• 文献检索
  • 文档翻译
  • 深度研究
  • 学术资讯
  • Suppr Zotero 插件Zotero 插件
  • 邀请有礼
  • 套餐&价格
  • 历史记录
应用&插件
Suppr Zotero 插件Zotero 插件浏览器插件Mac 客户端Windows 客户端微信小程序
定价
高级版会员购买积分包购买API积分包
服务
文献检索文档翻译深度研究API 文档MCP 服务
关于我们
关于 Suppr公司介绍联系我们用户协议隐私条款
关注我们

Suppr 超能文献

核心技术专利:CN118964589B侵权必究
粤ICP备2023148730 号-1Suppr @ 2026

文献检索

告别复杂PubMed语法,用中文像聊天一样搜索,搜遍4000万医学文献。AI智能推荐,让科研检索更轻松。

立即免费搜索

文件翻译

保留排版,准确专业,支持PDF/Word/PPT等文件格式,支持 12+语言互译。

免费翻译文档

深度研究

AI帮你快速写综述,25分钟生成高质量综述,智能提取关键信息,辅助科研写作。

立即免费体验

舌骨导致的颈内动脉创伤性损伤:缺血性中风的罕见病因。

Traumatic injury to the internal carotid artery by the hyoid bone: a rare cause of ischemic stroke.

作者信息

de Campos Fernando Peixoto Ferraz, Kanegae Marcia Yoshie, Aiello Vera Demarchi, Dos Santos Pedro José, Gratão Tatiane Carneiro, Silva Erasmo Simão

机构信息

University of São Paulo (USP), Hospital Universitário, Internal Medicine Department. São Paulo, SP, Brazil.

University of São Paulo (USP), Heart Institute, School of Medicine, Laboratory of Pathology. São Paulo, SP, Brazil.

出版信息

Autops Case Rep. 2018 Feb 27;8(1):e2018010. doi: 10.4322/acr.2018.010. eCollection 2018 Jan-Mar.

DOI:10.4322/acr.2018.010
PMID:29515985
原文链接:https://pmc.ncbi.nlm.nih.gov/articles/PMC5828292/
Abstract

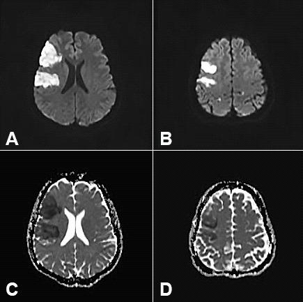
Central nervous system (CNS) ischemic events, besides being a common and devastating disease, are accompanied by severe disability and other morbidities. The cause of such events is not always that simple to diagnose, and among the young, a broad spectrum of possibilities should be considered. We present the case of a young man who presented two episodes of CNS ischemia with a 1 year gap between them, which occurred in the same situation while he was walking and carrying a heavy backpack. The second event first presented as a transient ischemic attack followed by a stroke the day after. The diagnostic work-up showed an indentation of the greater cornu of the hyoid bone over the internal carotid artery, which injured the media and intimal layers. At the arterial injury site, a micro thrombus was found, which explained the source of the embolic event to the CNS. The patient was operated on, and the procedure included the resection of the posterior horn of the hyoid bone, the resection of the injured segment of the internal carotid artery followed by carotid-carotid bypass with the great saphenous vein. The postoperative period and the recovery were uneventful as was the 5-month follow-up. We call attention to this unusual cause of stroke and present other cases reported in the literature.

摘要

中枢神经系统(CNS)缺血性事件不仅是一种常见且具有破坏性的疾病,还伴有严重残疾和其他病症。此类事件的病因并不总是那么容易诊断,对于年轻人而言,应考虑多种可能性。我们报告一例年轻男性病例,其出现了两次中枢神经系统缺血发作,两次发作间隔1年,均发生在他行走并背着沉重背包的相同情况下。第二次事件最初表现为短暂性脑缺血发作,次日继之以中风。诊断检查显示舌骨大角在内颈动脉上方有压痕,损伤了中膜和内膜层。在动脉损伤部位发现了一个微血栓,这解释了栓塞事件至中枢神经系统的来源。患者接受了手术,手术包括切除舌骨后角、切除颈内动脉受损段,随后用大隐静脉进行颈动脉-颈动脉搭桥术。术后恢复顺利,5个月随访情况良好。我们提请注意这种不寻常的中风病因,并介绍文献中报道的其他病例。

https://cdn.ncbi.nlm.nih.gov/pmc/blobs/6ef8/5828292/4637225c9fbb/autopsy-08-01e2018010-g06.jpg
https://cdn.ncbi.nlm.nih.gov/pmc/blobs/6ef8/5828292/f8f2ed1129bd/autopsy-08-01e2018010-g01.jpg
https://cdn.ncbi.nlm.nih.gov/pmc/blobs/6ef8/5828292/64861cc46693/autopsy-08-01e2018010-g02.jpg
https://cdn.ncbi.nlm.nih.gov/pmc/blobs/6ef8/5828292/d2de5a5a65fc/autopsy-08-01e2018010-g03.jpg
https://cdn.ncbi.nlm.nih.gov/pmc/blobs/6ef8/5828292/1f2060b944ec/autopsy-08-01e2018010-g04.jpg
https://cdn.ncbi.nlm.nih.gov/pmc/blobs/6ef8/5828292/3ee6efe359bd/autopsy-08-01e2018010-g05.jpg
https://cdn.ncbi.nlm.nih.gov/pmc/blobs/6ef8/5828292/4637225c9fbb/autopsy-08-01e2018010-g06.jpg
https://cdn.ncbi.nlm.nih.gov/pmc/blobs/6ef8/5828292/f8f2ed1129bd/autopsy-08-01e2018010-g01.jpg
https://cdn.ncbi.nlm.nih.gov/pmc/blobs/6ef8/5828292/64861cc46693/autopsy-08-01e2018010-g02.jpg
https://cdn.ncbi.nlm.nih.gov/pmc/blobs/6ef8/5828292/d2de5a5a65fc/autopsy-08-01e2018010-g03.jpg
https://cdn.ncbi.nlm.nih.gov/pmc/blobs/6ef8/5828292/1f2060b944ec/autopsy-08-01e2018010-g04.jpg
https://cdn.ncbi.nlm.nih.gov/pmc/blobs/6ef8/5828292/3ee6efe359bd/autopsy-08-01e2018010-g05.jpg
https://cdn.ncbi.nlm.nih.gov/pmc/blobs/6ef8/5828292/4637225c9fbb/autopsy-08-01e2018010-g06.jpg

相似文献

1
Traumatic injury to the internal carotid artery by the hyoid bone: a rare cause of ischemic stroke.舌骨导致的颈内动脉创伤性损伤:缺血性中风的罕见病因。
Autops Case Rep. 2018 Feb 27;8(1):e2018010. doi: 10.4322/acr.2018.010. eCollection 2018 Jan-Mar.
2
Hyoid Elongation May Be a Rare Cause of Recurrent Ischemic Stroke in Youth-A Case Report and Literature Review.舌骨延长可能是青年复发性缺血性卒中的罕见病因——一例报告及文献综述
Front Neurol. 2021 Sep 1;12:653471. doi: 10.3389/fneur.2021.653471. eCollection 2021.
3
Carotid Artery Entrapment by the Hyoid Bone-A Rare Cause of Recurrent Strokes in a Young Patient.舌骨导致的颈动脉受压——年轻患者复发性中风的罕见原因
Ann Vasc Surg. 2019 May;57:48.e7-48.e11. doi: 10.1016/j.avsg.2018.09.001. Epub 2018 Sep 12.
4
Multiple Strokes Associated With Elongation of the Hyoid Bone.与舌骨延长相关的多发性中风。
Neurohospitalist. 2018 Jan;8(1):35-37. doi: 10.1177/1941874417706220. Epub 2017 Apr 28.
5
Cerebral embolism and carotid-hyoid impingement syndrome.脑栓塞与颈动脉-舌骨撞击综合征
J Clin Neurosci. 2019 Jun;64:27-29. doi: 10.1016/j.jocn.2019.03.040. Epub 2019 Apr 12.
6
Carotid artery entrapment by the hyoid bone.颈动脉被舌骨压迫。
J Vasc Surg. 2008 Oct;48(4):1022-4. doi: 10.1016/j.jvs.2008.04.062.
7
Internal Carotid Stenosis Associated with Compression by Hyoid Bone.舌骨压迫导致的颈内动脉狭窄
Ann Vasc Surg. 2019 Jul;58:379.e1-379.e3. doi: 10.1016/j.avsg.2018.09.043. Epub 2019 Jan 24.
8
[Traumatic knee dislocation with popliteal vascular disruption: retrospective study of 14 cases].[伴有腘血管损伤的创伤性膝关节脱位:14例回顾性研究]
Rev Chir Orthop Reparatrice Appar Mot. 2006 Dec;92(8):768-77. doi: 10.1016/s0035-1040(06)75945-1.
9
Is there a potential role for hyoid bone compression in pathogenesis of carotid artery stenosis?舌骨压迫在颈动脉狭窄发病机制中是否存在潜在作用?
Surg Neurol. 1999 Jun;51(6):650-3. doi: 10.1016/s0090-3019(99)00022-1.
10
A fifteen-year experience with carotid endarterectomy after a formal operative protocol requiring highly frequent patch angioplasty.一项为期15年的颈动脉内膜切除术经验,该手术遵循要求频繁进行补片血管成形术的正式手术方案。
J Vasc Surg. 2000 Apr;31(4):724-35. doi: 10.1067/mva.2000.104591.

引用本文的文献

1
External Carotid Artery Entrapment by the Hyoid Bone Associated with an Atherosclerotic Stenosis of the Internal Carotid Artery.舌骨导致颈外动脉受压并伴有颈内动脉粥样硬化性狭窄
Diseases. 2024 Oct 18;12(10):258. doi: 10.3390/diseases12100258.
2
Internal carotid artery dissection associated with an elongated hyoid bone in a patient with vascular Ehlers-Danlos syndrome.血管型埃勒斯-当洛斯综合征患者的舌骨过长与颈内动脉夹层相关。
BMJ Case Rep. 2024 Aug 16;17(8):e260764. doi: 10.1136/bcr-2024-260764.
3
Carotid Endarterectomy Requiring Removal of the Superior Horn of Thyroid Cartilage: Case Report and Literature Review.

本文引用的文献

1
A Diagnostic Approach to Stroke in Young Adults.年轻成年人中风的诊断方法
Curr Treat Options Cardiovasc Med. 2017 Sep 25;19(11):84. doi: 10.1007/s11936-017-0587-6.
2
Repetitive Artery-to-Artery Embolism Caused by Dynamic Movement of the Internal Carotid Artery and Mechanical Stimulation by the Hyoid Bone.颈内动脉动态运动及舌骨机械刺激所致反复动脉到动脉栓塞
Circulation. 2015 Jul 21;132(3):217-9. doi: 10.1161/CIRCULATIONAHA.114.015144.
3
Carotid artery dissection associated with an elongated hyoid bone.与舌骨过长相关的颈动脉夹层。
需要切除甲状软骨上角的颈动脉内膜切除术:病例报告及文献综述
NMC Case Rep J. 2021 Sep 18;8(1):595-600. doi: 10.2176/nmccrj.cr.2020-0364. eCollection 2021.
4
Hyoid Elongation May Be a Rare Cause of Recurrent Ischemic Stroke in Youth-A Case Report and Literature Review.舌骨延长可能是青年复发性缺血性卒中的罕见病因——一例报告及文献综述
Front Neurol. 2021 Sep 1;12:653471. doi: 10.3389/fneur.2021.653471. eCollection 2021.
5
Hyoid bone impingement contributing to symptomatic atherosclerosis of the carotid bifurcation.舌骨撞击导致颈动脉分叉处出现有症状的动脉粥样硬化。
J Vasc Surg Cases Innov Tech. 2020 Feb 20;6(1):89-92. doi: 10.1016/j.jvscit.2020.01.001. eCollection 2020 Mar.
J Stroke Cerebrovasc Dis. 2014 Sep;23(8):e411-e412. doi: 10.1016/j.jstrokecerebrovasdis.2014.04.006. Epub 2014 Aug 8.
4
Carotid artery compression by the hyoid bone.舌骨对颈动脉的压迫。
Vasc Endovascular Surg. 2012 Nov;46(8):686-7. doi: 10.1177/1538574412460101. Epub 2012 Sep 17.
5
Recurrent syncope caused by compression of internal carotid artery by an anomalous hyoid bone.异常舌骨压迫颈内动脉导致的复发性晕厥。
Vasa. 2012 May;41(3):221-4. doi: 10.1024/0301-1526/a000189.
6
Hyoid bone-related focal carotid vasculopathy.舌骨相关的局灶性颈动脉血管病变。
J Neurol. 2011 Aug;258(8):1540-1. doi: 10.1007/s00415-011-5940-1. Epub 2011 Feb 17.
7
Neurological picture. Repetitive internal carotid artery compression of the hyoid: a new mechanism of golfer's stroke?神经学表现。舌骨的颈内动脉反复受压:高尔夫球手肘击伤的一种新机制?
J Neurol Neurosurg Psychiatry. 2011 Feb;82(2):233-4. doi: 10.1136/jnnp.2010.213777. Epub 2010 Jun 28.
8
Analysis of 1008 consecutive patients aged 15 to 49 with first-ever ischemic stroke: the Helsinki young stroke registry.对1008例年龄在15至49岁之间首次发生缺血性卒中的连续患者进行分析:赫尔辛基青年卒中登记研究。
Stroke. 2009 Apr;40(4):1195-203. doi: 10.1161/STROKEAHA.108.529883. Epub 2009 Feb 26.
9
Carotid artery entrapment by the hyoid bone.颈动脉被舌骨压迫。
J Vasc Surg. 2008 Oct;48(4):1022-4. doi: 10.1016/j.jvs.2008.04.062.
10
Pseudoaneurysm of the common carotid artery due to ongoing trauma from the hyoid bone.由于舌骨持续创伤导致的颈总动脉假性动脉瘤。
J Vasc Surg. 2007 Jan;45(1):186-7. doi: 10.1016/j.jvs.2006.08.075.