Suppr超能文献

一例强直性脊柱炎合并高安动脉炎的病例。

A case of ankylosing spondylitis with concurrent Takayasu arteritis.

作者信息

Matsushita Masakazu, Kobayashi Shigeto, Tada Kurisu, Hayashi Eri, Yamaji Ken, Amano Atsushi, Tamura Naoto

机构信息

1 Department of Internal Medicine and Rheumatology, Juntendo University, School of Medicine, Hongo, Bunkyo-ku, Tokyo, Japan.

2 Department of Internal Medicine, Juntendo Koshigaya Hospital, 560 Fukuroyama, Koshigaya city, Saitama, Japan.

出版信息

J Int Med Res. 2018 Jun;46(6):2486-2494. doi: 10.1177/0300060518769548. Epub 2018 Apr 24.

Abstract

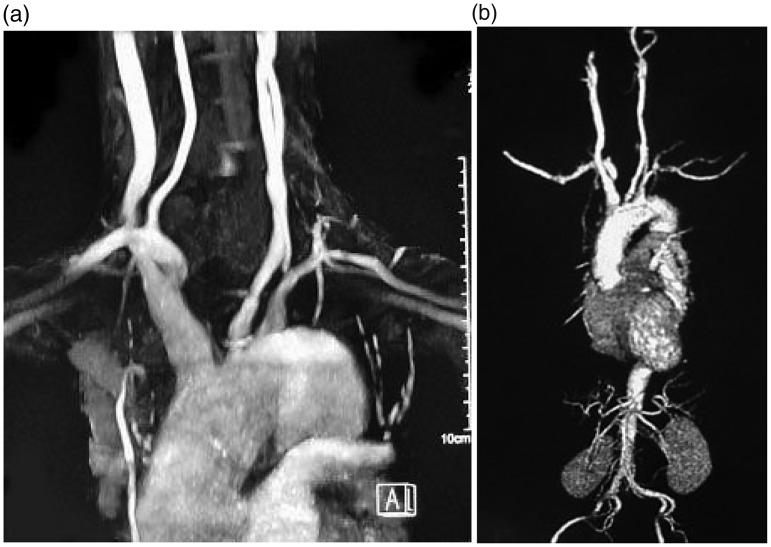
We herein report a case involving a 56-year-old man who had experienced neck and lower back pain since the age of 23 years. Ankylosing spondylitis (AS) was diagnosed at 41 years of age, and treatment with sulfasalazine was initiated. At 44 years of age, the patient developed respiratory distress on exertion and chest pain. Aortic regurgitation (AR) was diagnosed via echocardiography, and the patient presented to our hospital for close examination and treatment. Coronary computed tomography angiography revealed no lesions in the coronary artery; however, magnetic resonance angiography revealed stenotic lesions in the left common carotid artery and left subclavian artery. Based on the findings of a physical examination, fundus examination, and blood tests, the patient was diagnosed with AS with concurrent Takayasu arteritis (TA). Upon administration of steroids to alleviate inflammation caused by an autoimmune mechanism, the patient's chest symptoms and inflammatory findings improved. AR was treated with aortic valve replacement and prosthetic blood vessel replacement, after which the patient progressed well. Intraoperative aortic biopsy revealed findings pathologically consistent with TA. Although AS with concurrent AR is well described, AS with concurrent TA, as in the present case, is rare.

摘要

我们在此报告一例病例,患者为一名56岁男性,自23岁起就一直遭受颈部和下背部疼痛。41岁时被诊断为强直性脊柱炎(AS),并开始使用柳氮磺胺吡啶进行治疗。44岁时,患者在运动时出现呼吸窘迫和胸痛。经超声心动图诊断为主动脉瓣关闭不全(AR),随后患者前来我院进行进一步检查和治疗。冠状动脉计算机断层扫描血管造影显示冠状动脉无病变;然而,磁共振血管造影显示左颈总动脉和左锁骨下动脉有狭窄病变。根据体格检查、眼底检查和血液检查结果,该患者被诊断为AS并发高安动脉炎(TA)。在给予类固醇以减轻自身免疫机制引起的炎症后,患者的胸部症状和炎症表现有所改善。AR通过主动脉瓣置换和人工血管置换进行治疗,此后患者恢复良好。术中主动脉活检显示病理结果与TA一致。虽然AS并发AR已有充分描述,但如本病例中AS并发TA的情况则较为罕见。

https://cdn.ncbi.nlm.nih.gov/pmc/blobs/1515/6023039/7d059fc4fd49/10.1177_0300060518769548-fig1.jpg

文献检索

告别复杂PubMed语法,用中文像聊天一样搜索,搜遍4000万医学文献。AI智能推荐,让科研检索更轻松。

立即免费搜索

文件翻译

保留排版,准确专业,支持PDF/Word/PPT等文件格式,支持 12+语言互译。

免费翻译文档

深度研究

AI帮你快速写综述,25分钟生成高质量综述,智能提取关键信息,辅助科研写作。

立即免费体验