Suppr超能文献

N-甲基野靛碱通过抑制炎症反应改善葡聚糖硫酸钠诱导的小鼠结肠炎。

N-Methylcytisine Ameliorates Dextran-Sulfate-Sodium-Induced Colitis in Mice by Inhibiting the Inflammatory Response.

机构信息

Department of Pharmacology, Ningxia Medical University, Yinchuan 750004, China.

Key Laboratory of Hui Ethnic Medicine Modernization, Ministry of Education, Ningxia Medical University, Yinchuan 750004, China.

出版信息

Molecules. 2018 Feb 25;23(3):510. doi: 10.3390/molecules23030510.

Abstract

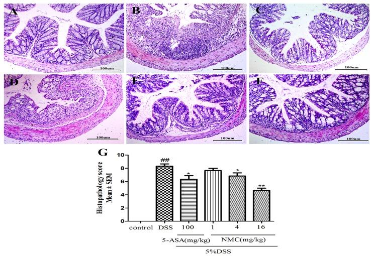
This study aimed to investigate the anti-inflammatory effects of -methylcytisine (NMC) in a dextran sulfate sodium (DSS)-induced colitis model and explore its possible mechanisms. Experimental colitis was induced by administering the mice with 5% DSS for 7 days. Different doses of NMC (1, 4 and 16 mg/kg) and 5-aminosalicylic acid (100 mg/kg) were given orally once every day for 7 days. The protective effect of NMC was evaluated using the disease activity index, colon length and results of histopathological examination. The possible mechanisms of NMC were explored by evaluating the expression levels of tumour necrosis factor-α, interleukin-1β and interleukin-6 (IL-6) using ELISA and analysing the protein expression levels of nuclear factor (NF)-κB p65, p-NF-κB p65, p-IκB, IκB, IκB kinase (IKK) and p-IKK using western blots. Results demonstrated that the oral administration of NMC attenuated the DSS-induced clinical symptoms and pathological damage. In addition, NMC treatment significantly reduced myeloperoxidase activity and level of pro-inflammatory cytokines. Further studies revealed that NMC blocked the activation of NF-κB by inhibiting IκB and IKK phosphorylation. These findings suggested that NMC exerts anti-inflammatory effects on DSS-induced colitis, and its mechanism may be related to the suppression of NF-κB activation. Thus, NMC may have potential therapeutic value in the treatment of colitis.

摘要

本研究旨在探讨β-甲基可替宁(NMC)在葡聚糖硫酸钠(DSS)诱导的结肠炎模型中的抗炎作用,并探讨其可能的机制。通过给小鼠施用 5% DSS 7 天来诱导实验性结肠炎。不同剂量的 NMC(1、4 和 16mg/kg)和 5-氨基水杨酸(100mg/kg)每天口服一次,共 7 天。使用疾病活动指数、结肠长度和组织病理学检查结果评估 NMC 的保护作用。通过 ELISA 评估肿瘤坏死因子-α、白细胞介素-1β和白细胞介素-6(IL-6)的表达水平,并通过 Western blot 分析核因子(NF)-κB p65、磷酸化 NF-κB p65、磷酸化 IκB、IκB、IKK 和磷酸化 IKK 的蛋白表达水平来探讨 NMC 的可能机制。结果表明,NMC 的口服给药减轻了 DSS 诱导的临床症状和病理损伤。此外,NMC 治疗显著降低了髓过氧化物酶活性和促炎细胞因子水平。进一步的研究表明,NMC 通过抑制 IκB 和 IKK 磷酸化来阻断 NF-κB 的激活。这些发现表明,NMC 对 DSS 诱导的结肠炎具有抗炎作用,其机制可能与抑制 NF-κB 激活有关。因此,NMC 可能在结肠炎的治疗中具有潜在的治疗价值。

https://cdn.ncbi.nlm.nih.gov/pmc/blobs/abb2/6017650/1e11c5ffbc48/molecules-23-00510-g001.jpg

文献AI研究员

20分钟写一篇综述,助力文献阅读效率提升50倍。

立即体验

用中文搜PubMed

大模型驱动的PubMed中文搜索引擎

马上搜索

文档翻译

学术文献翻译模型,支持多种主流文档格式。

立即体验