Suppr超能文献

早期非对称的耳朵输入会导致左右运动功能的持久差异。

Early uneven ear input induces long-lasting differences in left-right motor function.

机构信息

Department of Neuroscience, Albert Einstein College of Medicine, Bronx, New York, United States of America.

Departments of Chemical & Biomedical Engineering and Communication Sciences & Disorders, Global Center for Hearing & Speech Research, University of South Florida, Tampa, Florida, United States of America.

出版信息

PLoS Biol. 2018 Mar 13;16(3):e2002988. doi: 10.1371/journal.pbio.2002988. eCollection 2018 Mar.

Abstract

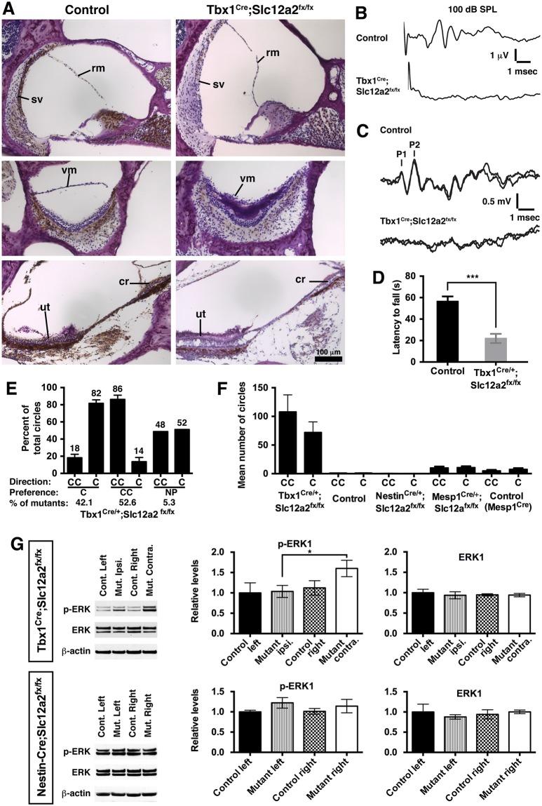
How asymmetries in motor behavior become established normally or atypically in mammals remains unclear. An established model for motor asymmetry that is conserved across mammals can be obtained by experimentally inducing asymmetric striatal dopamine activity. However, the factors that can cause motor asymmetries in the absence of experimental manipulations to the brain remain unknown. Here, we show that mice with inner ear dysfunction display a robust left or right rotational preference, and this motor preference reflects an atypical asymmetry in cortico-striatal neurotransmission. By unilaterally targeting striatal activity with an antagonist of extracellular signal-regulated kinase (ERK), a downstream integrator of striatal neurotransmitter signaling, we can reverse or exaggerate rotational preference in these mice. By surgically biasing vestibular failure to one ear, we can dictate the direction of motor preference, illustrating the influence of uneven vestibular failure in establishing the outward asymmetries in motor preference. The inner ear-induced striatal asymmetries identified here intersect with non-ear-induced asymmetries previously linked to lateralized motor behavior across species and suggest that aspects of left-right brain function in mammals can be ontogenetically influenced by inner ear input. Consistent with inner ear input contributing to motor asymmetry, we also show that, in humans with normal ear function, the motor-dominant hemisphere, measured as handedness, is ipsilateral to the ear with weaker vestibular input.

摘要

运动行为的不对称性如何在哺乳动物中正常或异常地建立尚不清楚。通过实验诱导不对称的纹状体多巴胺活性,可以获得一种在哺乳动物中保守的运动不对称的既定模型。然而,在没有对大脑进行实验操作的情况下,导致运动不对称的因素仍不清楚。在这里,我们表明,内耳功能障碍的小鼠表现出强烈的左或右旋转偏好,这种运动偏好反映了皮质纹状体神经传递的异常不对称。通过使用细胞外信号调节激酶(ERK)的拮抗剂单侧靶向纹状体活性,ERK 是纹状体神经递质信号的下游整合因子,我们可以在这些小鼠中反转或夸大旋转偏好。通过对一只耳朵进行偏向性前庭功能障碍手术,我们可以决定运动偏好的方向,说明了前庭功能障碍不均匀在建立运动偏好的外向不对称中的影响。这里确定的内耳诱导的纹状体不对称性与以前在物种间与偏侧运动行为相关的非内耳诱导的不对称性相交,表明哺乳动物左右脑功能的某些方面可以受到内耳输入的影响。与内耳输入对运动不对称的贡献一致,我们还表明,在具有正常耳功能的人类中,运动优势半球(以利手为衡量标准)与前庭输入较弱的耳朵同侧。

https://cdn.ncbi.nlm.nih.gov/pmc/blobs/9607/5849283/0756a8573e82/pbio.2002988.g001.jpg

文献检索

告别复杂PubMed语法,用中文像聊天一样搜索,搜遍4000万医学文献。AI智能推荐,让科研检索更轻松。

立即免费搜索

文件翻译

保留排版,准确专业,支持PDF/Word/PPT等文件格式,支持 12+语言互译。

免费翻译文档

深度研究

AI帮你快速写综述,25分钟生成高质量综述,智能提取关键信息,辅助科研写作。

立即免费体验