Suppr超能文献

黏液性癌病:卵巢肿瘤与胃肠道外间质瘤之间的罕见关联

Mucinous Carcinomatosis: A Rare Association between an Ovarian Tumor and an E-GIST.

作者信息

Palma Rios Hugo, Goulart André, Leão Pedro

机构信息

General Surgery Department, Hospital de Braga, Braga, Portugal.

Surgical Sciences Research Domain, Life and Health Sciences Research Institute (ICVS), School of Health Sciences, ICVS/3B's-PT Government Associate Laboratory, University of Minho, Braga, Portugal.

出版信息

Case Rep Surg. 2018 Jan 11;2018:6897372. doi: 10.1155/2018/6897372. eCollection 2018.

Abstract

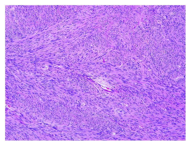
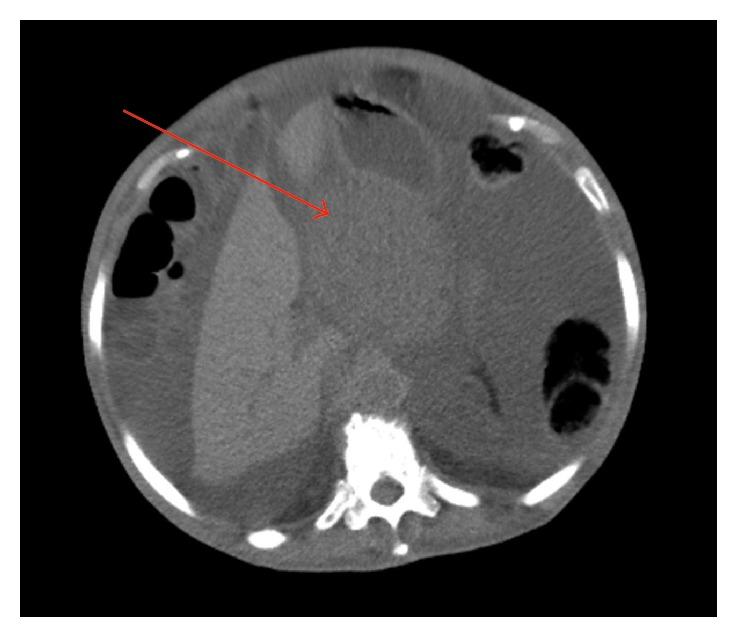
Pseudomyxoma peritonei (PMP) and extragastrointestinal stromal tumors (E-GISTs) are both rare entities. Most of the time, PMP is associated with an appendiceal tumor. An ovarian mucinous tumor can mimic appendiceal metastases. E-GIST is a mesenchymal tumor that can arise from the omentum, retroperitoneum, mesentery, or pleura. We present a case of an 87-year-old woman with mucinous carcinomatosis and acute intestinal occlusion submitted to an emergency laparotomy. She has found to have a borderline mucinous tumor of the ovary from the intestinal type with several lesions of pseudomyxoma peritonei and an E-GIST from the epiploons retrocavity (intermediated risk). In the literature, no relation was found between these two rare tumors. E-GIST was an incidental finding in the context of a mucinous carcinomatosis.

摘要

腹膜假黏液瘤(PMP)和胃肠道外间质瘤(E-GIST)均为罕见病症。大多数情况下,PMP与阑尾肿瘤相关。卵巢黏液性肿瘤可酷似阑尾转移瘤。E-GIST是一种间叶性肿瘤,可起源于大网膜、腹膜后、肠系膜或胸膜。我们报告一例87岁女性患者,因黏液性癌病和急性肠梗阻接受急诊剖腹手术。术中发现她患有肠型卵巢交界性黏液性肿瘤,伴有多处腹膜假黏液瘤病变,以及来自网膜后腔的E-GIST(中度风险)。在文献中,未发现这两种罕见肿瘤之间存在关联。E-GIST是在黏液性癌病背景下偶然发现的。

https://cdn.ncbi.nlm.nih.gov/pmc/blobs/fb56/5821968/51be89e72ba5/CRIS2018-6897372.001.jpg

文献AI研究员

20分钟写一篇综述,助力文献阅读效率提升50倍。

立即体验

用中文搜PubMed

大模型驱动的PubMed中文搜索引擎

马上搜索

文档翻译

学术文献翻译模型,支持多种主流文档格式。

立即体验