Suppr超能文献

骨化三醇预防嘌呤霉素氨基核苷诱导的肾病综合征的心血管并发症。

Calcitriol Prevents Cardiovascular Repercussions in Puromycin Aminonucleoside-Induced Nephrotic Syndrome.

机构信息

Rheumatology Unit, Department of Medicine, Karolinska Institutet, Karolinska University Hospital Solna, CMM L8:04, 171 76 Stockholm, Sweden.

Instituto Nacional de Engenharia Biomédica (INEB-I3S), Nephrology and Infectious Diseases Research and Development Group, University of Porto, Alameda Prof. Hernâni Monteiro, 4200-319 Porto, Portugal.

出版信息

Biomed Res Int. 2018 Jan 23;2018:3609645. doi: 10.1155/2018/3609645. eCollection 2018.

Abstract

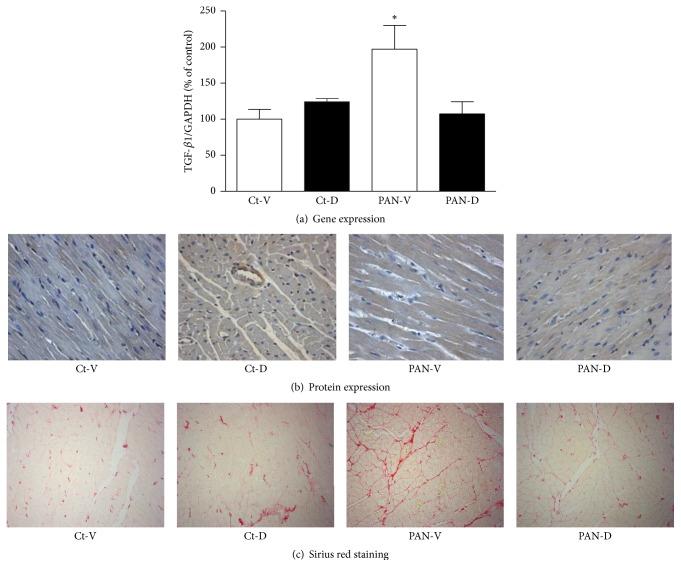
Puromycin aminonucleoside-induced nephrotic syndrome (PAN-NS) is characterized by cardiac remodeling and increased local inflammatory activity. Patients with NS and animal models of NS have vitamin D3 deficiency. The aim of the present study was to evaluate the influence of calcitriol on cardiac remodeling and local inflammatory state in PAN-NS rat model. Male Sprague-Dawley rats were injected with PAN or vehicle on day 0. PAN and control rats were divided into two subgroups for the administration of calcitriol (PAN-D and Ct-D groups) or the vehicle (PAN-V and Ct-V groups) during 21 days. On day 21, the renal function, metabolic balance, calcitriol and FGF-23 plasma levels, prohypertrophy and proinflammatory markers (ET-1, TGF-1, TNF-, and IL-1), and calcium signaling molecules (PLB and SERCA-2a) were evaluated. Twenty-one days after injection, PAN-V group presented cardiac hypertrophy and a modulation of proinflammatory markers local expression. Calcitriol treatment of PAN rats prevented cardiac hypertrophy and was associated with marked reduction in the cardiac expression levels of proinflammatory markers. Our results suggest that vitamin D3 deficiency in PAN-NS may contribute to cardiac remodeling and to the increase in local inflammatory activity. Calcitriol treatment prevents both cardiac repercussions and local inflammatory processes in PAN-NS.

摘要

嘌呤霉素氨基核苷诱导的肾病综合征 (PAN-NS) 的特征是心脏重构和局部炎症活性增加。患有 NS 的患者和 NS 的动物模型存在维生素 D3 缺乏。本研究旨在评估 1,25-二羟维生素 D3(骨化三醇)对嘌呤霉素氨基核苷诱导的肾病综合征大鼠模型中心脏重构和局部炎症状态的影响。雄性 Sprague-Dawley 大鼠在第 0 天接受嘌呤霉素氨基核苷或载体注射。PAN 和对照组大鼠分为两组,分别给予骨化三醇(PAN-D 和 Ct-D 组)或载体(PAN-V 和 Ct-V 组)治疗 21 天。在第 21 天,评估肾功能、代谢平衡、骨化三醇和 FGF-23 血浆水平、促肥大和促炎标志物(内皮素-1、转化生长因子-β1、肿瘤坏死因子-α 和白细胞介素-1)以及钙信号分子(肌球蛋白轻链磷酸酶和肌浆网钙 ATP 酶-2a)。注射后 21 天,PAN-V 组出现心脏肥大和促炎标志物局部表达的调节。骨化三醇治疗 PAN 大鼠可预防心脏肥大,并与心脏促炎标志物表达水平的显著降低相关。我们的结果表明,PAN-NS 中的维生素 D3 缺乏可能导致心脏重构和局部炎症活性增加。骨化三醇治疗可预防 PAN-NS 中的心脏和局部炎症反应。

https://cdn.ncbi.nlm.nih.gov/pmc/blobs/646a/5828333/95ad9ffdd831/BMRI2018-3609645.001.jpg

文献AI研究员

20分钟写一篇综述,助力文献阅读效率提升50倍。

立即体验

用中文搜PubMed

大模型驱动的PubMed中文搜索引擎

马上搜索

文档翻译

学术文献翻译模型,支持多种主流文档格式。

立即体验