Suppr超能文献

肺鳞状细胞癌合并甲状旁腺功能减退伴感音神经性耳聋和肾发育不良综合征:一例报告

Lung squamous cell carcinoma associated with hypoparathyroidism with sensorineural deafness and renal dysplasia syndrome: a case report.

作者信息

Kojima Mariko, Nagano Tatsuya, Nakata Kyosuke, Hara Shigeo, Katsurada Naoko, Yamamoto Masatsugu, Tachihara Motoko, Kamiryo Hiroshi, Kobayashi Kazuyuki, Usui Takeshi, Nishimura Yoshihiro

机构信息

Division of Respiratory Medicine, Department of Internal Medicine, Kobe University Graduate School of Medicine, Kobe, Hyogo, Japan.

Department of Diagnostic Pathology, Kobe University Graduate School of Medicine, Kobe, Hyogo, Japan.

出版信息

Onco Targets Ther. 2018 Mar 20;11:1595-1599. doi: 10.2147/OTT.S161420. eCollection 2018.

Abstract

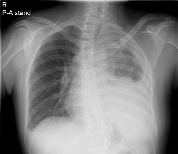
Hypoparathyroidism with sensorineural deafness and renal dysplasia (HDR) syndrome is an autosomal dominant condition caused by mutations of the gene encoding the dual zinc-finger transcription factor, GATA3. A previous study identified some patients with gene variants and breast cancer, suggesting that variants may contribute to tumorigenesis in estrogen receptor 1-positive breast tumors; however, these patients did not have HDR syndrome. A 32-year-old nonsmoking Japanese woman was histologically diagnosed with lung squamous cell carcinoma associated with HDR syndrome and a c.C952T>C (p.C318R) germline mutation in . This is the first report describing cancer in a patient with HDR syndrome. Our data indicates that mutations may be a potential therapeutic target for lung cancer.

摘要

伴有感音神经性耳聋和肾发育不全(HDR)综合征的甲状旁腺功能减退症是一种常染色体显性疾病,由编码双锌指转录因子GATA3的基因突变引起。先前的一项研究发现一些携带该基因突变的患者患有乳腺癌,这表明该基因突变可能在雌激素受体1阳性的乳腺肿瘤发生中起作用;然而,这些患者并没有HDR综合征。一名32岁不吸烟的日本女性经组织学诊断为患有与HDR综合征相关的肺鳞状细胞癌,并且其生殖细胞中存在c.C952T>C(p.C318R)突变。这是首篇描述HDR综合征患者患癌情况的报告。我们的数据表明,该基因突变可能是肺癌的一个潜在治疗靶点。

https://cdn.ncbi.nlm.nih.gov/pmc/blobs/37c7/5865551/537c98a1f0e0/ott-11-1595Fig1.jpg

文献AI研究员

20分钟写一篇综述,助力文献阅读效率提升50倍。

立即体验

用中文搜PubMed

大模型驱动的PubMed中文搜索引擎

马上搜索

文档翻译

学术文献翻译模型,支持多种主流文档格式。

立即体验