Suppr超能文献

Spontaneous common bile duct perforation-A rare clinical entity.

作者信息

Amberger Melissa, Burton Noelle, Tissera Gayanthia, Baltazar Gerard, Palmer Shani

机构信息

Department of Surgery, SBH Health System, Bronx, NY, USA; New York Institute of Technology College of Osteopathic Medicine, New York Institute of Technology, Old Westbury, NY, USA; Sophie Davis School of Biomedical Education, New York, NY, USA.

Department of Surgery, Montefiore New Rochelle, New Rochelle, NY, USA.

出版信息

Int J Surg Case Rep. 2018;46:34-37. doi: 10.1016/j.ijscr.2018.03.030. Epub 2018 Mar 26.

Abstract

INTRODUCTION

Spontaneous common bile duct perforation is an uncommon clinical entity in both adults and children. Few case reports have been published since the first clinical description in 1882. Our work has been reported in line with SCARE criteria.

PRESENTATION OF CASE

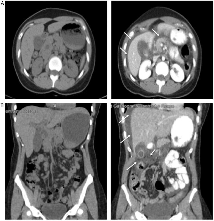
Herein, we describe the case of a 28 year-old female who suffered spontaneous common bile duct perforation while admitted for choledocholithiasis.

DISCUSSION

The perforation occurred while in-hospital, and extensive imaging and laboratory tests characterized the disease in detail. To our knowledge, this is the first report of spontaneous common bile duct perforation witnessed from pre-perforation through definitive management.

CONCLUSION

Physicians and Surgeons should seek out this uncommon diagnosis in the patient with suspected Choledocholithiasis who suddenly become peritoneal on physical exam so that definitive care can be expedited.

摘要
https://cdn.ncbi.nlm.nih.gov/pmc/blobs/03c4/6000772/d1f18f08aa3e/gr1.jpg

文献AI研究员

20分钟写一篇综述,助力文献阅读效率提升50倍。

立即体验

用中文搜PubMed

大模型驱动的PubMed中文搜索引擎

马上搜索

文档翻译

学术文献翻译模型,支持多种主流文档格式。

立即体验