Sonobe Shota, Inoue Satoki, Atagi Kazuaki, Kawaguchi Masahiko
Division of Intensive Care, Nara Medical University, 840, Shijo-cho Kashihara, Nara, 634-8522 Japan.
JA Clin Rep. 2015;1(1):20. doi: 10.1186/s40981-015-0024-3. Epub 2015 Nov 5.
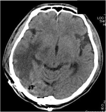
We report a patient who developed sustained hypotension during craniotomy; further, owing to a mediastinal mass, critical tracheal stenosis and brain edema were observed after craniotomy, despite the absence of preoperative symptomatic superior vena cava (SVC) syndrome. A 62-year-old man underwent removal of a suspected metastatic brain tumor. The main brain tumor was speculated to be a metastatic tumor from lung cancer. A subsequent chest CT revealed a large solid tumor in the mediastinum. The maximum reduction in the cross-sectional area of the trachea was estimated to be 50 %. In addition, bilateral innominate veins were completely obstructed, and the superior vena cava was involved in the mass and was completely compressed. The patient did not show any cardiopulmonary symptoms or upper body edema. Intravenous lines were secured at the right extremity. General anesthesia was induced without any complications and was maintained with sevoflurane, remifentanil, and rocuronium. During the surgery, hemodynamic status fluctuated and was unstable. To maintain systolic blood pressure, continuous, massive infusion of noradrenaline was required. After the surgery, the patient was turned to the supine position. Massive facial edema was apparent. In addition, the bilateral upper extremities were significantly swollen. Despite the removal of the main lesion, brain edema was still observed on head CT. Chest CT revealed that the maximum reduction in the cross-sectional area of the trachea was estimated to be >90 %, which necessitated mechanical ventilation with tracheal intubation. On the day following craniotomy, tracheal stenting was performed uneventfully. The patient's trachea was finally extubated, and his respiratory condition did not deteriorate. Although he did not develop SVC syndrome, the patient died from asphyxiation after coughing up blood at home 5 months after the procedure. It was suggested that fluid infusion from the upper extremities owing to the mediastinal tumor caused critical SVC syndrome.