Suppr超能文献

重金属在水、沉积物和组织中的生物积累及其对巴基斯坦开伯尔-普赫图赫瓦省喀布尔河中的 (Linea, 1876) 的组织病理学影响。

Bioaccumulation of Heavy Metals in Water, Sediments, and Tissues and Their Histopathological Effects on (Linea, 1876) in Kabul River, Khyber Pakhtunkhwa, Pakistan.

机构信息

Department of Zoology, University of Peshawar, Khyber Pakhtunkhwa, Pakistan.

Department of Space Science, Institute of Space Technology, Islamabad, Pakistan.

出版信息

Biomed Res Int. 2018 Mar 6;2018:1910274. doi: 10.1155/2018/1910274. eCollection 2018.

Abstract

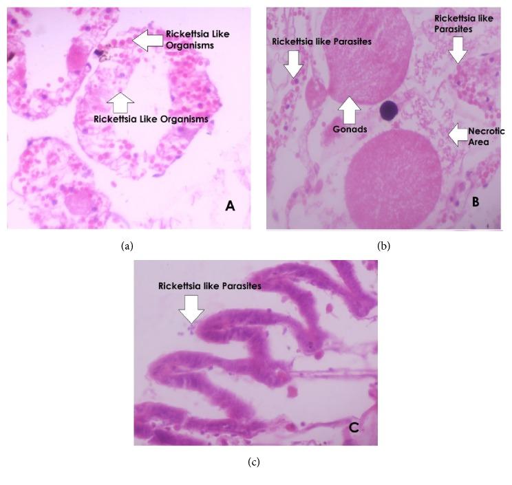
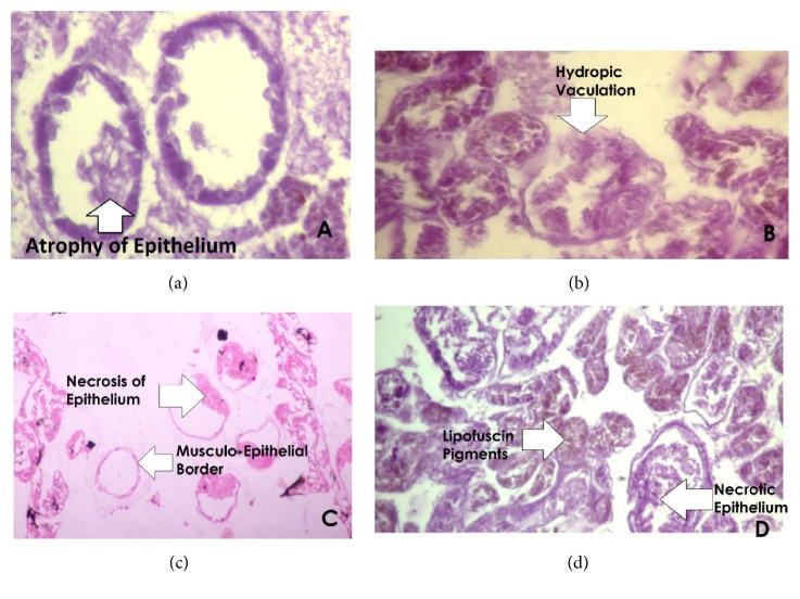
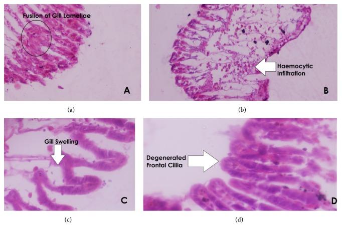
The present investigation aimed to assess the concentrations of selected heavy metals in water and sediments and their bioaccumulation in tissues of freshwater mussels and their histopathological effects on the digestive gland, gills, and gonads of . Water, sediments, and freshwater mussel samples were collected at four sites, that is, reference and polluted sites, along the Kabul River, Khyber Pakhtunkhwa. The polluted sites were receiving effluents from the industrial, agricultural, municipal, and domestic sources. The order of metals in the water was Zn > Pb > Ni > Cu > Mn > Fe > Cr > Cd, in sediments the order was Fe > Zn > Cr > Ni > Mn > Pb > Cu > Cd, and in the soft tissues the order was Fe > Zn > Mn > Pb > Cu > Cr > Ni > Cd. Histopathological alterations observed in polluted sites of Kabul River were inflammation, hydropic vacuolation, and lipofuscin pigments (in digestive gland), gill lamellar fusion, dilated hemolymphatic sinus, clumping, and generation of cilia and hemocytic infiltration (in gills), and atresia, necrosis, granulocytoma, hemocytic infiltration, and lipofuscin pigments (in gonads). The histopathological alterations in the organs of can be considered as reliable biomarkers in biomonitoring of heavy metal pollution in aquatic ecosystems.

摘要

本研究旨在评估喀布尔河沿线四个地点(参照点和污染点)的水、沉积物和淡水贻贝组织中选定重金属的浓度及其生物累积情况,以及它们对消化腺、鳃和性腺的组织病理学影响。污染点接收来自工业、农业、市政和家庭源的废水。水中金属的顺序为 Zn > Pb > Ni > Cu > Mn > Fe > Cr > Cd,沉积物中的顺序为 Fe > Zn > Cr > Ni > Mn > Pb > Cu > Cd,而在软体组织中的顺序为 Fe > Zn > Mn > Pb > Cu > Cr > Ni > Cd。在喀布尔河污染点观察到的组织病理学变化包括炎症、水肿空泡和脂褐素(在消化腺中)、鳃瓣融合、扩张的血淋巴窦、聚集、纤毛生成和血细胞浸润(在鳃中)以及闭锁、坏死、粒细胞瘤、血细胞浸润和脂褐素(在性腺中)。这些器官的组织病理学变化可以被认为是水生生态系统重金属污染生物监测的可靠生物标志物。

https://cdn.ncbi.nlm.nih.gov/pmc/blobs/9a51/5859875/e622b44eb160/BMRI2018-1910274.001.jpg

文献检索

告别复杂PubMed语法,用中文像聊天一样搜索,搜遍4000万医学文献。AI智能推荐,让科研检索更轻松。

立即免费搜索

文件翻译

保留排版,准确专业,支持PDF/Word/PPT等文件格式,支持 12+语言互译。

免费翻译文档

深度研究

AI帮你快速写综述,25分钟生成高质量综述,智能提取关键信息,辅助科研写作。

立即免费体验