Suppr超能文献

慢性髓性白血病与弥漫性大B细胞淋巴瘤并存并伴有既往慢性淋巴细胞白血病:一例报告及文献复习

Coexistence of chronic myeloid leukemia and diffuse large B-cell lymphoma with antecedent chronic lymphocytic leukemia: a case report and review of the literature.

作者信息

Abuelgasim Khadega A, Rehan Hinna, Alsubaie Maha, Al Atwi Nasser, Al Balwi Mohammed, Alshieban Saeed, Almughairi Areej

机构信息

Department of Oncology, King Abdulaziz Medical City, Ministry of National Guard Health Affairs, Riyadh, 1775, Saudi Arabia.

King Abdullah International Medical Research Center, King Saud University for Health Sciences, Riyadh, Saudi Arabia.

出版信息

J Med Case Rep. 2018 Mar 11;12(1):64. doi: 10.1186/s13256-018-1612-4.

Abstract

BACKGROUND

Chronic lymphocytic leukemia and chronic myeloid leukemia are the most common types of adult leukemia. However, it is rare for the same patient to suffer from both. Richter's transformation to diffuse large B-cell lymphoma is frequently observed in chronic lymphocytic leukemia. Purine analog therapy and the presence of trisomy 12, and CCND1 gene rearrangement have been linked to increased risk of Richter's transformation. The coexistence of chronic myeloid leukemia and diffuse large B-cell lymphoma in the same patient is extremely rare, with only nine reported cases. Here, we describe the first reported case of concurrent chronic myeloid leukemia and diffuse large B-cell lymphoma in a background of chronic lymphocytic leukemia.

CASE PRESENTATION

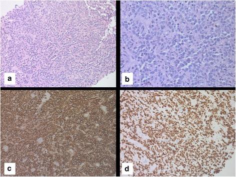
A 60-year-old Saudi man known to have diabetes, hypertension, and chronic active hepatitis B was diagnosed as having Rai stage II chronic lymphocytic leukemia, with trisomy 12 and rearrangement of the CCND1 gene in December 2012. He required no therapy until January 2016 when he developed significant anemia, thrombocytopenia, and constitutional symptoms. He received six cycles of fludarabine, cyclophosphamide, and rituximab, after which he achieved complete remission. One month later, he presented with progressive leukocytosis (mostly neutrophilia) and splenomegaly. Fluorescence in situ hybridization from bone marrow aspirate was positive for translocation (9;22) and reverse transcription polymerase chain reaction detected BCR-ABL fusion gene consistent with chronic myeloid leukemia. He had no morphologic or immunophenotypic evidence of chronic lymphocytic leukemia at the time. Imatinib, a first-line tyrosine kinase inhibitor, was started. Eight months later, a screening imaging revealed new liver lesions, which were confirmed to be diffuse large B-cell lymphoma.

CONCLUSIONS

In chronic lymphocytic leukemia, progressive leukocytosis and splenomegaly caused by emerging chronic myeloid leukemia can be easily overlooked. It is unlikely that chronic myeloid leukemia arose as a result of clonal evolution secondary to fludarabine treatment given the very short interval after receiving fludarabine. It is also unlikely that imatinib contributed to the development of diffuse large B-cell lymphoma; rather, diffuse large B-cell lymphoma arose as a result of Richter's transformation. Fludarabine, trisomy 12, and CCND1 gene rearrangement might have increased the risk of Richter's transformation in this patient.

摘要

背景

慢性淋巴细胞白血病和慢性髓性白血病是成人白血病最常见的类型。然而,同一患者同时患这两种病的情况很少见。慢性淋巴细胞白血病患者常发生里氏转化为弥漫性大B细胞淋巴瘤。嘌呤类似物治疗、12号染色体三体以及CCND1基因重排与里氏转化风险增加有关。同一患者同时存在慢性髓性白血病和弥漫性大B细胞淋巴瘤极为罕见,仅有9例报道。在此,我们描述首例在慢性淋巴细胞白血病背景下同时并发慢性髓性白血病和弥漫性大B细胞淋巴瘤的病例。

病例介绍

一名60岁沙特男性,已知患有糖尿病、高血压和慢性活动性乙型肝炎,于2012年12月被诊断为Rai II期慢性淋巴细胞白血病,伴有12号染色体三体和CCND1基因重排。直到2016年1月,他出现严重贫血、血小板减少和全身症状之前,一直无需治疗。他接受了六个周期的氟达拉滨、环磷酰胺和利妥昔单抗治疗,之后达到完全缓解。一个月后,他出现进行性白细胞增多(主要为中性粒细胞增多)和脾肿大。骨髓穿刺液的荧光原位杂交显示(9;22)易位阳性,逆转录聚合酶链反应检测到与慢性髓性白血病一致的BCR-ABL融合基因。当时他没有慢性淋巴细胞白血病的形态学或免疫表型证据。开始使用一线酪氨酸激酶抑制剂伊马替尼。八个月后,一次筛查影像学检查发现新的肝脏病变,确诊为弥漫性大B细胞淋巴瘤。

结论

在慢性淋巴细胞白血病中,由新出现的慢性髓性白血病引起的进行性白细胞增多和脾肿大很容易被忽视。鉴于在接受氟达拉滨治疗后间隔时间很短,慢性髓性白血病不太可能是氟达拉滨治疗继发的克隆进化所致。伊马替尼也不太可能导致弥漫性大B细胞淋巴瘤的发生;相反,弥漫性大B细胞淋巴瘤是里氏转化的结果。氟达拉滨、12号染色体三体和CCND1基因重排可能增加了该患者里氏转化的风险。

https://cdn.ncbi.nlm.nih.gov/pmc/blobs/cac3/5845776/9a8cd254601d/13256_2018_1612_Fig1_HTML.jpg

文献AI研究员

20分钟写一篇综述,助力文献阅读效率提升50倍。

立即体验

用中文搜PubMed

大模型驱动的PubMed中文搜索引擎

马上搜索

文档翻译

学术文献翻译模型,支持多种主流文档格式。

立即体验