Suppr超能文献

眶上神经静脉畸形(海绵状血管瘤)

Venous Malformation (Cavernous Hemangioma) of the Supraorbital Nerve.

作者信息

Kim Jung-Hoon, Choi Jin-Gyu, Son Byung-Chul

机构信息

Department of Neurosurgery, Seoul St. Mary's Hospital, College of Medicine, Catholic University of Korea, Seoul, Korea.

Catholic Neuroscience Institute, College of Medicine, Catholic University of Korea, Seoul, Korea.

出版信息

Asian J Neurosurg. 2018 Apr-Jun;13(2):499-502. doi: 10.4103/ajns.AJNS_166_16.

Abstract

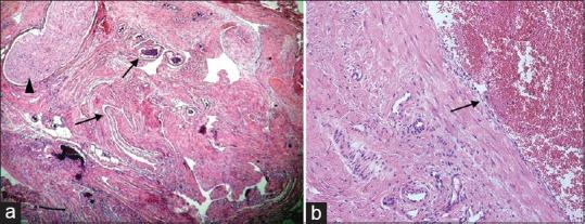
Cavernous hemangiomas are not true vascular tumors, but rather are slow-flow venous malformations (VMs). They are present at birth as nonproliferating vascular birthmarks composed of anomalous ectatic venous channels. VMs have often been incorrectly called cavernous hemangiomas and cavernous angiomas. These terms have for a long time lead to confusion with the more common proliferating or true hemangioma of infancy. VM has been reported to arise at all sites including skin and subcutaneous layers of the head and neck, face, extremities, liver, gastrointestinal tract, and even the thymus. Although VMs are common intraocular tumors and are involved within intracranial, extraaxial cranial nerves within the cavernous sinus has been sporadically reported, and less often in the supraorbital nerve, an extraocular and extracranial division of the trigeminal nerve has not been reported. The authors present an extremely rare occurrence of VM involving the supraorbital nerve in an 80-year-old female.

摘要

海绵状血管瘤并非真正的血管肿瘤,而是缓慢流动的静脉畸形(VMs)。它们在出生时就存在,是由异常扩张的静脉通道组成的非增殖性血管胎记。VMs常被错误地称为海绵状血管瘤和海绵状血管瘤。长期以来,这些术语导致了与更常见的婴儿增殖性或真正的血管瘤的混淆。据报道,VMs可发生于所有部位,包括头颈部、面部、四肢的皮肤和皮下层、肝脏、胃肠道,甚至胸腺。虽然VMs是常见的眼内肿瘤,且海绵窦内的颅内、轴外颅神经受累的情况已有零星报道,但在眶上神经(三叉神经的眼外和颅外分支)中较少见,尚未见相关报道。作者报告了一例80岁女性眶上神经受累的极其罕见的VMs病例。

https://cdn.ncbi.nlm.nih.gov/pmc/blobs/3e01/5898143/d194eb8b99ed/AJNS-13-499-g001.jpg

文献检索

告别复杂PubMed语法,用中文像聊天一样搜索,搜遍4000万医学文献。AI智能推荐,让科研检索更轻松。

立即免费搜索

文件翻译

保留排版,准确专业,支持PDF/Word/PPT等文件格式,支持 12+语言互译。

免费翻译文档

深度研究

AI帮你快速写综述,25分钟生成高质量综述,智能提取关键信息,辅助科研写作。

立即免费体验