Suppr超能文献

7T 磁共振血管成像评估 2 型糖尿病患者纹状体动脉变化。

Evaluation of Lenticulostriate Arteries Changes by 7 T Magnetic Resonance Angiography in Type 2 Diabetes.

机构信息

Division of Diabetes and Metabolism, Department of Internal Medicine, Iwate Medical University.

Division of Ultra-high Field MRI, Institute for Biomedical Sciences, Iwate Medical University.

出版信息

J Atheroscler Thromb. 2018 Oct 1;25(10):1067-1075. doi: 10.5551/jat.43869. Epub 2018 Mar 5.

Abstract

AIM

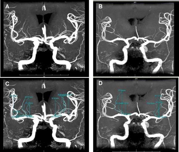
Progress in neuroimaging techniques allows us to investigate the microvasculature characteristics including lenticulostriate arteries (LSA), which are closely associated with lacunar infarction. Because ischemic stroke is a more critical health problem in East Asian than in other populations, in order to clarify pathological changes underlying cerebral small vessel disease (SVD), we projected an imaging analysis of LSA using high-resolution brain magnetic resonance imaging (MRI) in middle-aged Japanese subjects with type 2 diabetes.

METHODS

Twenty-five subjects with type 2 diabetes and 25 non-diabetic control subjects underwent 7 Tesla (7 T) brain MRI. The prevalences of SVD and LSA structural changes were determined in each group.

RESULTS

SVD prevalence did not differ significantly between the type 2 diabetes and control groups. The average numbers of stems, as well as numbers of branches, of LSA were significantly smaller in diabetic subjects than non-diabetic control subjects. The signal intensity of LSA was markedly decreased, indicating reduced blood flow in type 2 diabetes.

CONCLUSION

In spite of the prevalence of SVD being similar, structural changes and decreased signal intensity of LSA were highly detected in diabetic subjects compared with non-diabetic controls, suggesting that 7 T MRA enables us to determine LSA impairment prior to the development of SVD. Early detection of LSA impairment allows us earlier interventions aimed at the prevention of atherosclerotic events.

摘要

目的

神经影像学技术的进步使我们能够研究微脉管系统特征,包括与腔隙性梗死密切相关的纹状体动脉(LSA)。由于缺血性脑卒中在东亚人群中的健康问题比其他人群更为严重,因此为了阐明脑小血管疾病(SVD)的病理变化,我们在 25 例 2 型糖尿病的中年日本受试者中使用高分辨率脑磁共振成像(MRI)对 LSA 进行成像分析。

方法

25 例 2 型糖尿病患者和 25 例非糖尿病对照组受试者接受了 7 特斯拉(7T)脑 MRI 检查。确定了每组 SVD 和 LSA 结构变化的患病率。

结果

2 型糖尿病组和对照组的 SVD 患病率无显著差异。LSA 的干数和分支数在糖尿病患者中明显少于非糖尿病对照组。LSA 的信号强度明显降低,表明 2 型糖尿病患者的血流量减少。

结论

尽管 SVD 的患病率相似,但与非糖尿病对照组相比,糖尿病患者的 LSA 结构变化和信号强度降低更为显著,提示 7T MRA 能够在 SVD 发生之前确定 LSA 损伤。早期发现 LSA 损伤可以更早地进行干预,以预防动脉粥样硬化事件。

https://cdn.ncbi.nlm.nih.gov/pmc/blobs/3f4d/6193188/21bec68aeab5/jat-25-1067-g001.jpg

文献AI研究员

20分钟写一篇综述,助力文献阅读效率提升50倍。

立即体验

用中文搜PubMed

大模型驱动的PubMed中文搜索引擎

马上搜索

文档翻译

学术文献翻译模型,支持多种主流文档格式。

立即体验