Suppr超能文献

骨盆穹窿截骨术联合转子推进术治疗佩特兹病后遗症的治疗效果

Treatment outcome of dome osteotomy of the pelvis combined with trochanteric advancement for sequelae of Perthes' disease.

作者信息

Santoso Asep, Ingale Pramod Shaligram, Choi Ik-Sun, Shin Young-Rok, Park Kyung-Soon, Yoon Taek-Rim

机构信息

Department of Orthopaedic and Traumatology, Prof. Dr. R. Soeharso Orthopaedic Hospital, Sebelas Maret University, Solo, Indonesia.

Center for Joint Disease, Chonnam National University Hwasun Hospital, Jeonnam, Republic of Korea.

出版信息

Acta Orthop Traumatol Turc. 2018 May;52(3):216-221. doi: 10.1016/j.aott.2018.02.010. Epub 2018 Mar 26.

Abstract

OBJECTIVE

Disparity in size between femoral head and acetabulum could promote premature degeneration of the hip joint. The purpose of this study was to report the results of Kawamura's dome osteotomy for acetabular dysplasia due to sequelae of Perthes' disease.

PATIENTS AND METHODS

Fourteen patients (14 hips) operated between 1999 and 2012 were retrospectively reviewed. There were 9 males and 5 females with a mean age of 29 years (range, 15-54 years). Functional and radiological results were reviewed at mean follow-up of 9 years (range, 4-12 years).

RESULTS

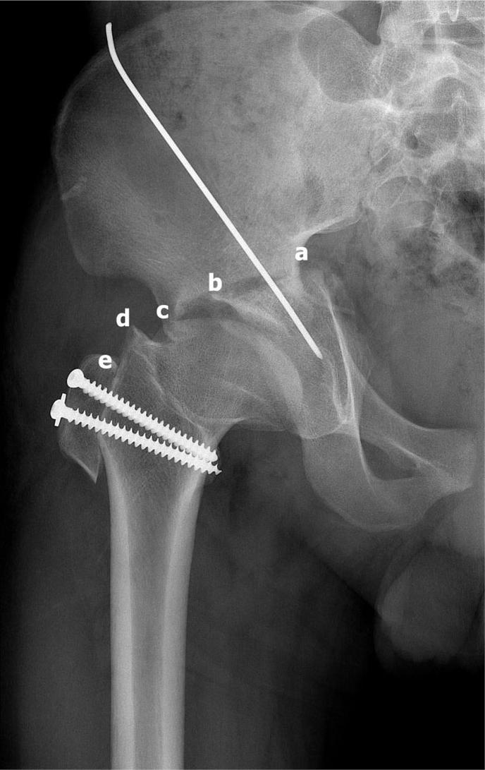
Pain relief was obtained in 13 of 14 (92.8%) patients postoperatively. Good to excellent functional outcome was obtained in 10 of 14 (71.4%) patients. Mean Harris hip score was improved from 63 to 84 (p < 0.05) at the final follow-up. Improvement of limping gait was observed in 10 of 14 (71.4%) patients. Center edge angle improved from mean 24° (11-36°) preoperatively to mean 35° (27-46°) postoperatively (p < 0.05), acetabular angle improved from mean 43° (36-49°) preoperatively to mean 37° (32-44°) postoperatively (p < 0.05), acetabular head index improved from mean 69% (50-83%) preoperatively to mean 85% (73-100%) postoperatively (p < 0.05). Progression of arthrosis stage occurred in 3 of 14 (21%) patients. None of the hip with preoperative Stulberg III, 2 of 9 hips with Stulberg IV and 2 of 2 hips with Stulberg V needed conversion to total hip arthroplasty during the follow-up.

CONCLUSION

Dome osteotomy of the pelvis combined with trochanteric advancement could give a reasonable treatment outcome for acetabular dysplasia due to Perthes' disease at mid to long-term follow-up. Advanced stage of arthrosis, preoperative Stulberg V and no improvement of limping gait after the surgery possibly associated with poor outcome.

LEVEL OF EVIDENCE

Level IV, therapeutic study.

摘要

目的

股骨头与髋臼大小不匹配会促使髋关节过早退变。本研究的目的是报告川村髋臼穹窿截骨术治疗佩特兹病后遗症所致髋臼发育不良的结果。

患者与方法

回顾性分析1999年至2012年间接受手术的14例患者(14髋)。其中男性9例,女性5例,平均年龄29岁(范围15 - 54岁)。平均随访9年(范围4 - 12年)时评估功能和影像学结果。

结果

14例患者中有13例(92.8%)术后疼痛缓解。14例患者中有10例(71.4%)获得良好至优秀的功能结果。末次随访时,Harris髋关节评分平均从63分提高至84分(p < 0.05)。14例患者中有10例(71.4%)跛行步态得到改善。中心边缘角术前平均为24°(11 - 36°),术后平均为35°(27 - 46°)(p < 0.05);髋臼角术前平均为43°(36 - 49°),术后平均为37°(32 - 44°)(p < 0.05);髋臼头指数术前平均为69%(50 - 83%),术后平均为85%(73 - 100%)(p < 0.05)。14例患者中有3例(21%)出现关节病分期进展。随访期间,术前Stulberg III型的髋关节无一例需要转换为全髋关节置换术,Stulberg IV型的9髋中有2例,Stulberg V型的2髋中有2例需要转换。

结论

骨盆穹窿截骨术联合转子推进术在中长期随访中可为佩特兹病所致髋臼发育不良提供合理的治疗结果。关节病晚期、术前Stulberg V型以及术后跛行步态无改善可能与预后不良有关。

证据水平

IV级,治疗性研究。

https://cdn.ncbi.nlm.nih.gov/pmc/blobs/bb19/6136311/7fcd00b85cf3/gr1.jpg

文献AI研究员

20分钟写一篇综述,助力文献阅读效率提升50倍。

立即体验

用中文搜PubMed

大模型驱动的PubMed中文搜索引擎

马上搜索

文档翻译

学术文献翻译模型,支持多种主流文档格式。

立即体验