Suppr超能文献

脉络膜血管的定量阴影补偿光相干断层扫描。

Quantitative shadow compensated optical coherence tomography of choroidal vasculature.

机构信息

Surjana Center for Innovation, LV Prasad Eye Institute Hyderabad, Hyderabad, Telangana, India.

Department of Electrical Engineering, Indian Institute of Technology Hyderabad, Hyderabad, Telangana, India.

出版信息

Sci Rep. 2018 Apr 24;8(1):6461. doi: 10.1038/s41598-018-24577-8.

Abstract

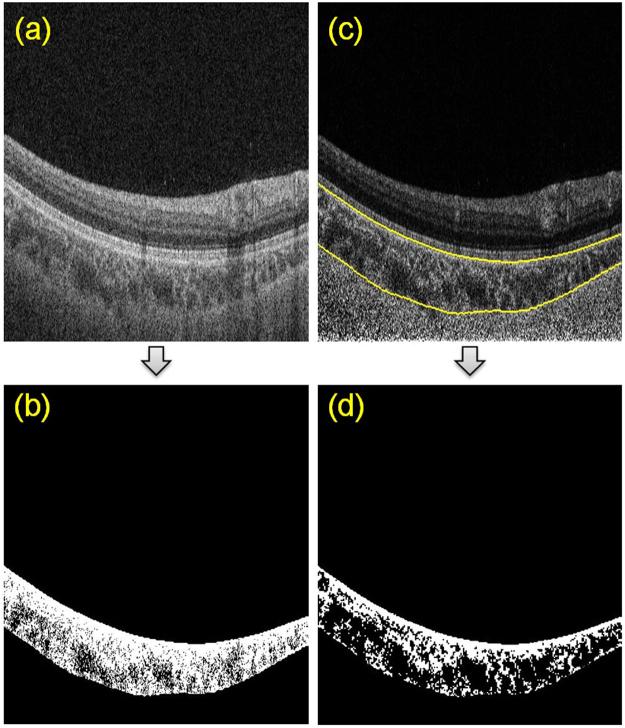
Conventionally rendered optical coherence tomography (OCT) images of the posterior segment contain shadows which influence the visualization of deep structures such as the choroid. The purpose of this study was to determine whether OCT shadow compensation (SC) alters the appearance of the choroid and the apparent choroidal vascularity index (CVI), an OCT-derived estimated ratio of luminal to total choroidal volume. All scans were shadow compensated using a previously published algorithm, binarized using a novel validated algorithm and extracted binarized choroid to estimate CVI. On 27 raw swept-source OCT volume-scans of healthy subjects, the effect of SC on CVI was established both qualitatively and quantitatively. In shadow compensated scans, the choroid was visualized with greater brightness than the neurosensory retina and the masking of deep tissues by retinal blood vessels was greatly reduced. Among study subjects, significant mean difference in CVI of -0.13 was observed between raw and shadow compensated scans. Conventionally acquired OCT underestimates both choroidal reflectivity and calculated CVI. Quantitative analysis based on subjective grading demonstrated that SC increased the contrast between stromal and luminal regions and are in agreement with true tissue regions. This study is warranted to determine the effects of SC on CVI in diseased eyes.

摘要

传统光学相干断层扫描(OCT)的后节图像包含阴影,影响脉络膜等深层结构的可视化。本研究旨在确定 OCT 阴影补偿(SC)是否改变脉络膜的外观和表观脉络膜血管指数(CVI),这是一种基于 OCT 的管腔与脉络膜总容积比的估计值。所有扫描均使用先前发表的算法进行阴影补偿,使用新验证的算法进行二值化,并提取二值化脉络膜以估计 CVI。在 27 例健康受试者的原始扫频源 OCT 容积扫描中,定性和定量地确定了 SC 对 CVI 的影响。在补偿阴影的扫描中,脉络膜的亮度比神经感觉视网膜高,视网膜血管对深层组织的遮蔽大大减少。在研究对象中,原始扫描和阴影补偿扫描之间的 CVI 存在显著的平均差异-0.13。传统获得的 OCT 低估了脉络膜的反射率和计算出的 CVI。基于主观分级的定量分析表明,SC 增加了基质和管腔区域之间的对比度,与真实组织区域一致。这项研究有必要确定 SC 在病变眼中对 CVI 的影响。

https://cdn.ncbi.nlm.nih.gov/pmc/blobs/eb1a/5915389/489b546a8e76/41598_2018_24577_Fig1_HTML.jpg

文献AI研究员

20分钟写一篇综述,助力文献阅读效率提升50倍。

立即体验

用中文搜PubMed

大模型驱动的PubMed中文搜索引擎

马上搜索

文档翻译

学术文献翻译模型,支持多种主流文档格式。

立即体验