• 文献检索
  • 文档翻译
  • 深度研究
  • 学术资讯
  • Suppr Zotero 插件Zotero 插件
  • 邀请有礼
  • 套餐&价格
  • 历史记录
应用&插件
Suppr Zotero 插件Zotero 插件浏览器插件Mac 客户端Windows 客户端微信小程序
定价
高级版会员购买积分包购买API积分包
服务
文献检索文档翻译深度研究API 文档MCP 服务
关于我们
关于 Suppr公司介绍联系我们用户协议隐私条款
关注我们

Suppr 超能文献

核心技术专利:CN118964589B侵权必究
粤ICP备2023148730 号-1Suppr @ 2026

文献检索

告别复杂PubMed语法,用中文像聊天一样搜索,搜遍4000万医学文献。AI智能推荐,让科研检索更轻松。

立即免费搜索

文件翻译

保留排版,准确专业,支持PDF/Word/PPT等文件格式,支持 12+语言互译。

免费翻译文档

深度研究

AI帮你快速写综述,25分钟生成高质量综述,智能提取关键信息,辅助科研写作。

立即免费体验

水溶性聚合物辅助N-甲基-D-天冬氨酸受体2B小干扰RNA递送以减轻体内外慢性炎性疼痛

Water-Soluble Polymer Assists -Methyl-D-Aspartic Acid Receptor 2B siRNA Delivery to Relieve Chronic Inflammatory Pain In Vitro and In Vivo.

作者信息

Peng Jie, Ma Jiahui, Yang Xue, He Huan, Wu Haopeng, Ma Tongtong, Lu Jianhua

机构信息

Department of Anesthesiology, Guangzhou General Hospital of Guangzhou Military Command of Chinese PLA, Guangzhou 510010, Guangdong, China.

Department of Anesthesiology, Second Affiliated Hospital, Guangzhou University of TCM, Guangzhou 510120, Guangdong, China.

出版信息

Pain Res Manag. 2018 Jan 14;2018:7436060. doi: 10.1155/2018/7436060. eCollection 2018.

DOI:10.1155/2018/7436060
PMID:29623145
原文链接:https://pmc.ncbi.nlm.nih.gov/articles/PMC5829431/
Abstract

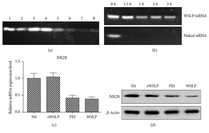
We constructed a water-soluble lipopolymer (WSLP) as a nonviral gene carrier to deliver siRNA targeting NR2B. The cytotoxicity and serum stability of WSLP loaded with siRNA were evaluated, and the knockdown efficiency of WSLP/NR2B-siRNA in PC12 cells was examined. The results showed that WSLP could protect the loading siRNAs from enzymatic degradation in serum and exhibit low cytotoxicity to cells. After transfection, WSLP/NR2B-siRNA complexes reduced the NR2B transcriptional level by 50% and protein level by 55% compared to control siRNA. Moreover, 3 days after intrathecal injection of WSLP/NR2B-siRNA complexes into rats, the NR2B protein expression decreased significantly to 58%, compared to control treatment ( < 0.01). Injection of WSLP with scrambled siRNA or of polyethylenimine (PEI) with NR2B-siRNA did not show this inhibitory effect. Additionally, injection of WSLP/NR2B-siRNA complexes significantly relieved inflammatory pain in rats at 3, 4, and 5 days with reduced MWT and decreased TWL scores, while injection of WSLP with scrambled siRNA or of PEI with NR2B-siRNA did not. These results demonstrated that WSLP can efficiently deliver siRNA targeting NR2B to PC12 cells and relieve pain in rats with chronic inflammatory pain.

摘要

我们构建了一种水溶性脂质聚合物(WSLP)作为非病毒基因载体,用于递送靶向NR2B的小干扰RNA(siRNA)。评估了负载siRNA的WSLP的细胞毒性和血清稳定性,并检测了WSLP/NR2B-siRNA在PC12细胞中的敲低效率。结果表明,WSLP可以保护负载的siRNA在血清中不被酶降解,并且对细胞表现出低细胞毒性。转染后,与对照siRNA相比,WSLP/NR2B-siRNA复合物使NR2B转录水平降低了50%,蛋白质水平降低了55%。此外,将WSLP/NR2B-siRNA复合物鞘内注射到大鼠体内3天后,与对照处理相比,NR2B蛋白表达显著下降至58%(P<0.01)。注射携带乱序siRNA的WSLP或携带NR2B-siRNA的聚乙烯亚胺(PEI)均未显示出这种抑制作用。此外,注射WSLP/NR2B-siRNA复合物在第3、4和5天显著减轻了大鼠的炎性疼痛,机械缩足阈值(MWT)降低,热缩足潜伏期(TWL)评分下降,而注射携带乱序siRNA的WSLP或携带NR2B-siRNA的PEI则没有这种效果。这些结果表明,WSLP可以有效地将靶向NR2B的siRNA递送至PC12细胞,并减轻慢性炎性疼痛大鼠的疼痛。

https://cdn.ncbi.nlm.nih.gov/pmc/blobs/a454/5829431/be0fd1897570/PRM2018-7436060.004.jpg
https://cdn.ncbi.nlm.nih.gov/pmc/blobs/a454/5829431/be102d1bd94f/PRM2018-7436060.001.jpg
https://cdn.ncbi.nlm.nih.gov/pmc/blobs/a454/5829431/6ed6f85a6116/PRM2018-7436060.002.jpg
https://cdn.ncbi.nlm.nih.gov/pmc/blobs/a454/5829431/4dcb5438b688/PRM2018-7436060.003.jpg
https://cdn.ncbi.nlm.nih.gov/pmc/blobs/a454/5829431/be0fd1897570/PRM2018-7436060.004.jpg
https://cdn.ncbi.nlm.nih.gov/pmc/blobs/a454/5829431/be102d1bd94f/PRM2018-7436060.001.jpg
https://cdn.ncbi.nlm.nih.gov/pmc/blobs/a454/5829431/6ed6f85a6116/PRM2018-7436060.002.jpg
https://cdn.ncbi.nlm.nih.gov/pmc/blobs/a454/5829431/4dcb5438b688/PRM2018-7436060.003.jpg
https://cdn.ncbi.nlm.nih.gov/pmc/blobs/a454/5829431/be0fd1897570/PRM2018-7436060.004.jpg

相似文献

1
Water-Soluble Polymer Assists -Methyl-D-Aspartic Acid Receptor 2B siRNA Delivery to Relieve Chronic Inflammatory Pain In Vitro and In Vivo.水溶性聚合物辅助N-甲基-D-天冬氨酸受体2B小干扰RNA递送以减轻体内外慢性炎性疼痛
Pain Res Manag. 2018 Jan 14;2018:7436060. doi: 10.1155/2018/7436060. eCollection 2018.
2
Efficient siRNA delivery using water soluble lipopolymer for anti-angiogenic gene therapy.使用水溶性脂质聚合物进行高效小干扰RNA递送用于抗血管生成基因治疗。
J Control Release. 2007 Apr 23;118(3):357-63. doi: 10.1016/j.jconrel.2006.12.026. Epub 2007 Jan 9.
3
Gene knockdown of the N-methyl-D-aspartate receptor NR1 subunit with subcutaneous small interfering RNA reduces inflammation-induced nociception in rats.皮下注射小干扰 RNA 敲低 N-甲基-D-天冬氨酸受体 NR1 亚基可减轻大鼠炎症性疼痛。
Anesthesiology. 2010 Jun;112(6):1482-93. doi: 10.1097/ALN.0b013e3181d69494.
4
Gene knockdown with intrathecal siRNA of NMDA receptor NR2B subunit reduces formalin-induced nociception in the rat.鞘内注射NMDA受体NR2B亚基的小干扰RNA(siRNA)导致基因敲低,可减轻福尔马林诱导的大鼠伤害感受。
Gene Ther. 2005 Jan;12(1):59-66. doi: 10.1038/sj.gt.3302376.
5
Role of the spinal cord NR2B-containing NMDA receptors in the development of neuropathic pain.脊髓中含NR2B的N-甲基-D-天冬氨酸受体在神经性疼痛发展中的作用。
Exp Neurol. 2009 Feb;215(2):298-307. doi: 10.1016/j.expneurol.2008.10.018. Epub 2008 Nov 12.
6
Intratumoral delivery of p2CMVmIL-12 using water-soluble lipopolymers.使用水溶性脂聚合物进行瘤内递送p2CMVmIL-12。
Mol Ther. 2001 Aug;4(2):130-8. doi: 10.1006/mthe.2001.0425.
7
Contribution of the spinal cord BDNF to the development of neuropathic pain by activation of the NR2B-containing NMDA receptors in rats with spinal nerve ligation.脊髓源性神经营养因子通过激活脊神经结扎大鼠 NMDA 受体 NR2B 亚基对神经病理性疼痛的作用。
Exp Neurol. 2010 Apr;222(2):256-66. doi: 10.1016/j.expneurol.2010.01.003. Epub 2010 Jan 14.
8
Intrathecal baclofen, a GABAB receptor agonist, inhibits the expression of p-CREB and NR2B in the spinal dorsal horn in rats with diabetic neuropathic pain.鞘内注射巴氯芬,一种GABAB受体激动剂,可抑制糖尿病性神经病理性疼痛大鼠脊髓背角中p-CREB和NR2B的表达。
Can J Physiol Pharmacol. 2014 Aug;92(8):655-60. doi: 10.1139/cjpp-2013-0463. Epub 2014 Jul 2.
9
Interleukin-1 receptor type 1 is overexpressed in neurons but not in glial cells within the rat superficial spinal dorsal horn in complete Freund adjuvant-induced inflammatory pain.在完全弗氏佐剂诱导的炎性疼痛中,大鼠脊髓背角浅层的神经元中白细胞介素-1受体1型过度表达,而胶质细胞中则未过度表达。
J Neuroinflammation. 2017 Jun 23;14(1):125. doi: 10.1186/s12974-017-0902-x.
10
Gene silencing of NR2B-containing NMDA receptor by intrathecal injection of short hairpin RNA reduces formalin-induced nociception in C57BL/6 mouse.鞘内注射短发夹 RNA 沉默 NMDA 受体 NR2B 亚单位减少 C57BL/6 小鼠福尔马林诱导的疼痛。
Int J Neurosci. 2013 Sep;123(9):650-6. doi: 10.3109/00207454.2013.789873. Epub 2013 May 9.

引用本文的文献

1
Role of ncRNAs in the Development of Chronic Pain.非编码RNA在慢性疼痛发生发展中的作用
Noncoding RNA. 2025 Jul 3;11(4):51. doi: 10.3390/ncrna11040051.
2
NFAT5 Deficiency Alleviates Formalin-Induced Inflammatory Pain Through mTOR.NFAT5 通过 mTOR 减轻福尔马林诱导的炎性疼痛。
Int J Mol Sci. 2021 Mar 4;22(5):2587. doi: 10.3390/ijms22052587.

本文引用的文献

1
A biodistribution study of solid lipid-polyethyleneimine hybrid nanocarrier for cancer RNAi therapy.用于癌症RNA干扰治疗的固体脂质-聚乙烯亚胺杂化纳米载体的生物分布研究。
Eur J Pharm Biopharm. 2016 Nov;108:68-75. doi: 10.1016/j.ejpb.2016.08.014. Epub 2016 Aug 26.
2
Small interfering RNA delivery into the liver by cationic cholesterol derivative-based liposomes.阳离子胆固醇衍生物脂质体介导的小干扰 RNA 递送至肝脏。
J Liposome Res. 2017 Dec;27(4):264-273. doi: 10.1080/08982104.2016.1205599. Epub 2016 Jul 21.
3
Intrathecal gene therapy rescues a model of demyelinating peripheral neuropathy.
鞘内基因治疗挽救了一种脱髓鞘性周围神经病模型。
Proc Natl Acad Sci U S A. 2016 Apr 26;113(17):E2421-9. doi: 10.1073/pnas.1522202113. Epub 2016 Mar 28.
4
Intrathecal injection of phosphodiesterase 4B-specific siRNA attenuates neuropathic pain in rats with L5 spinal nerve ligation.鞘内注射磷酸二酯酶4B特异性小干扰RNA可减轻L5脊髓神经结扎大鼠的神经性疼痛。
Mol Med Rep. 2016 Feb;13(2):1914-22. doi: 10.3892/mmr.2015.4713. Epub 2015 Dec 23.
5
Quaternized starch-based carrier for siRNA delivery: from cellular uptake to gene silencing.季铵化淀粉基载体用于 siRNA 的递送:从细胞摄取到基因沉默。
J Control Release. 2014 Jul 10;185:109-20. doi: 10.1016/j.jconrel.2014.04.031. Epub 2014 Apr 29.
6
Total protein quantitation using the bicinchoninic acid assay and gradient elution moving boundary electrophoresis.使用二辛可宁酸测定法和梯度洗脱移动界面电泳进行总蛋白定量。
Electrophoresis. 2014 Jul;35(12-13):1887-92. doi: 10.1002/elps.201400025. Epub 2014 May 12.
7
Storage stability of optimal liposome-polyethylenimine complexes (lipopolyplexes) for DNA or siRNA delivery.最佳脂质体-聚乙烯亚胺复合物(脂质体)用于 DNA 或 siRNA 递送的储存稳定性。
Acta Biomater. 2014 Jun;10(6):2663-73. doi: 10.1016/j.actbio.2014.02.037. Epub 2014 Mar 1.
8
Gene silencing of NR2B-containing NMDA receptor by intrathecal injection of short hairpin RNA reduces formalin-induced nociception in C57BL/6 mouse.鞘内注射短发夹 RNA 沉默 NMDA 受体 NR2B 亚单位减少 C57BL/6 小鼠福尔马林诱导的疼痛。
Int J Neurosci. 2013 Sep;123(9):650-6. doi: 10.3109/00207454.2013.789873. Epub 2013 May 9.
9
Efficient siRNA delivery using a polyamidoamine dendrimer with a modified pentaerythritol core.使用具有改良季戊四醇核心的聚酰胺-胺树枝状聚合物进行有效的 siRNA 传递。
Pharm Res. 2012 Jun;29(6):1627-1636. doi: 10.1007/s11095-012-0676-x. Epub 2012 Jan 25.
10
A new definition of neuropathic pain.神经性疼痛的新定义。
Pain. 2011 Oct;152(10):2204-2205. doi: 10.1016/j.pain.2011.06.017. Epub 2011 Jul 18.