Institute of Orthopaedics and Traumatology, The First Affiliated Hospital of Zhejiang Chinese Medical University, No. 548 Binwen Road, Binjiang District, Hangzhou, 310053, Zhejiang, People's Republic of China.
The First College of Clinical Medicine, Zhejiang Chinese Medical University, Hangzhou, 310053, Zhejiang, People's Republic of China.
J Transl Med. 2018 Mar 20;16(1):72. doi: 10.1186/s12967-018-1437-3.
Articular cartilage degeneration plays a key role in the pathogenesis of osteoarthritis (OA). Bushenhuoxue formula (BSHXF) has been widely used in the treatment of OA in clinics. However, the molecular mechanisms responsible for the chondroprotective effect of BSHXF remain to be elucidated. The purpose of this study was to explore the effects of BSHXF on OA mice model.
In this study, we investigated the effects of BSHXF on destabilization of the medial meniscus (DMM)-induced chondrocyte degradation in OA mice model. At 12 weeks post-surgery, the joints were harvested for tissue analyses, including histology, histomorphometry, TUNEL, OARSI scoring, micro-CT and immunohistochemistry for COL2, TGFBR2, pSMAD2 and MMP13. Additionally, we also evaluated the effects of BSHXF on Mmp13 mRNA and protein expression in chondrogenic ATDC5 cells through real-time PCR and Western blot respectively. Moreover, we investigated the chondroprotective effect of BSHXF on mice with Tgfbr2 conditional knockout (Tgfbr2 mice) in chondrocyte, including the relative experiments mentioned above. We transfected Tgfbr2 siRNA in ATDC5 to further evaluate the changes of Mmp13 mRNA and protein expression followed by BSHXF treatment.
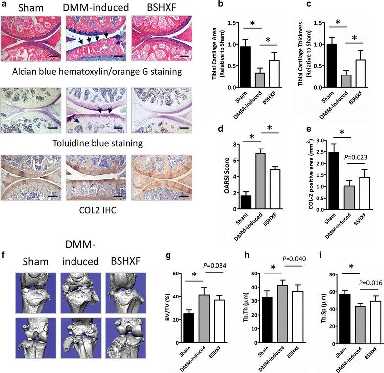
Amelioration of cartilage degradation and chondrocyte apoptosis were observed in DMM-induced mice, with increases in cartilage area and thickness, proteoglycan matrix, COL2 content and decreases in OARSI score at 12 weeks post surgery. Moreover, the elevated TGFBR2 and pSMAD2, and reduced MMP13 positive cells were also revealed in DMM-induced mice treated with BSHXF. Besides, decreased Mmp13 mRNA and protein expression were observed inchondrogenic ATDC5 cells culture in serum containing BSHXF. As expected, Tgfbr2 mice exhibited significant OA-like phenotype. Interestingly, obvious improvement in articular cartilage structure was still observed in Tgfbr2 mice after BSHXF treatment via up-regulated pSMAD2 and down-regulated MMP13 expressional levels in articular cartilage.
BSHXF could inhibit cartilage degradation through TGF-β/MMP13 signaling, and be considered a good option for the treatment of OA.
关节软骨退变在骨关节炎(OA)发病机制中起关键作用。补肾活血方(BSHXF)已广泛应用于临床治疗 OA。然而,BSHXF 对软骨保护作用的分子机制仍有待阐明。本研究旨在探讨 BSHXF 对 OA 小鼠模型的影响。
在这项研究中,我们研究了 BSHXF 对内侧半月板不稳定(DMM)诱导的 OA 小鼠模型中软骨细胞降解的影响。术后 12 周,采集关节进行组织分析,包括组织学、组织形态计量学、TUNEL、OARSI 评分、micro-CT 和 COL2、TGFBR2、pSMAD2 和 MMP13 的免疫组化。此外,我们还通过实时 PCR 和 Western blot 分别评估了 BSHXF 对软骨细胞 ATDC5 中 Mmp13 mRNA 和蛋白表达的影响。此外,我们还研究了 BSHXF 对软骨细胞 Tgfbr2 条件敲除(Tgfbr2 小鼠)小鼠的软骨保护作用,包括上述相关实验。我们转染了 Tgfbr2 siRNA 到 ATDC5 中,进一步评估了 BSHXF 处理后 Mmp13 mRNA 和蛋白表达的变化。
DMM 诱导的小鼠软骨降解和软骨细胞凋亡得到改善,术后 12 周时,软骨面积和厚度增加,糖胺聚糖基质增加,COL2 含量增加,OARSI 评分降低。此外,在 BSHXF 治疗的 DMM 诱导的小鼠中,还发现 TGFBR2 和 pSMAD2 升高,MMP13 阳性细胞减少。此外,在含有 BSHXF 的血清培养的软骨细胞 ATDC5 中,观察到 Mmp13 mRNA 和蛋白表达降低。不出所料,Tgfbr2 小鼠表现出明显的 OA 样表型。有趣的是,在 BSHXF 治疗后,Tgfbr2 小鼠的关节软骨结构仍有明显改善,这可能是通过上调关节软骨中 pSMAD2 和下调 MMP13 表达水平实现的。
BSHXF 可通过 TGF-β/MMP13 信号通路抑制软骨降解,可作为 OA 治疗的一种选择。