrotaban Sedighe, Mahdavi Nazanin, Mirjalili Faeze
Department of Oral and Maxillofacial Pathology, School of Dentistry, Tehran, Iran.
Department of Oral and Maxillofacial Radiology, School of Dentistry, Tehran, Iran.
J Oral Maxillofac Pathol. 2018 Jan;22(Suppl 1):S39-S43. doi: 10.4103/jomfp.JOMFP_186_17.
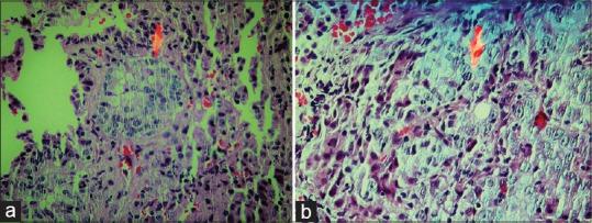
Oral cavity is not a usual site for metastasis, accounting about 1% of all oral tumors. The majority site for metastasis is the mandible and less common the maxilla followed by intraoral soft tissue. These tumors may be the first clinical manifestation of the primary lesion. One of the most important sites of the primary neoplasm that metastasizes to the jaws is kidney. Therefore, considering to this fact that the metastatic tumors always are not seen in a typical site, it is necessary to rule out the metastatic carcinomas to jaws. We presented two cases of metastatic renal cell carcinoma to maxilla with two different clinical features, one of them with an intraosseous lytic lesion and the other one with a large exophytic mass.
口腔并非转移瘤的常见部位,约占所有口腔肿瘤的1%。转移瘤最常见于下颌骨,上颌骨较少见,其次是口腔软组织。这些肿瘤可能是原发灶的首发临床表现。转移至颌骨的原发肿瘤最重要的部位之一是肾脏。因此,鉴于转移瘤并不总是出现在典型部位,有必要排除颌骨转移性癌。我们报告了两例上颌骨转移性肾细胞癌病例,具有两种不同的临床特征,其中一例为骨内溶骨性病变,另一例为巨大外生性肿块。