Suppr超能文献

甲基强的松龙和血浆置换疗法对肉芽肿性多血管炎所致危及生命的弥漫性肺泡出血和胃肠道出血有效:一例报告及文献综述

Methylprednisolone and plasmapheresis are effective for life-threatening diffuse alveolar hemorrhage and gastrointestinal hemorrhage in granulomatosis with polyangiitis: A case report and literature review.

作者信息

Ning Shen, Zhang Xinhua, Xu Cheng, Dang Xin, Cheng Hao, Zhu Kejian, Han Yongmei

机构信息

Sir Run Run Shaw Hospital, School of Medicine, Zhejiang University, Hangzhou, China.

出版信息

Medicine (Baltimore). 2018 Apr;97(17):e0592. doi: 10.1097/MD.0000000000010592.

Abstract

RATIONALE

The treatment of granulomatosis with polyangiitis (GPA) with life-threatening complications, such as diffuse alveolar hemorrhage (DAH) and gastrointestinal hemorrhage (GIH), remains challenging.

PATIENT CONCERNS

A 70-year-old female presented with a 6-month history of a productive cough and a 10-day history of arthralgia that progressed to respiratory failure and massive hematochezia.

DIAGNOSES

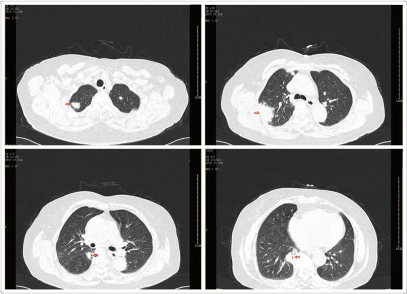
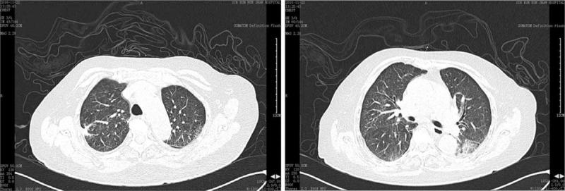
Chest high-resolution computed tomography (HRCT) revealed multiple nodules, masses, and cavities. Urinalysis indicated microscopic hematuria. Test of proteinase3-anti-neutrophil cytoplasmic autoantibody (PR3-ANCA) was positive.

INTERVENTIONS

The patient was transferred to the intensive care unit (ICU) and successfully treated with glucocorticoid pulse therapy and plasmapheresis. We combined mycophenolate mofetil (MMF) with glucocorticoid for maintenance treatment.

OUTCOMES

The patient survived and is in a stable condition. We report this case that presented with a productive cough, followed by arthralgia, DAH, and GIH.

LESSONS

Effective remission-induction therapy is a key to survival, while maintaining a balance between immunosuppression and avoiding infection is another challenge.

摘要

原理

对于伴有危及生命并发症(如弥漫性肺泡出血(DAH)和胃肠道出血(GIH))的肉芽肿性多血管炎(GPA),其治疗仍然具有挑战性。

患者情况

一名70岁女性,有6个月的咳痰病史和10天的关节痛病史,随后进展为呼吸衰竭和大量便血。

诊断

胸部高分辨率计算机断层扫描(HRCT)显示多个结节、肿块和空洞。尿液分析显示镜下血尿。蛋白酶3抗中性粒细胞胞浆自身抗体(PR3-ANCA)检测呈阳性。

干预措施

患者被转入重症监护病房(ICU),并成功接受了糖皮质激素冲击治疗和血浆置换。我们将霉酚酸酯(MMF)与糖皮质激素联合用于维持治疗。

结果

患者存活且病情稳定。我们报告了该例以咳痰起病,随后出现关节痛、DAH和GIH的病例。

经验教训

有效的诱导缓解治疗是生存的关键,而在免疫抑制和避免感染之间保持平衡是另一个挑战。

https://cdn.ncbi.nlm.nih.gov/pmc/blobs/dfae/5944511/add6a4879bcb/medi-97-e0592-g002.jpg

文献AI研究员

20分钟写一篇综述,助力文献阅读效率提升50倍。

立即体验

用中文搜PubMed

大模型驱动的PubMed中文搜索引擎

马上搜索

文档翻译

学术文献翻译模型,支持多种主流文档格式。

立即体验