• 文献检索
  • 文档翻译
  • 深度研究
  • 学术资讯
  • Suppr Zotero 插件Zotero 插件
  • 邀请有礼
  • 套餐&价格
  • 历史记录
应用&插件
Suppr Zotero 插件Zotero 插件浏览器插件Mac 客户端Windows 客户端微信小程序
定价
高级版会员购买积分包购买API积分包
服务
文献检索文档翻译深度研究API 文档MCP 服务
关于我们
关于 Suppr公司介绍联系我们用户协议隐私条款
关注我们

Suppr 超能文献

核心技术专利:CN118964589B侵权必究
粤ICP备2023148730 号-1Suppr @ 2026

文献检索

告别复杂PubMed语法,用中文像聊天一样搜索,搜遍4000万医学文献。AI智能推荐,让科研检索更轻松。

立即免费搜索

文件翻译

保留排版,准确专业,支持PDF/Word/PPT等文件格式,支持 12+语言互译。

免费翻译文档

深度研究

AI帮你快速写综述,25分钟生成高质量综述,智能提取关键信息,辅助科研写作。

立即免费体验

以成人起病的全身性肌张力障碍为主要表现的MEGDEL综合征

Adult-onset Generalized Dystonia as the Main Manifestation of MEGDEL Syndrome.

作者信息

Giron Camille, Roze Emmanuel, Degos Bertrand, Méneret Aurélie, Jardel Claude, Lannuzel Annie, Mochel Fanny

机构信息

AP-HP, Department of Neurology, La Pitié-Salpêtrière Hospital, Paris, France.

Sorbonne Universités, UPMC-Paris 6, UMR S 1127, ICM, Paris, France.

出版信息

Tremor Other Hyperkinet Mov (N Y). 2018 Apr 18;8:554. doi: 10.7916/D8VM5VBQ. eCollection 2018.

DOI:10.7916/D8VM5VBQ
PMID:29686941
原文链接:https://pmc.ncbi.nlm.nih.gov/articles/PMC5910540/
Abstract

BACKGROUND

MEGDEL syndrome (3-MethylGlutaconic aciduria, Deafness, Encephalopathy, Leigh-like syndrome) is a severe neurometabolic disease with infantile onset.

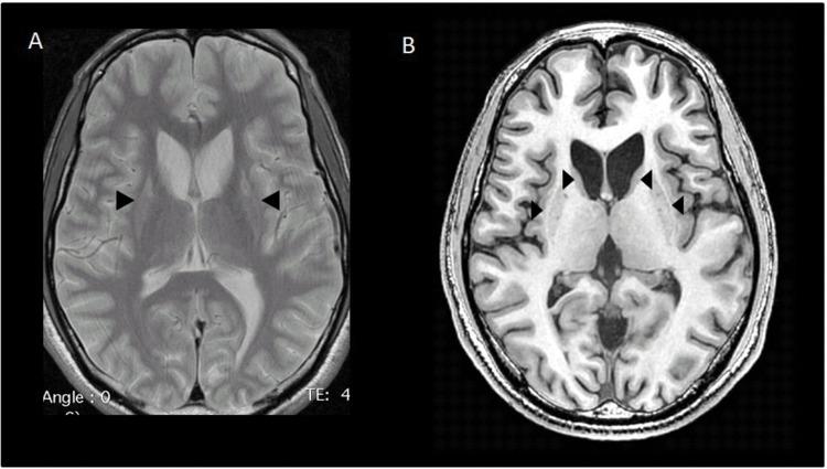
PHENOMENOLOGY SHOWN

Progressive and marked dystonia over a 6-year period in an adult male with MEGDEL syndrome.

EDUCATIONAL VALUE

Generalized dystonia may be the main manifestation of a milder form of MEGDEL syndrome, which begins during adulthood.

摘要

背景

MEGDEL综合征(3-甲基戊二酸尿症、耳聋、脑病、Leigh样综合征)是一种起病于婴儿期的严重神经代谢疾病。

表现出的现象

一名患有MEGDEL综合征的成年男性在6年时间里出现进行性且明显的肌张力障碍。

教育意义

全身性肌张力障碍可能是MEGDEL综合征较轻形式的主要表现,该形式始于成年期。

https://cdn.ncbi.nlm.nih.gov/pmc/blobs/34c5/5910540/b60943149b61/tre-08-554-7522-1-g001.jpg
https://cdn.ncbi.nlm.nih.gov/pmc/blobs/34c5/5910540/b60943149b61/tre-08-554-7522-1-g001.jpg
https://cdn.ncbi.nlm.nih.gov/pmc/blobs/34c5/5910540/b60943149b61/tre-08-554-7522-1-g001.jpg

相似文献

1
Adult-onset Generalized Dystonia as the Main Manifestation of MEGDEL Syndrome.以成人起病的全身性肌张力障碍为主要表现的MEGDEL综合征
Tremor Other Hyperkinet Mov (N Y). 2018 Apr 18;8:554. doi: 10.7916/D8VM5VBQ. eCollection 2018.
2
Infantile mitochondrial hepatopathy is a cardinal feature of MEGDEL syndrome (3-methylglutaconic aciduria type IV with sensorineural deafness, encephalopathy and Leigh-like syndrome) caused by novel mutations in SERAC1.婴儿型线粒体肝病变是 MEGDEL 综合征(3-甲基戊二酸尿症 IV 型伴感觉神经性耳聋、脑病和 Leigh 样综合征)的主要特征,该综合征由 SERAC1 的新型突变引起。
Am J Med Genet A. 2013 Sep;161A(9):2204-15. doi: 10.1002/ajmg.a.36059. Epub 2013 Aug 5.
3
Two Turkish siblings with MEGDEL syndrome due to novel SERAC1 gene mutation.两名因新型SERAC1基因突变而患有MEGDEL综合征的土耳其兄妹。
Turk J Pediatr. 2015 Jul-Aug;57(4):388-393.
4
MEGDEL Syndrome: Expanding the Phenotype and New Mutations.MEGDEL综合征:扩展表型与新突变
Neuropediatrics. 2017 Oct;48(5):382-384. doi: 10.1055/s-0037-1602833. Epub 2017 May 15.
5
Eyes on MEGDEL: distinctive basal ganglia involvement in dystonia deafness syndrome.聚焦MEGDEL:基底神经节在肌张力障碍耳聋综合征中有独特受累表现。
Neuropediatrics. 2015 Apr;46(2):98-103. doi: 10.1055/s-0034-1399755. Epub 2015 Feb 2.
6
Dystonia is a Common Phenotypic Feature of MEGDEL Syndrome.肌张力障碍是MEGDEL综合征的常见表型特征。
Tremor Other Hyperkinet Mov (N Y). 2018 May 29;8:568. doi: 10.7916/D8795MXR. eCollection 2018.
7
MEGDEL Syndrome.巨肠脑多指综合征。
Pediatr Neurol. 2020 Sep;110:25-29. doi: 10.1016/j.pediatrneurol.2020.03.009. Epub 2020 Jul 16.
8
Increased reactive oxygen species (ROS) production and low catalase level in fibroblasts of a girl with MEGDEL association (Leigh syndrome, deafness, 3-methylglutaconic aciduria).女孩成纤维细胞中活性氧(ROS)产生增加和过氧化氢酶水平降低与 MEGDEL 相关( Leigh 综合征,耳聋,3-甲基戊二酸尿症)。
Folia Neuropathol. 2011;49(1):56-63.
9
Transient neonatal renal failure and massive polyuria in MEGDEL syndrome.MEGDEL综合征中的短暂性新生儿肾衰竭和大量多尿
Mol Genet Metab Rep. 2016 Mar 10;7:8-10. doi: 10.1016/j.ymgmr.2016.03.001. eCollection 2016 Jun.
10
Incidental Finding of MEGDEL Syndrome Based on Neuroimaging: Case Report.基于神经影像学的MEGDEL综合征偶然发现:病例报告
Case Rep Neurol. 2021 Jun 28;13(2):429-433. doi: 10.1159/000516319. eCollection 2021 May-Aug.

引用本文的文献

1
Expanding the Epidemiological and Phenotypic Spectrum of MEGDEL Syndrome: The First Case Report From Egypt.扩大MEGDEL综合征的流行病学和表型谱:来自埃及的首例病例报告。
Clin Med Insights Pediatr. 2025 Aug 14;19:11795565251348345. doi: 10.1177/11795565251348345. eCollection 2025.
2
Atypical MEGDHEL Syndrome: A Milder Phenotype With Hepatic Presentation and Failure to Thrive Associated With a Homozygous Nonsense Variant of .非典型MEGDHEL综合征:一种具有肝脏表现和生长发育迟缓的较轻表型,与……的纯合无义变异相关 。 (原文此处不完整,缺少具体基因名称等关键信息)
JIMD Rep. 2025 May 12;66(3):e70017. doi: 10.1002/jmd2.70017. eCollection 2025 May.
3

本文引用的文献

1
Progressive deafness-dystonia due to SERAC1 mutations: A study of 67 cases.SERAC1 突变导致的进行性耳聋 - 肌张力障碍:67 例病例研究
Ann Neurol. 2017 Dec;82(6):1004-1015. doi: 10.1002/ana.25110.
2
Eyes on MEGDEL: distinctive basal ganglia involvement in dystonia deafness syndrome.聚焦MEGDEL:基底神经节在肌张力障碍耳聋综合征中有独特受累表现。
Neuropediatrics. 2015 Apr;46(2):98-103. doi: 10.1055/s-0034-1399755. Epub 2015 Feb 2.
3
Mutations in the phospholipid remodeling gene SERAC1 impair mitochondrial function and intracellular cholesterol trafficking and cause dystonia and deafness.
Incidental Finding of MEGDEL Syndrome at a Tertiary Care Center in Saudi Arabia.
沙特阿拉伯一家三级医疗中心偶然发现MEGDEL综合征
Cureus. 2024 Mar 1;16(3):e55308. doi: 10.7759/cureus.55308. eCollection 2024 Mar.
4
Putaminal eye: a diagnostic clue for MEGDEL syndrome.壳核眼:MEGDEL综合征的一个诊断线索。
BMJ Case Rep. 2023 Nov 23;16(11):e255650. doi: 10.1136/bcr-2023-255650.
5
Complicated Hereditary Spastic Paraplegia Caused by Variants in a Chinese Family.一个中国家庭中由变异引起的复杂遗传性痉挛性截瘫
Front Pediatr. 2022 Feb 11;9:816265. doi: 10.3389/fped.2021.816265. eCollection 2021.
6
Incidental Finding of MEGDEL Syndrome Based on Neuroimaging: Case Report.基于神经影像学的MEGDEL综合征偶然发现:病例报告
Case Rep Neurol. 2021 Jun 28;13(2):429-433. doi: 10.1159/000516319. eCollection 2021 May-Aug.
7
Dystonia is a Common Phenotypic Feature of MEGDEL Syndrome.肌张力障碍是MEGDEL综合征的常见表型特征。
Tremor Other Hyperkinet Mov (N Y). 2018 May 29;8:568. doi: 10.7916/D8795MXR. eCollection 2018.
8
The phenotype of adult versus pediatric patients with inborn errors of metabolism.成人生长代谢缺陷症与儿科生长代谢缺陷症的表型对比。
J Inherit Metab Dis. 2018 Sep;41(5):753-756. doi: 10.1007/s10545-018-0209-9. Epub 2018 Jun 6.
磷脂重塑基因 SERAC1 的突变会损害线粒体功能和细胞内胆固醇转运,导致肌张力障碍和耳聋。
Nat Genet. 2012 Jun 10;44(7):797-802. doi: 10.1038/ng.2325.