Suppr超能文献

二尖瓣下左心室室壁瘤合并血栓形成

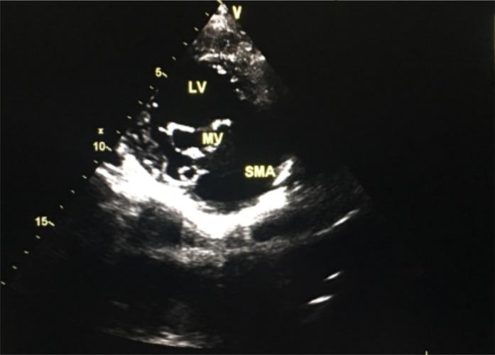
Submitral Left Ventricular Aneurysm Associated with Thrombus.

作者信息

Abdusamed Abdusamed Adem, Mulatu Hailu Abera, Martinez Reinaldo Nunez

机构信息

Cardiology Unit, St Paul's Hospital Millennium Medical College, Addis Ababa, Ethiopia.

Cardiology Unit, Ciro Redondo Garcia Hospital, Artemisa. Cuba.

出版信息

Ethiop J Health Sci. 2018 Jan;28(1):93-96. doi: 10.4314/ejhs.v28i1.11.

Abstract

BACKGROUND

Submitral left ventricular aneurysm is a rarely reported cardiac abnormality that is encountered commonly among blacks. So far, only one case has been reported from Ethiopia and East Africa.Our aim is to report an interesting and rare case that we encountered at St. Paul's Hospital Millennium Medical College.

METHODS

In April 2017, a 25-year-old patient havingsubmitral left ventricular aneurysm with New York Heart Association (NYHA) class IV heart failure and mild left ventricular systolic dysfunctionreceived medical treatment at our institution. She had severe mitral regurgitation and aneurysmal thrombus. The diagnosis was easily made using GE Vivid E9 transthoracic echocardiography. She was given drugs for management of heart failure and anticoagulation.

RESULTS

Our patient was discharged with a stable condition, and she had no early mortality. At 3 months' follow-up,shehad clinical improvement with NYHA class II heart failure, slight improvement of left ventricular systolic function, and resolution of the left ventricular thrombus. However, there waspersistent severe mitral regurgitation and aneurysm.

CONCLUSION

Submitral left ventricular aneurysm is a rare cardiac abnormality. Diagnosis can be easily made with echocardiography. Surgery is the definitive treatment. However, it is not currently available in the country and patients cannot afford treatment abroad.

摘要

背景

二尖瓣下左心室动脉瘤是一种罕见的心脏异常,常见于黑人。到目前为止,埃塞俄比亚和东非仅报道过一例。我们的目的是报告我们在圣保罗医院千年医学院遇到的一例有趣且罕见的病例。

方法

2017年4月,一名患有二尖瓣下左心室动脉瘤、纽约心脏协会(NYHA)IV级心力衰竭和轻度左心室收缩功能障碍的25岁患者在我们机构接受治疗。她有严重的二尖瓣反流和动脉瘤性血栓。使用GE Vivid E9经胸超声心动图很容易做出诊断。她接受了治疗心力衰竭和抗凝的药物。

结果

我们的患者出院时病情稳定,无早期死亡。在3个月的随访中,她的临床症状有所改善,NYHA II级心力衰竭,左心室收缩功能略有改善,左心室血栓消失。然而,仍存在持续的严重二尖瓣反流和动脉瘤。

结论

二尖瓣下左心室动脉瘤是一种罕见的心脏异常。超声心动图可轻松做出诊断。手术是确定性治疗方法。然而,该国目前无法进行手术,患者也负担不起国外的治疗费用。

https://cdn.ncbi.nlm.nih.gov/pmc/blobs/aa26/5866293/d45cb4442f09/EJHS2801-0093Fig1.jpg

文献检索

告别复杂PubMed语法,用中文像聊天一样搜索,搜遍4000万医学文献。AI智能推荐,让科研检索更轻松。

立即免费搜索

文件翻译

保留排版,准确专业,支持PDF/Word/PPT等文件格式,支持 12+语言互译。

免费翻译文档

深度研究

AI帮你快速写综述,25分钟生成高质量综述,智能提取关键信息,辅助科研写作。

立即免费体验