Ramayanti Octavia, Brinkkemper Mitch, Verkuijlen Sandra A W M, Ritmaleni Leni, Go Mei Lin, Middeldorp Jaap M
Department of Pathology, VU University Medical Center, 1081HV Amsterdam, The Netherlands.
Laboratory of Medicinal Chemistry, Gadjah Mada University, Yogyakarta 55281, Indonesia.
Cancers (Basel). 2018 Mar 22;10(4):89. doi: 10.3390/cancers10040089.
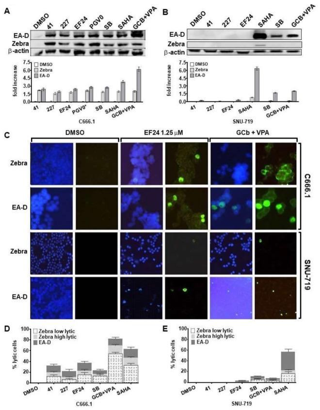
Epstein-Barr virus (EBV) persists in nasopharyngeal (NPC) and gastric carcinomas (EBVaGC) in a tightly latent form. Cytolytic virus activation (CLVA) therapy employs gemcitabine and valproic acid (GCb+VPA) to reactivate latent EBV into the lytic phase and antiviral valganciclovir to enhance cell death and prevent virus production. CLVA treatment has proven safe in phase-I/II trials with promising clinical responses in patients with recurrent NPC. However, a major challenge is to maximize EBV lytic reactivation by CLVA. Curcumin, a dietary spice used in Asian countries, is known for its antitumor property and therapeutic potential. Novel curcuminoids that were developed to increase efficacy and bioavailability may serve as oral CLVA adjuvants. We investigated the potential of curcumin and its analogs (curcuminoids) to trigger the EBV lytic cycle in EBVaGC and NPC cells. EBV-reactivating effects were measured by immunoblot and immunofluorescence using monoclonal antibodies specific for EBV lytic proteins. Two of the hit compounds (, ) with high lytic inducing activity were further studied for their synergistic or antagonistic effects when combined with GCb+VPA and analyzed by cytotoxicity and mRNA profiling assays to measure the EBV reactivation. Curcuminoid as a single agent significantly induced EBV reactivation in recombinant GC and NPC lines. The drug effects were dose- and time-dependent. Micromolar concentration of curcuminoid enhanced the CLVA effect in all cell systems except SNU719, a naturally infected EBVaGC cell that carries a more tightly latent viral genome. These findings indicated that has potential as EBV lytic activator and may serve as an adjuvant in CLVA treatment.
爱泼斯坦-巴尔病毒(EBV)以紧密潜伏的形式持续存在于鼻咽癌(NPC)和胃癌(EBVaGC)中。细胞溶解性病毒激活(CLVA)疗法使用吉西他滨和丙戊酸(GCb + VPA)将潜伏的EBV重新激活到裂解期,并使用抗病毒药物缬更昔洛韦来增强细胞死亡并防止病毒产生。CLVA治疗在I/II期试验中已被证明是安全的,对复发性NPC患者有良好的临床反应。然而,一个主要挑战是通过CLVA最大限度地激活EBV裂解再激活。姜黄素是亚洲国家使用的一种食用香料,以其抗肿瘤特性和治疗潜力而闻名。为提高疗效和生物利用度而开发的新型姜黄素类似物可作为口服CLVA佐剂。我们研究了姜黄素及其类似物(姜黄素类化合物)在EBVaGC和NPC细胞中触发EBV裂解周期的潜力。使用针对EBV裂解蛋白的单克隆抗体,通过免疫印迹和免疫荧光测量EBV再激活作用。进一步研究了两种具有高裂解诱导活性的命中化合物(, )与GCb + VPA联合使用时的协同或拮抗作用,并通过细胞毒性和mRNA谱分析测定EBV再激活情况。姜黄素类化合物作为单一药物在重组GC和NPC细胞系中显著诱导EBV再激活。药物作用具有剂量和时间依赖性。微摩尔浓度的姜黄素类化合物在除SNU719之外的所有细胞系统中均增强了CLVA效应,SNU719是一种自然感染的EBVaGC细胞,携带更紧密潜伏的病毒基因组。这些发现表明, 具有作为EBV裂解激活剂的潜力,可作为CLVA治疗的佐剂。