Suppr超能文献

具有丰富CD20表达的T细胞淋巴瘤对利妥昔单抗联合吉西他滨、奥沙利铂和L-天冬酰胺酶(R-pGEMOX)治疗反应良好:一例报告。

T-cell lymphoma with abundant CD20 expression showing a good response to rituximab with gemcitabine, oxiplatin, and L-asparaginase (R-pGEMOX): A case report.

作者信息

Shao Yajuan, Bai Chunmei, Sun Jian, Gao Xin

机构信息

Department of Medical Oncology.

Department of Pathology.

出版信息

Medicine (Baltimore). 2018 Mar;97(12):e0199. doi: 10.1097/MD.0000000000010199.

Abstract

RATIONALE

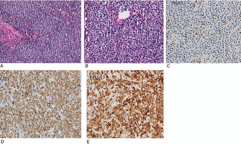
T-cell lymphoma is a neoplasm that expresses markers of T-cell or natural killer cell (NK)-origin but not those of B-cell origin. Although B-cell lymphoma with abundant expression of T-cell markers exist, the opposite is very rare. Therefore, little is known about this subtype of lymphoma, including its treatment and prognosis.

CASE REPORT

A 65-year-old man was diagnosed with T-cell lymphoma with abundant CD20 expression. He was refractory to cyclophosphamide + epirubicin + vincristine + prednisone + etoposide (CHOPE), ifosfamide + cisplatin + etoposide + dexamethasone (DICE), and hyper-cyclophosphamide + vincristine + epirubicin + dexamethasone (CVAD) chemotherapy. The patient was also treated with prednisone + thalidomide + chidamide, which was also not effective. Upon admission to our department, he was administered a rituximab + gemcitabine + oxiplatin + L-asparaginase (R-pGEMOX) regimen and achieved partial remission.

LESSONS

CD20-positive T-cell lymphoma is a very rare type of lymphoma that is refractory to CHOP-like regimens alone. Rituximab may be effective in patients showing abundant CD20 expression, and an R-pGEMOX regimen will likely be effective, even in refractory/recurrent patients.

摘要

原理

T细胞淋巴瘤是一种表达T细胞或自然杀伤细胞(NK)来源标志物而非B细胞来源标志物的肿瘤。尽管存在大量表达T细胞标志物的B细胞淋巴瘤,但相反的情况非常罕见。因此,对于这种淋巴瘤亚型,包括其治疗和预后,了解甚少。

病例报告

一名65岁男性被诊断为具有丰富CD20表达的T细胞淋巴瘤。他对环磷酰胺+表柔比星+长春新碱+泼尼松+依托泊苷(CHOPE)、异环磷酰胺+顺铂+依托泊苷+地塞米松(DICE)以及高剂量环磷酰胺+长春新碱+表柔比星+地塞米松(CVAD)化疗均耐药。该患者还接受了泼尼松+沙利度胺+西达本胺治疗,同样无效。入院后,他接受了利妥昔单抗+吉西他滨+奥沙利铂+L-天冬酰胺酶(R-pGEMOX)方案治疗并获得部分缓解。

经验教训

CD20阳性T细胞淋巴瘤是一种非常罕见的淋巴瘤类型,单独使用CHOP样方案治疗无效。利妥昔单抗可能对CD20表达丰富的患者有效,即使是难治性/复发性患者,R-pGEMOX方案也可能有效。

https://cdn.ncbi.nlm.nih.gov/pmc/blobs/18b0/5895354/9b10f50a186a/medi-97-e0199-g002.jpg

文献AI研究员

20分钟写一篇综述,助力文献阅读效率提升50倍。

立即体验

用中文搜PubMed

大模型驱动的PubMed中文搜索引擎

马上搜索

文档翻译

学术文献翻译模型,支持多种主流文档格式。

立即体验