Suppr超能文献

人疱疹病毒6型与纳武单抗相关肺炎并存:潜在的发病机制见解

Concomitant Human Herpes Virus 6 and nivolumab-related pneumonitis: Potential pathogenetic insights.

作者信息

Foukas Periklis G, Tsiodras Sotirios, Economopoulou Panagiota, Spathis Aris, Mademli Maria, Leventakos Konstantinos, Psyrri Amanda, Karakitsos Petros, Panayiotides Ioannis G

机构信息

2nd Department of Pathology, School of Medicine, National and Kapodistrian University of Athens, Attikon University Hospital, Athens, Greece.

4th Department of Internal Medicine, School of Medicine, National and Kapodistrian University of Athens, Attikon University Hospital, Athens, Greece.

出版信息

IDCases. 2018 Feb 8;11:101-103. doi: 10.1016/j.idcr.2018.01.013. eCollection 2018.

Abstract

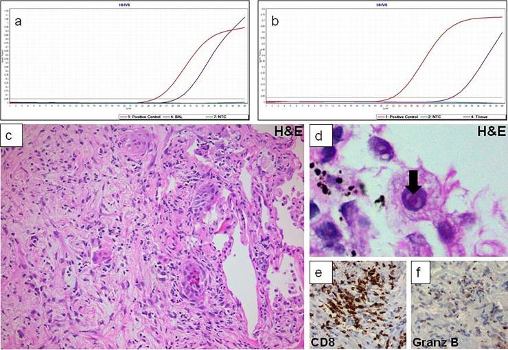
The development of immune system modulating agents, such as immune checkpoint inhibitors (ICIs), has revolutionized cancer treatment. Nivolumab, a human monoclonal antibody against PD-1, has emerged as an efficient treatment for various malignancies, including non-small cell lung cancer (NSCLC); however, it is associated with important immune related side-effects, attributed to organ-specific inflammation, such as immune-mediated pneumonitis, a relatively uncommon, albeit potentially fatal adverse event. We herein present the unique case of severe interstitial pneumonitis with concomitant detection of Human Herpes Virus 6 (HHV-6) in a nivolumab treated patient with NSCLC. Potential pathogenetic mechanisms are discussed.

摘要

免疫系统调节剂的发展,如免疫检查点抑制剂(ICIs),彻底改变了癌症治疗。纳武单抗是一种抗PD-1的人源单克隆抗体,已成为包括非小细胞肺癌(NSCLC)在内的各种恶性肿瘤的有效治疗方法;然而,它与重要的免疫相关副作用有关,这些副作用归因于器官特异性炎症,如免疫介导的肺炎,这是一种相对罕见但可能致命的不良事件。我们在此报告一例在接受纳武单抗治疗的NSCLC患者中出现严重间质性肺炎并同时检测到人类疱疹病毒6型(HHV-6)的独特病例。并讨论了潜在的发病机制。

https://cdn.ncbi.nlm.nih.gov/pmc/blobs/d11e/5852387/1433de0b4ae3/gr1.jpg

文献AI研究员

20分钟写一篇综述,助力文献阅读效率提升50倍。

立即体验

用中文搜PubMed

大模型驱动的PubMed中文搜索引擎

马上搜索

文档翻译

学术文献翻译模型,支持多种主流文档格式。

立即体验