Suppr超能文献

Evolution of a rare ECG pattern in an aggressive case of neonatal tuberous sclerosis complex.

作者信息

Iezzi Federica, Quarti Andrea, Capestro Alessandro, Surace Francesca Chiara, Pozzi Marco

机构信息

Department of Paediatric and Congenital Cardiac Surgery and Cardiology, Azienda Ospedaliero-Universitaria Ospedali Riuniti Ancona "Umberto I, G. M. Lancisi, G. Salesi" Ancona, via Conca n. 71, 60128 Ancona, Italy.

Department of Paediatric and Congenital Cardiac Surgery and Cardiology, Azienda Ospedaliero-Universitaria Ospedali Riuniti Ancona "Umberto I, G. M. Lancisi, G. Salesi" Ancona, via Conca n. 71, 60128 Ancona, Italy.

出版信息

Int J Surg Case Rep. 2018;44:197-201. doi: 10.1016/j.ijscr.2018.02.030. Epub 2018 Feb 23.

Abstract

INTRODUCTION

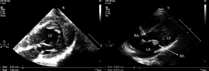
Rhabdomyomas are the most frequent cardiac tumors in children. Furthermore, they are often associated to tuberous sclerosis complex, an autosomal dominant neurocutaneous disorder characterized by tumor-like malformations that involve many organ systems.

PRESENTATION OF THE CASE

We describe a rare ECG pattern in a severe case of neonatal tuberous sclerosis complex.

DISCUSSION

In the presence of significant rhabdomyomatosis related to tuberous sclerosis, multiple clusters of rhabdomyoma-like cells can infiltrate the myocardium, with increased fibrosis areas.

CONCLUSION

Considering the fact that rhabdomyomas often show spontaneous regression, close follow-up is sufficient in hemodynamically stable cases. Destruction of the conduction system, with arrhythmias as consequence, can be the presenting feature of diffuse rhabdomyomatosis.

摘要
https://cdn.ncbi.nlm.nih.gov/pmc/blobs/0a44/5927810/8e8afa27408c/gr1.jpg

文献AI研究员

20分钟写一篇综述,助力文献阅读效率提升50倍。

立即体验

用中文搜PubMed

大模型驱动的PubMed中文搜索引擎

马上搜索

文档翻译

学术文献翻译模型,支持多种主流文档格式。

立即体验