• 文献检索
  • 文档翻译
  • 深度研究
  • 学术资讯
  • Suppr Zotero 插件Zotero 插件
  • 邀请有礼
  • 套餐&价格
  • 历史记录
应用&插件
Suppr Zotero 插件Zotero 插件浏览器插件Mac 客户端Windows 客户端微信小程序
定价
高级版会员购买积分包购买API积分包
服务
文献检索文档翻译深度研究API 文档MCP 服务
关于我们
关于 Suppr公司介绍联系我们用户协议隐私条款
关注我们

Suppr 超能文献

核心技术专利:CN118964589B侵权必究
粤ICP备2023148730 号-1Suppr @ 2026

文献检索

告别复杂PubMed语法,用中文像聊天一样搜索,搜遍4000万医学文献。AI智能推荐,让科研检索更轻松。

立即免费搜索

文件翻译

保留排版,准确专业,支持PDF/Word/PPT等文件格式,支持 12+语言互译。

免费翻译文档

深度研究

AI帮你快速写综述,25分钟生成高质量综述,智能提取关键信息,辅助科研写作。

立即免费体验

上颌面部区域留存大玻璃碎片达40多年。

Retained large glass fragments for over 40 years in the maxillofacial region.

作者信息

Na Woong Gyu, Lim Hyoseob, Koh Sung Hoon, Jung Sung Won

机构信息

Department of Plastic and Reconstructive Surgery, Hallym University Sacred Heart Hospital, Hallym University, Anyang, Korea.

出版信息

Arch Craniofac Surg. 2018 Mar;19(1):60-63. doi: 10.7181/acfs.2018.19.1.60. Epub 2018 Mar 20.

DOI:10.7181/acfs.2018.19.1.60
PMID:29609435
原文链接:https://pmc.ncbi.nlm.nih.gov/articles/PMC5894546/
Abstract

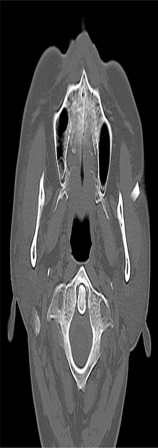
Foreign body (FB) impaction in the maxillofacial area could be caused by knives, glass fragments, and vegetative materials. We present the rare case of a 62-year-old man with a large glass FB in the left cheek retained for over 40 years. He had traffic accident over 40 years ago and glass fragments impacted on his left cheek. Glass fragments were retained around the zygomatic arch with dimpled scar and unclear serous discharge, but other facial motor or sensory dysfunction was not observed. We confirmed three glass fragments with radiologic examination including plain radiograph and computed tomographic image. Under general anesthesia, impacted glass fragments were removed through the direct incision on the dimpled scar and the additional incision on the left lateral canthal area. Remnant FBs were not seen on an intraoperative C-arm radiograph. After 2 days of irrigation for inflammation control, the dimpled wound was sutured. The wound was healed without major complication and the original dimpled scar was much improved.

摘要

异物(FB)嵌顿于颌面区域可由刀、玻璃碎片和植物性物质引起。我们报告一例罕见病例,一名62岁男性,左侧脸颊有一个大的玻璃异物,已留存40多年。40多年前他发生了交通事故,玻璃碎片嵌顿在他的左侧脸颊。玻璃碎片留存于颧弓周围,有酒窝状瘢痕且有不明浆液性分泌物,但未观察到其他面部运动或感觉功能障碍。我们通过包括X线平片和计算机断层扫描图像在内的放射学检查确认了三块玻璃碎片。在全身麻醉下,通过酒窝状瘢痕处的直接切口和左侧内眦区域的附加切口取出嵌顿的玻璃碎片。术中C形臂X线片未见残留异物。在进行2天的冲洗以控制炎症后,缝合酒窝状伤口。伤口愈合良好,无重大并发症,原来的酒窝状瘢痕明显改善。

https://cdn.ncbi.nlm.nih.gov/pmc/blobs/0d29/5894546/6406d418dcae/acfs-2018-19-1-60f6.jpg
https://cdn.ncbi.nlm.nih.gov/pmc/blobs/0d29/5894546/adc612a2cb52/acfs-2018-19-1-60f1.jpg
https://cdn.ncbi.nlm.nih.gov/pmc/blobs/0d29/5894546/01d7eff741e4/acfs-2018-19-1-60f2.jpg
https://cdn.ncbi.nlm.nih.gov/pmc/blobs/0d29/5894546/f985d6b617b3/acfs-2018-19-1-60f3.jpg
https://cdn.ncbi.nlm.nih.gov/pmc/blobs/0d29/5894546/23f87b473871/acfs-2018-19-1-60f4.jpg
https://cdn.ncbi.nlm.nih.gov/pmc/blobs/0d29/5894546/4d57303d26b0/acfs-2018-19-1-60f5.jpg
https://cdn.ncbi.nlm.nih.gov/pmc/blobs/0d29/5894546/6406d418dcae/acfs-2018-19-1-60f6.jpg
https://cdn.ncbi.nlm.nih.gov/pmc/blobs/0d29/5894546/adc612a2cb52/acfs-2018-19-1-60f1.jpg
https://cdn.ncbi.nlm.nih.gov/pmc/blobs/0d29/5894546/01d7eff741e4/acfs-2018-19-1-60f2.jpg
https://cdn.ncbi.nlm.nih.gov/pmc/blobs/0d29/5894546/f985d6b617b3/acfs-2018-19-1-60f3.jpg
https://cdn.ncbi.nlm.nih.gov/pmc/blobs/0d29/5894546/23f87b473871/acfs-2018-19-1-60f4.jpg
https://cdn.ncbi.nlm.nih.gov/pmc/blobs/0d29/5894546/4d57303d26b0/acfs-2018-19-1-60f5.jpg
https://cdn.ncbi.nlm.nih.gov/pmc/blobs/0d29/5894546/6406d418dcae/acfs-2018-19-1-60f6.jpg

相似文献

1
Retained large glass fragments for over 40 years in the maxillofacial region.上颌面部区域留存大玻璃碎片达40多年。
Arch Craniofac Surg. 2018 Mar;19(1):60-63. doi: 10.7181/acfs.2018.19.1.60. Epub 2018 Mar 20.
2
Retained glass foreign bodies in wounds: predictive value of wound characteristics, patient perception, and wound exploration.伤口内残留玻璃异物:伤口特征、患者感知及伤口探查的预测价值
Am J Emerg Med. 1998 Nov;16(7):627-30. doi: 10.1016/s0735-6757(98)90161-9.
3
One-stage femtolaser-assisted lamellar keratoplasty and foreign body removal.一期飞秒激光辅助板层角膜移植术及异物取出术。
Optom Vis Sci. 2015 Feb;92(2):e42-5. doi: 10.1097/OPX.0000000000000469.
4
Surgical Navigation Applied in Removal of Glass Located Under Zygomatic Arch.手术导航在颧弓下玻璃取出术中的应用
J Craniofac Surg. 2024;35(2):e183-e185. doi: 10.1097/SCS.0000000000009945. Epub 2024 Jan 29.
5
Glass foreign body in soft tissue: possibility of high morbidity due to delayed migration.软组织中的玻璃异物:因迁移延迟导致高发病率的可能性。
J Emerg Med. 2011 Dec;41(6):e125-8. doi: 10.1016/j.jemermed.2008.04.051. Epub 2008 Nov 26.
6
Three-dimensional printed model reconstruction in intraoperative use for glass penetrating facial tissue removal.用于术中玻璃穿透性面部组织切除的三维打印模型重建
Clin Case Rep. 2024 Aug 28;12(9):e9271. doi: 10.1002/ccr3.9271. eCollection 2024 Sep.
7
Orbital foreign body penetrating from the cheek.眼眶异物自面颊部穿入。
J Craniofac Surg. 2008 Mar;19(2):439-40. doi: 10.1097/SCS.0b013e318164a40c.
8
Mandibular symphyseal fracture simulated by a foreign body in the chin.由下巴中的异物模拟的下颌骨联合骨折。
J Craniofac Surg. 2012 Mar;23(2):e91-3. doi: 10.1097/SCS.0b013e318246839a.
9
[Transfixion of cervical cord by a glass fragment--report of a case (author's transl)].玻璃碎片刺入颈髓——1例报告(作者译)
No Shinkei Geka. 1976 Aug;4(8):799-803.
10
[A rare case of airway foreign bodies complicated with flail chest following traffic accident].[1例交通事故后气道异物合并连枷胸的罕见病例]
Kyobu Geka. 1990 Aug;43(9):761-2.

引用本文的文献

1
Residual foreign body inflammation caused by a lumber beam penetrating the facial region: a case report.木梁穿透面部区域引起的残留异物炎症:一例报告
Arch Craniofac Surg. 2023 Feb;24(1):37-40. doi: 10.7181/acfs.2022.01018. Epub 2023 Feb 20.

本文引用的文献

1
Comparison of Ultrasonography, Magnetic Resonance Imaging and Cone Beam Computed Tomography for Detection of Foreign Bodies in Maxillofacial Region.超声、磁共振成像和锥形束计算机断层扫描在颌面部异物检测中的比较
J Clin Diagn Res. 2017 Apr;11(4):TC15-TC19. doi: 10.7860/JCDR/2017/24523.9736. Epub 2017 Apr 1.
2
EXPERIENCE WITH IMPACTED FOREIGN BODIES IN THE MAXILLOFACIAL REGION AT A NIGERIAN TEACHING HOSPITAL.尼日利亚一家教学医院颌面部区域异物嵌顿的经验
J West Afr Coll Surg. 2015 Jul-Sep;5(3):1-15.
3
Foreign body resulting in chronic otomastoiditis and facial palsy.
导致慢性耳乳突炎和面神经麻痹的异物。
Int J Pediatr Otorhinolaryngol. 2015 Feb;79(2):259-61. doi: 10.1016/j.ijporl.2014.11.018. Epub 2014 Nov 24.
4
Glass particle injury to the maxillofacial region.玻璃颗粒对颌面部区域的损伤。
J Craniofac Surg. 2013 Nov;24(6):1935-9. doi: 10.1097/SCS.0b013e3182a41b47.
5
Cutaneous fistula due to remaining foreign bodies after penetrating neck injury.穿透性颈部损伤后因异物残留导致的皮肤瘘
BMJ Case Rep. 2013 Oct 4;2013:bcr2013201278. doi: 10.1136/bcr-2013-201278.
6
Current approach in the management of patients with foreign bodies in the maxillofacial region.颌面部区域异物患者的当前管理方法。
J Oral Maxillofac Surg. 2011 Sep;69(9):2376-82. doi: 10.1016/j.joms.2010.10.038. Epub 2011 Mar 3.
7
A rare case of a glass fragment impacted in the parapharyngeal space associated with neurovascular compromise.罕见病例:玻璃碎片嵌顿咽旁间隙并导致神经血管受压。
Int J Oral Maxillofac Surg. 2011 Feb;40(2):209-11. doi: 10.1016/j.ijom.2010.07.009.
8
Glass foreign body in soft tissue: possibility of high morbidity due to delayed migration.软组织中的玻璃异物:因迁移延迟导致高发病率的可能性。
J Emerg Med. 2011 Dec;41(6):e125-8. doi: 10.1016/j.jemermed.2008.04.051. Epub 2008 Nov 26.