Suppr超能文献

外耳道恶性黑色素瘤:一种罕见的疾病。

Malignant Melanoma of the External Auditory Canal: A Rare Entity.

作者信息

Khonglah Yookarin, Das Nabanita, Raphael Vandana, Jitani Ankit-Kumar, Shunyu N Brian

机构信息

Department of Pathology, NEIGRIHMS, Shillong, India.

Department of Otorhinolaryngology, NEIGRIHMS, Shillong. India.

出版信息

Iran J Otorhinolaryngol. 2018 Mar;30(97):107-111.

Abstract

INTRODUCTION

Although malignant melanomas (MM) are common in the head and neck region; primary malignant melanoma of the external auditory canal (EAC) is rare.

CASE REPORT

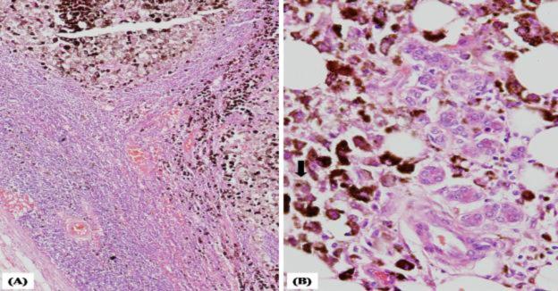
We present the case of a 50-year-old symptomatic man with a malignant melanoma of the external auditory canal, which clinically masqueraded as a haemangioma. The patient subsequently developed extensive loco-regional metastasis, requiring extensive surgery. We describe the clinical presentation, differential diagnosis, both clinical and pathological in terms of other pigmented lesions in the external auditory canal, detailed histopathology, and literature review.

CONCLUSION

We want to emphasize the importance of immediate and adequate biopsy of any pigmented lesion in the head and neck region to rule out MM. Also, we emphasize the importance of deep biopsy for proper histopathological assessment in addition to distinguishing it from benign melanocytic nevi, in order to initiate treatment.

摘要

引言

尽管恶性黑色素瘤(MM)在头颈部区域很常见,但外耳道原发性恶性黑色素瘤(EAC)却很罕见。

病例报告

我们报告一例50岁有症状的男性外耳道恶性黑色素瘤病例,该病例临床上伪装成血管瘤。患者随后发生广泛的局部区域转移,需要进行广泛手术。我们描述了临床表现、鉴别诊断,包括外耳道其他色素沉着病变的临床和病理鉴别、详细的组织病理学以及文献综述。

结论

我们想强调对头颈部任何色素沉着病变立即进行充分活检以排除MM的重要性。此外,除了将其与良性黑素细胞痣区分开来,我们还强调进行深部活检以进行适当的组织病理学评估的重要性,以便启动治疗。

https://cdn.ncbi.nlm.nih.gov/pmc/blobs/2696/5866490/dbcd6d0da28e/ijo-30-107-g001.jpg

文献AI研究员

20分钟写一篇综述,助力文献阅读效率提升50倍。

立即体验

用中文搜PubMed

大模型驱动的PubMed中文搜索引擎

马上搜索

文档翻译

学术文献翻译模型,支持多种主流文档格式。

立即体验