Suppr超能文献

Trigeminal neuralgia induced by odontogenic keratocyst associated with impacted supernumerary teeth: A rare case report.

作者信息

Gopalkrishna Annaji Araleri, Tejasree B N, Manjunath M, Ashwin D P

机构信息

Department of Oral Medicine and Radiology, V.S. Dental College, Bangalore, Karnataka, India.

Department of Oral Medicine and Radiology, Mallige Medical Center, Bangalore, Karnataka, India.

出版信息

J Oral Maxillofac Pathol. 2018 Jan;22(Suppl 1):S135-S140. doi: 10.4103/jomfp.JOMFP_280_17.

Abstract

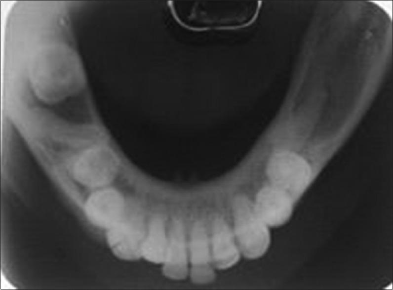
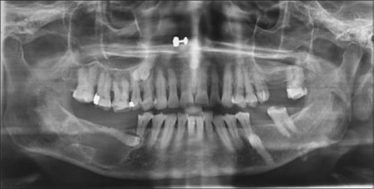
Odontogenic keratocyst(OKC)is a cyst oftooth origin with an aggressive behavior including a high recurrence rate, it has been rechristened to keratocystic odontogenic tumor(KCOT) as it be the reflects its neoplastic nature. We report a case of KCOT in association with an impacted supernumerary tooth along with Trigeminal Neuralgia, that subsided by itself after removal of the cyst.

摘要
https://cdn.ncbi.nlm.nih.gov/pmc/blobs/c59d/5824508/23408be321c0/JOMFP-22-135-g001.jpg

文献AI研究员

20分钟写一篇综述,助力文献阅读效率提升50倍。

立即体验

用中文搜PubMed

大模型驱动的PubMed中文搜索引擎

马上搜索

文档翻译

学术文献翻译模型,支持多种主流文档格式。

立即体验