Suppr超能文献

肩胛骨透明细胞肉瘤。一例病例报告及文献复习。

Clear cell sarcoma of the scapula. A case report and review of the literature.

作者信息

Kazakos Constantinos J, Galanis Vasilios G, Giatromanolaki Alexandra, Verettas Dennis-Alexander J, Sivridis Efthimios

机构信息

Department of Orthopedics, University Hospital of Alexandroupolis, Democritus University of Thrace, Alexandroupolis, Greece.

出版信息

World J Surg Oncol. 2006 Aug 7;4:48. doi: 10.1186/1477-7819-4-48.

Abstract

BACKGROUND

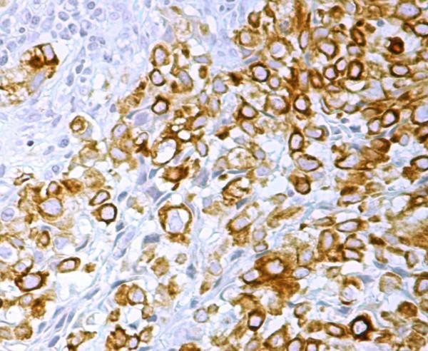
Clear cell sarcoma of tendons and aponeuroses (CCSTA) appears usually in the extremities and rarely in the trunk.

CASE PRESENTATION

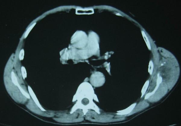
We present an unusual case of CCSTA overlying the scapular region and with secondary osseous extension in the lower scapula. The patient underwent a wide local excision with removal of the tumor and the lower two thirds of the scapula. He had no local recurrences but he developed lung metastases after 5 months in spite of postoperative chemotherapy. He finally died ten months later.

CONCLUSION

The patients with CCSTA have a variable unpredictable course. Despite treatment the overall prognosis is poor.

摘要

背景

腱膜透明细胞肉瘤(CCSTA)通常出现在四肢,很少出现在躯干。

病例报告

我们报告一例罕见的CCSTA病例,肿瘤位于肩胛区域并继发于肩胛骨下部骨质浸润。患者接受了广泛的局部切除,切除了肿瘤及肩胛骨下三分之二。患者无局部复发,但尽管术后进行了化疗,5个月后仍出现肺转移。10个月后患者最终死亡。

结论

CCSTA患者的病程多变且难以预测。尽管进行了治疗,但总体预后较差。

https://cdn.ncbi.nlm.nih.gov/pmc/blobs/abf9/1555585/b48c51779fa9/1477-7819-4-48-1.jpg

文献检索

告别复杂PubMed语法,用中文像聊天一样搜索,搜遍4000万医学文献。AI智能推荐,让科研检索更轻松。

立即免费搜索

文件翻译

保留排版,准确专业,支持PDF/Word/PPT等文件格式,支持 12+语言互译。

免费翻译文档

深度研究

AI帮你快速写综述,25分钟生成高质量综述,智能提取关键信息,辅助科研写作。

立即免费体验