Suppr超能文献

木村病罕见病例的详细影像学表现,特别提及扩散加权成像

Detailed Imaging Findings in a Rare Case of Kimura Disease, with Special Mention on Diffusion Weighted Imaging.

作者信息

Syed Moinullah, Bhattacharya Divya, Parida Bikash, Sharma Ashok

机构信息

Department of Radiodiagnosis, Byramjee Jeejeebhoy Government Medical College and Sassoon General Hospitals, Poona, Maharashtra, India.

出版信息

Pol J Radiol. 2017 Oct 20;82:607-611. doi: 10.12659/PJR.903021. eCollection 2017.

Abstract

BACKGROUND

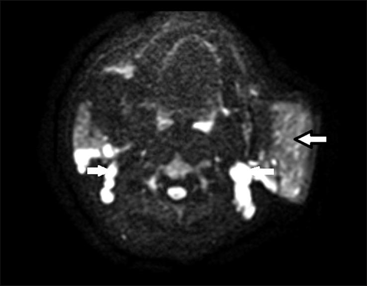
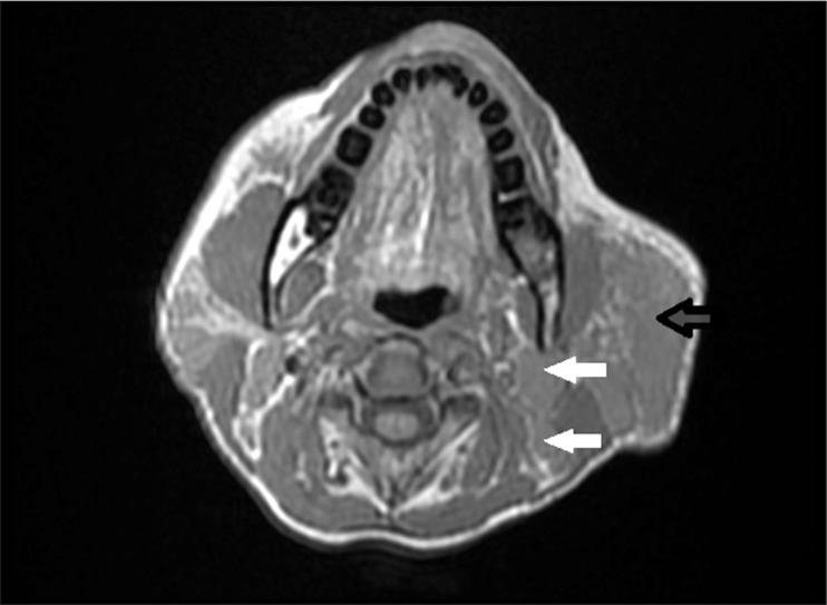
Kimura disease is an uncommon, benign, chronic, idiopathic disease that is seen mainly in the Asian population, particularly in females. It mainly affects the salivary glands and in particular parotid and cervical lymph nodes. So far, the diagnosis of Kimura disease has been based on histopathology. We hereby report of a confirmed case of Kimura disease and provide a detailed explanation of its imaging features with a special emphasis on diffusion-weighted imaging, as diffusion sequences may help distinguish Kimura disease from malignancy.

CASE REPORT

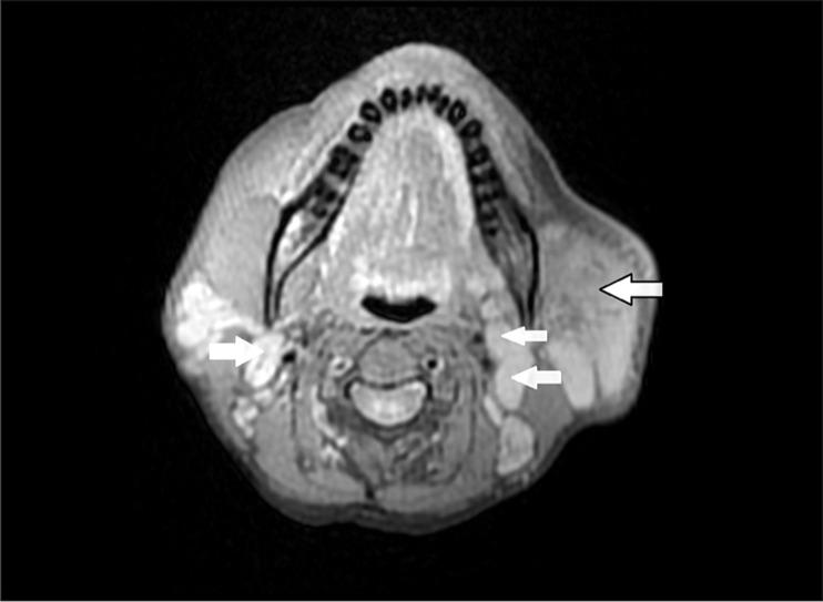
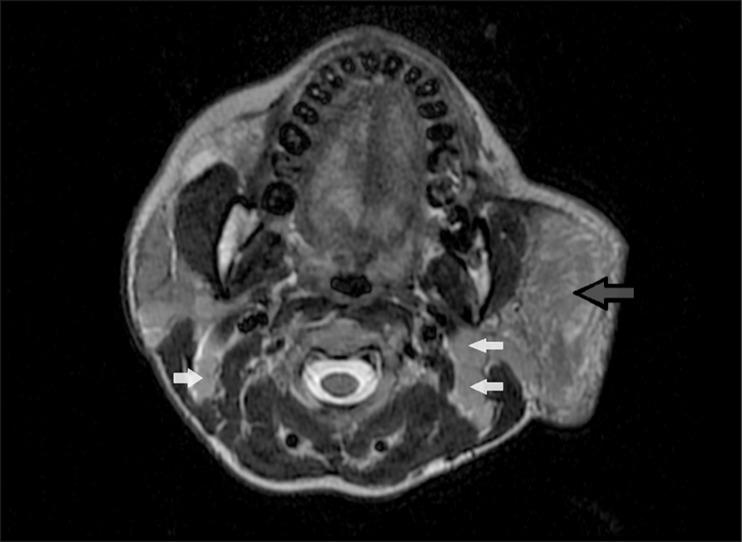
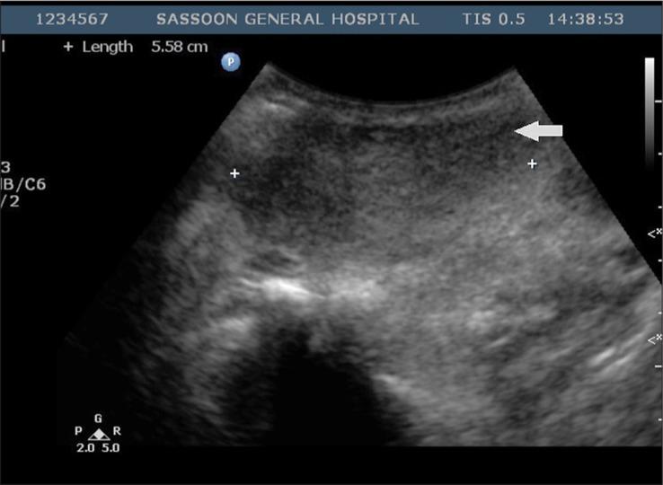
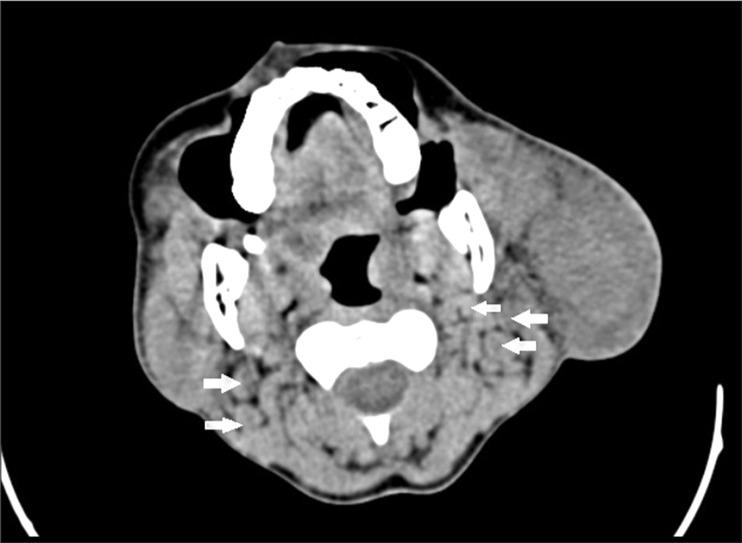
A middle-aged female patient presenting with a history of multiple chronic neck swellings was thoroughly evaluated by ultrasound (US), computed tomography (CT), and magnetic resonance imaging (MRI). The imaging findings included gross enlargement of the left parotid gland, a focal lesion in the right parotid gland, and cervical lymphadenopathy. These features correlated with histopathological findings, and the diagnosis of Kimura disease was made.

CONCLUSIONS

The imaging findings were found to be specific for Kimura disease.

摘要

背景

木村病是一种罕见的、良性的、慢性的、特发性疾病,主要见于亚洲人群,尤其是女性。它主要影响唾液腺,特别是腮腺和颈部淋巴结。到目前为止,木村病的诊断主要基于组织病理学。我们在此报告一例确诊的木村病病例,并详细解释其影像学特征,特别强调扩散加权成像,因为扩散序列可能有助于将木村病与恶性肿瘤区分开来。

病例报告

一名有多处慢性颈部肿胀病史的中年女性患者接受了超声(US)、计算机断层扫描(CT)和磁共振成像(MRI)的全面评估。影像学表现包括左侧腮腺明显肿大、右侧腮腺局灶性病变以及颈部淋巴结病。这些特征与组织病理学结果相关,从而做出了木村病的诊断。

结论

发现影像学表现对木村病具有特异性。

https://cdn.ncbi.nlm.nih.gov/pmc/blobs/6faf/5894045/14da350fd80b/PJR-82-903021-g001.jpg

文献检索

告别复杂PubMed语法,用中文像聊天一样搜索,搜遍4000万医学文献。AI智能推荐,让科研检索更轻松。

立即免费搜索

文件翻译

保留排版,准确专业,支持PDF/Word/PPT等文件格式,支持 12+语言互译。

免费翻译文档

深度研究

AI帮你快速写综述,25分钟生成高质量综述,智能提取关键信息,辅助科研写作。

立即免费体验