Suppr超能文献

[Soft tissue melanoma: a clinical case].

作者信息

Frikh Rachid, Oumakhir Siham, Chahdi Hafsa, Oukabli Mohammed, Albouzidi Abderrahmane, Baba Noureddine, Hjira Naoufal, Boui Mohammed

机构信息

Service de Dermatologie, Hôpital Militaire d'Instruction Mohammed V, Rabat, Maroc.

Service d'Anatomie Pathologique, Hôpital Militaire d'Instruction Mohammed V, Rabat, Maroc.

出版信息

Pan Afr Med J. 2017 Oct 4;28:107. doi: 10.11604/pamj.2017.28.107.10316. eCollection 2017.

Abstract

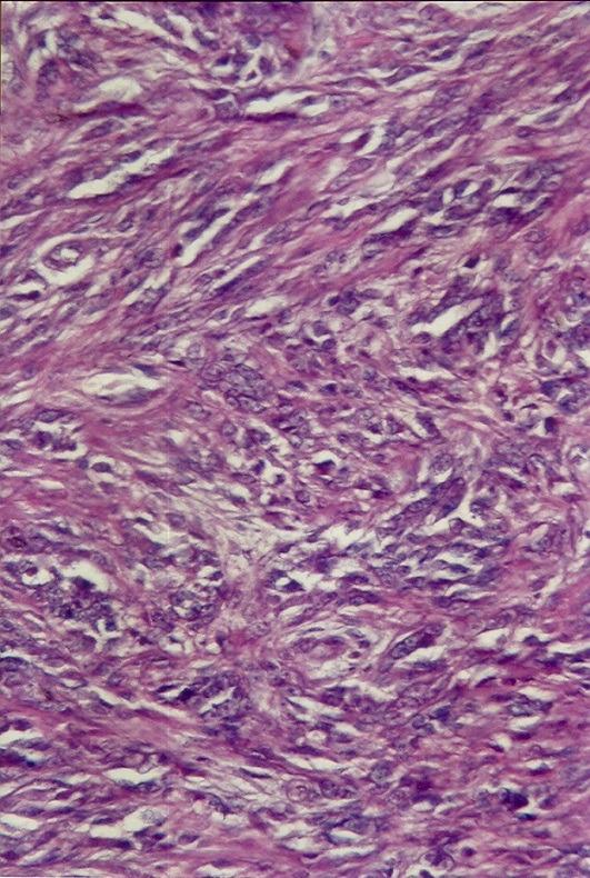
Soft tissue melanoma was first described by Enzinger in 1965 under the name of clear cell sarcoma. In 1983, Chung and Enzinger renamed it soft tissue melanoma due to its immunohistochemical similarities with melanoma. We here report the case of a 22-year old young man with this rare type of melanoma, presenting with molluscoid lesion on his ankle without any clinical sign of malignancy. Histology examination confirmed the diagnosis of soft tissue melanoma.

摘要
https://cdn.ncbi.nlm.nih.gov/pmc/blobs/ed1c/5837147/18bf89488ec3/PAMJ-28-107-g001.jpg

文献AI研究员

20分钟写一篇综述,助力文献阅读效率提升50倍。

立即体验

用中文搜PubMed

大模型驱动的PubMed中文搜索引擎

马上搜索

文档翻译

学术文献翻译模型,支持多种主流文档格式。

立即体验