Suppr超能文献

High-resolution computerized tomography changes in diffuse parenchymal lung disease from chronic hypersensitivity pneumonitis related to bird antigen.

作者信息

Bhattacharyya Parthasarathi, Dasgupta Sanjukta, Paul Mintu, Saha Dipanjan, Sengupta Sayoni, Bhattacharyya Pinak Pani

机构信息

Department of Parenchymal Lung Disease, Institute of Pulmocare and Research, Kolkata, West Bengal, India.

Research Scholar, School of Medical Science and Technology, IIT Kharagpur, West Bengal, India.

出版信息

Lung India. 2018 May-Jun;35(3):215-219. doi: 10.4103/lungindia.lungindia_293_17.

Abstract

BACKGROUND

Chronic hypersensitivity pneumonitis (HP) is the most common cause of diffuse parenchymal lung disease (DPLD) in India. There is no data regarding the avian antigen exposure-associated DPLD from the country.

METHODS

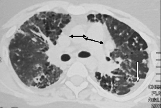
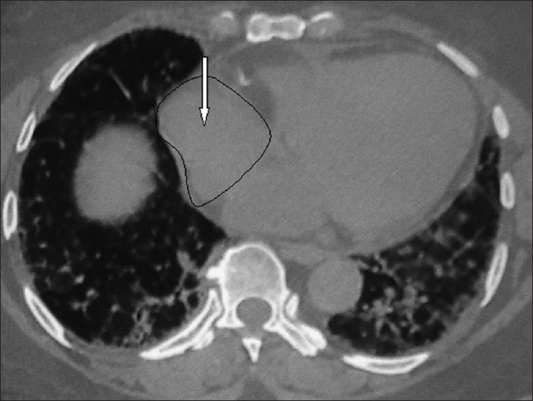
Chronic HP from exposure to avian antigen was diagnosed when the high resolution computerized tomography (HRCT) showed features for HP and was supported by the history of exposure to pigeons, the presence of precipitin antibodies (IgG) to avian antigen in high titre with negative rheumatoid factor, antinuclear antibody, and no clinical clue for a collagen vascular disease. The HRCT changes were noted on Likert scale (0-5) in terms of affection of peripheral and/or axial involvement, reticulation, honeycombing, haze, mosaic, traction bronchiectasis, pleural reactions, features of pulmonary hypertension, and air cysts. Cardiomegaly and independent cardiac chamber enlargement were also recorded.

RESULTS

The lower lobes were predominantly (65.6%) affected with similar frequency (78.1) of peripheral and axial parenchymal affection. The parenchymal changes in HRCT were haze or ground-glass opacity (100%), mosaic appearance (93.75%), reticulations (68.75%), traction bronchiectasis (34.3%), air cysts (21.8%), and honeycombing (9.37%). Pleural reactions, though not described so far, were found in 50% of cases. Features of pulmonary hypertension (87.5%), cardiomegaly (50%), left and right atrial enlargement (81.2% and 78.1%), and right ventricular enlargement (31.2%) were the common echocardiography findings.

CONCLUSION

Chronic HP from avian exposure shows predominantly lower lobe involvement with haze, reticulation, features of pulmonary hypertension, and pleural reactions as common HRCT findings. The likelihood of pulmonary hypertension appears high and although honeycombing is often present, the classical UIP pattern has not been found.

摘要
https://cdn.ncbi.nlm.nih.gov/pmc/blobs/d63d/5946554/d51c9d8cbf03/LI-35-215-g002.jpg

文献AI研究员

20分钟写一篇综述,助力文献阅读效率提升50倍。

立即体验

用中文搜PubMed

大模型驱动的PubMed中文搜索引擎

马上搜索

文档翻译

学术文献翻译模型,支持多种主流文档格式。

立即体验