Suppr超能文献

肾上腺血管瘤:一例腹膜后肿瘤病例

Adrenal Hemangioma: A Case of Retroperitoneal Tumor.

作者信息

Iwamoto Genta, Shimokihara Kota, Kawahara Takashi, Takamoto Daiji, Yao Masahiro, Teranishi Jun-Ichi, Otani Masako, Uemura Hiroji

机构信息

Department of Urology and Renal Transplantation, Yokohama City University Medical Center, Yokohama, Japan.

Department of Urology, Yokohama City University Graduate School of Medicine, Yokohama, Japan.

出版信息

Case Rep Med. 2018 Feb 19;2018:8796327. doi: 10.1155/2018/8796327. eCollection 2018.

Abstract

INTRODUCTION

Adrenal hemangioma is a rare disease, with only some 60 cases reported previously. Due to the difficulty of the preoperative diagnosis of adrenal hemangioma, almost all of the cases were diagnosed by a histopathological analysis of surgical specimens.

CASE PRESENTATION

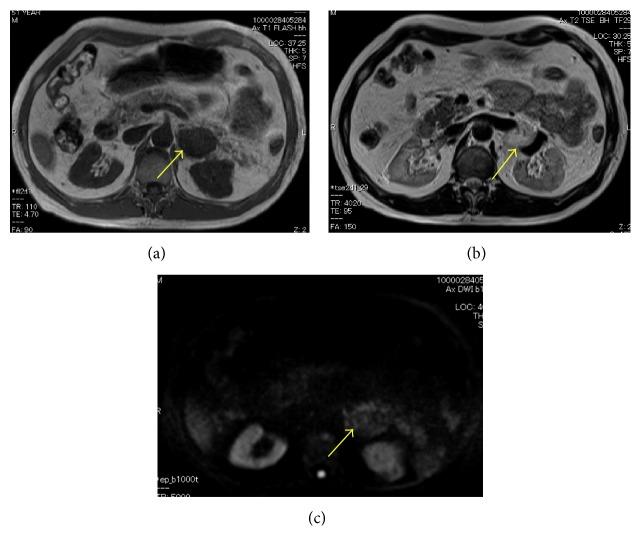
A 52-year-old man was referred to our department for further examination of his left retroperitoneal tumor. He had received hemodialysis due to chronic renal failure resulting from membranous nephropathy. Computed tomography revealed a mass around his left hilum. Magnetic resonance imaging (MRI) and positron-emission tomography (PET)-CT were unable to confirm or deny malignancy, and tumor markers, including CEA and CA19-9, showed slight elevation. His tumor grew from 38 mm to 54 mm in diameter in 7 months of follow-up. We therefore planned retroperitoneal tumor resection with left nephrectomy. Histopathologically, hyperplastic small vessels with hemorrhaging and denaturation were seen. The endothelial cells showed no variants or division of the nucleus. Based on this diagnosis, no further therapy was performed. He has had no recurrence in the eight months since the surgery.

CONCLUSION

We herein report a rare case of adrenal hemangioma.

摘要

引言

肾上腺血管瘤是一种罕见疾病,此前仅有约60例病例报道。由于肾上腺血管瘤术前诊断困难,几乎所有病例都是通过手术标本的组织病理学分析确诊的。

病例介绍

一名52岁男性因左腹膜后肿瘤前来我院进一步检查。他因膜性肾病导致的慢性肾衰竭接受血液透析。计算机断层扫描显示左肾门周围有一个肿块。磁共振成像(MRI)和正电子发射断层扫描(PET)-CT无法确定肿块是否为恶性,包括癌胚抗原(CEA)和糖类抗原19-9(CA19-9)在内的肿瘤标志物略有升高。在7个月的随访中,他的肿瘤直径从38毫米增长到了54毫米。因此,我们计划行腹膜后肿瘤切除术并切除左肾。组织病理学检查可见增生的小血管伴出血和变性。内皮细胞未见核异型或核分裂。基于这一诊断,未进行进一步治疗。术后八个月他未出现复发。

结论

我们在此报告一例罕见的肾上腺血管瘤病例。

https://cdn.ncbi.nlm.nih.gov/pmc/blobs/2bff/5836307/6755d7927286/CRIM2018-8796327.001.jpg

文献AI研究员

20分钟写一篇综述,助力文献阅读效率提升50倍。

立即体验

用中文搜PubMed

大模型驱动的PubMed中文搜索引擎

马上搜索

文档翻译

学术文献翻译模型,支持多种主流文档格式。

立即体验