• 文献检索
  • 文档翻译
  • 深度研究
  • 学术资讯
  • Suppr Zotero 插件Zotero 插件
  • 邀请有礼
  • 套餐&价格
  • 历史记录
应用&插件
Suppr Zotero 插件Zotero 插件浏览器插件Mac 客户端Windows 客户端微信小程序
定价
高级版会员购买积分包购买API积分包
服务
文献检索文档翻译深度研究API 文档MCP 服务
关于我们
关于 Suppr公司介绍联系我们用户协议隐私条款
关注我们

Suppr 超能文献

核心技术专利:CN118964589B侵权必究
粤ICP备2023148730 号-1Suppr @ 2026

文献检索

告别复杂PubMed语法,用中文像聊天一样搜索,搜遍4000万医学文献。AI智能推荐,让科研检索更轻松。

立即免费搜索

文件翻译

保留排版,准确专业,支持PDF/Word/PPT等文件格式,支持 12+语言互译。

免费翻译文档

深度研究

AI帮你快速写综述,25分钟生成高质量综述,智能提取关键信息,辅助科研写作。

立即免费体验

三尖瓣狭窄:室间隔封堵器一种罕见且潜在的并发症。

Tricuspid stenosis: A rare and potential complication of ventricular septal occluder device.

作者信息

Munirathinam Ganesh Kumar, Kumar Bhupesh, Mishra Anand Kumar

机构信息

Department of Anesthesia and Intensive Care, Postgraduate Institute of Medical Education and Research, Chandigarh, India.

Department of Cardiothoracic and Vascular Surgery, Postgraduate Institute of Medical Education and Research, Chandigarh, India.

出版信息

Ann Card Anaesth. 2018 Apr-Jun;21(2):195-199. doi: 10.4103/aca.ACA_179_17.

DOI:10.4103/aca.ACA_179_17
PMID:29652285
原文链接:https://pmc.ncbi.nlm.nih.gov/articles/PMC5914224/
Abstract

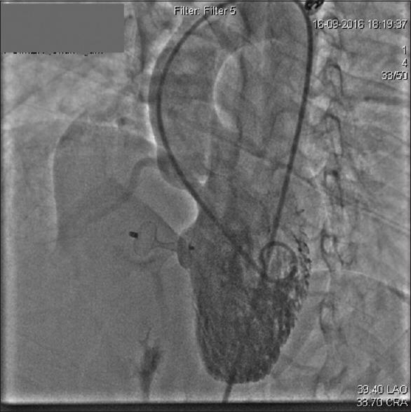
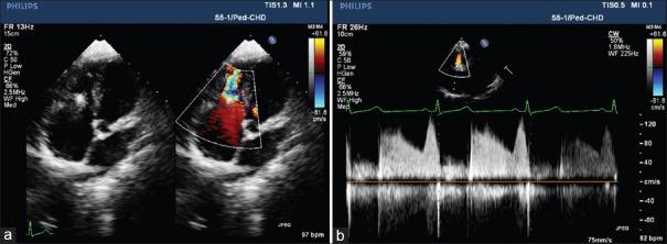
Asymmetrical septal occluder device (ASOD) has made percutaneous closure of ventricular septal defect an easy and effective management option. Although there are reports of aortic and tricuspid valvular regurgitation after deployment of ASOD, only few cases of tricuspid stenosis (TS) has been reported so far in the literature. We report a case of malaligned ASOD that occurred after successful device closure resulting in TS along with mild tricuspid and aortic regurgitation requiring surgical retrieval. Transesophageal echocardiography played crucial role in detecting the cause of tricuspid valve dysfunction besides providing continuous monitoring during the procedure. We intend to emphasize the need of echocardiographic evaluation of the tricuspid valvular apparatus and aortic valve during and after the device deployment even after the successful device closure to prevent this rare complication.

摘要

不对称性室间隔封堵器(ASOD)使经皮闭合室间隔缺损成为一种简便有效的治疗选择。尽管有报道称ASOD植入后出现主动脉瓣和三尖瓣反流,但迄今为止,文献中仅报道了少数三尖瓣狭窄(TS)病例。我们报告一例在成功进行封堵器闭合术后发生的ASOD位置不当病例,导致TS以及轻度三尖瓣和主动脉瓣反流,需要通过手术取出封堵器。经食管超声心动图除了在手术过程中提供持续监测外,在检测三尖瓣功能障碍的原因方面发挥了关键作用。我们旨在强调,即使封堵器成功闭合,在封堵器植入期间及之后,也需要对三尖瓣装置和主动脉瓣进行超声心动图评估,以预防这种罕见的并发症。

https://cdn.ncbi.nlm.nih.gov/pmc/blobs/8538/5914224/32f2f46bb495/ACA-21-195-g005.jpg
https://cdn.ncbi.nlm.nih.gov/pmc/blobs/8538/5914224/ff1d30b9e400/ACA-21-195-g001.jpg
https://cdn.ncbi.nlm.nih.gov/pmc/blobs/8538/5914224/226e11d27cf3/ACA-21-195-g002.jpg
https://cdn.ncbi.nlm.nih.gov/pmc/blobs/8538/5914224/3f91c15794dc/ACA-21-195-g003.jpg
https://cdn.ncbi.nlm.nih.gov/pmc/blobs/8538/5914224/17817c6ed74a/ACA-21-195-g004.jpg
https://cdn.ncbi.nlm.nih.gov/pmc/blobs/8538/5914224/32f2f46bb495/ACA-21-195-g005.jpg
https://cdn.ncbi.nlm.nih.gov/pmc/blobs/8538/5914224/ff1d30b9e400/ACA-21-195-g001.jpg
https://cdn.ncbi.nlm.nih.gov/pmc/blobs/8538/5914224/226e11d27cf3/ACA-21-195-g002.jpg
https://cdn.ncbi.nlm.nih.gov/pmc/blobs/8538/5914224/3f91c15794dc/ACA-21-195-g003.jpg
https://cdn.ncbi.nlm.nih.gov/pmc/blobs/8538/5914224/17817c6ed74a/ACA-21-195-g004.jpg
https://cdn.ncbi.nlm.nih.gov/pmc/blobs/8538/5914224/32f2f46bb495/ACA-21-195-g005.jpg

相似文献

1
Tricuspid stenosis: A rare and potential complication of ventricular septal occluder device.三尖瓣狭窄:室间隔封堵器一种罕见且潜在的并发症。
Ann Card Anaesth. 2018 Apr-Jun;21(2):195-199. doi: 10.4103/aca.ACA_179_17.
2
Neo-cusp Reconstruction Procedure for Aortic Regurgitation Induced by Transcatheter Occluder Device for Ventricular Septal Defect Closure.经导管封堵室间隔缺损封堵器致主动脉瓣反流的 Neo-cusp 重建术。
World J Pediatr Congenit Heart Surg. 2022 Jul;13(4):495-498. doi: 10.1177/21501351221104419.
3
Aortic regurgitation after closure of ventricular septal defect by transcatheter device: the long-term complication.经导管封堵室间隔缺损后主动脉瓣反流:远期并发症。
Cardiol Young. 2020 Apr;30(4):577-579. doi: 10.1017/S1047951120000414. Epub 2020 Feb 27.
4
Application value of echocardiography in transthoracic punctural closure of postoperative residual ventricular septal defect of congenital heart disease.超声心动图在经胸穿刺闭合先天性心脏病术后残余室间隔缺损中的应用价值。
Zhong Nan Da Xue Xue Bao Yi Xue Ban. 2021 Dec 28;46(12):1380-1385. doi: 10.11817/j.issn.1672-7347.2021.200660.
5
Medium to long-term echo follow-up after ventricular septal defect device closure.室间隔缺损封堵器关闭术后的中长期超声心动图随访
Asian Cardiovasc Thorac Ann. 2016 Jun;24(5):422-7. doi: 10.1177/0218492316645746. Epub 2016 Apr 25.
6
Application of transesophageal echocardiography in minimally invasive surgical closure of ventricular septal defects.经食管超声心动图在室间隔缺损微创外科封堵术中的应用
Tex Heart Inst J. 2012;39(2):211-4.
7
Perventricular closure of perimembranous ventricular septal defects using the concentric occluder device.使用同心封堵器经室周途径封堵膜周部室间隔缺损
Pediatr Cardiol. 2014 Apr;35(4):580-6. doi: 10.1007/s00246-013-0823-0. Epub 2013 Nov 7.
8
Percutaneous ventricular septal defect closure with Amplatzer devices resulting in severe tricuspid regurgitation.使用Amplatzer装置经皮闭合室间隔缺损导致严重三尖瓣反流。
Catheter Cardiovasc Interv. 2013 Nov 15;82(6):E817-20. doi: 10.1002/ccd.24803. Epub 2013 Jul 1.
9
Displacement of occluder as a rare complication of transcatheter closure of ventricular septal defect: A case report.封堵器移位作为室间隔缺损经导管封堵术的罕见并发症:一例报告
Medicine (Baltimore). 2018 Jul;97(27):e11327. doi: 10.1097/MD.0000000000011327.
10
Hybrid Transthoracic Periventricular Device Closure of Ventricular Septal Defects: Single- Center Experience.杂交经胸室间隔缺损经皮封堵术:单中心经验。
Braz J Cardiovasc Surg. 2021 Feb 1;36(1):48-56. doi: 10.21470/1678-9741-2020-0115.

本文引用的文献

1
Severe tricuspid stenosis during percutaneous occlusion of perimembranous ventricular septal defect with the new Amplatzer device.
Congenit Heart Dis. 2006 Sep;1(5):239-43. doi: 10.1111/j.1747-0803.2006.00042.x.
2
Device fracture and severe tricuspid regurgitation after percutaneous closure of perimembranous ventricular septal defect: a case report.经皮膜周部室间隔缺损封堵术后器械断裂并严重三尖瓣反流:一例报告
Catheter Cardiovasc Interv. 2007 Nov 1;70(5):749-53. doi: 10.1002/ccd.21198.
3
Ventricular septal defects.室间隔缺损
Circulation. 2006 Nov 14;114(20):2190-7. doi: 10.1161/CIRCULATIONAHA.106.618124.
4
Percutaneous closure of ventricular septal defects in children aged <12: early and mid-term results.12岁以下儿童经皮封堵室间隔缺损:早期和中期结果
Eur Heart J. 2006 Dec;27(23):2889-95. doi: 10.1093/eurheartj/ehl340. Epub 2006 Oct 19.
5
Transcatheter closure of perimembranous ventricular septal defects using the amplatzer membranous VSD occluder: immediate and midterm results of an international registry.使用Amplatzer膜周部室间隔缺损封堵器经导管封堵膜周部室间隔缺损:一项国际注册研究的即刻和中期结果
Catheter Cardiovasc Interv. 2006 Oct;68(4):620-8. doi: 10.1002/ccd.20659.
6
Transcatheter closure of perimembranous ventricular septal defects using the new Amplatzer membranous VSD occluder: results of the U.S. phase I trial.使用新型Amplatzer膜周部室间隔缺损封堵器经导管封堵膜周部室间隔缺损:美国I期试验结果
J Am Coll Cardiol. 2006 Jan 17;47(2):319-25. doi: 10.1016/j.jacc.2005.09.028.
7
Transcatheter closure of congenital ventricular septal defect with Amplatzer septal occluders.经导管使用Amplatzer室间隔封堵器闭合先天性室间隔缺损
Am J Cardiol. 2005 Dec 19;96(12A):52L-58L. doi: 10.1016/j.amjcard.2005.09.068. Epub 2005 Nov 2.
8
Percutaneous closure of perimembranous ventricular septal defects with the eccentric Amplatzer device: multicenter follow-up study.
Pediatr Cardiol. 2005 May-Jun;26(3):216-9. doi: 10.1007/s00246-005-1003-7.
9
Transcatheter closure of perimembranous ventricular septal defects.
Expert Rev Cardiovasc Ther. 2004 Mar;2(2):253-64. doi: 10.1586/14779072.2.2.253.
10
Percutaneous closure of perimembranous ventricular septal defects with the Amplatzer device: technical and morphological considerations.使用Amplatzer封堵器经皮闭合膜周部室间隔缺损:技术及形态学考量
Catheter Cardiovasc Interv. 2004 Mar;61(3):403-10. doi: 10.1002/ccd.10797.