• 文献检索
  • 文档翻译
  • 深度研究
  • 学术资讯
  • Suppr Zotero 插件Zotero 插件
  • 邀请有礼
  • 套餐&价格
  • 历史记录
应用&插件
Suppr Zotero 插件Zotero 插件浏览器插件Mac 客户端Windows 客户端微信小程序
定价
高级版会员购买积分包购买API积分包
服务
文献检索文档翻译深度研究API 文档MCP 服务
关于我们
关于 Suppr公司介绍联系我们用户协议隐私条款
关注我们

Suppr 超能文献

核心技术专利:CN118964589B侵权必究
粤ICP备2023148730 号-1Suppr @ 2026

文献检索

告别复杂PubMed语法,用中文像聊天一样搜索,搜遍4000万医学文献。AI智能推荐,让科研检索更轻松。

立即免费搜索

文件翻译

保留排版,准确专业,支持PDF/Word/PPT等文件格式,支持 12+语言互译。

免费翻译文档

深度研究

AI帮你快速写综述,25分钟生成高质量综述,智能提取关键信息,辅助科研写作。

立即免费体验

LIM和SH3结构域蛋白1基因敲低通过抑制丝裂原活化蛋白激酶信号通路抑制结肠癌细胞的增殖和转移。

LIM and SH3 protein 1 knockdown suppresses proliferation and metastasis of colorectal carcinoma cells via inhibition of the mitogen-activated protein kinase signaling pathway.

作者信息

Zhao Hongpeng, Liu Bo, Li Jie

机构信息

Department of Gastrointestinal Surgery, Shandong Qianfoshan Hospital, Jinan, Shandong 250014, P.R. China.

Department of Hepatobiliary Surgery, Shandong Qianfoshan Hospital, Jinan, Shandong 250014, P.R. China.

出版信息

Oncol Lett. 2018 May;15(5):6839-6844. doi: 10.3892/ol.2018.8222. Epub 2018 Mar 9.

DOI:10.3892/ol.2018.8222
PMID:29731863
原文链接:https://pmc.ncbi.nlm.nih.gov/articles/PMC5920965/
Abstract

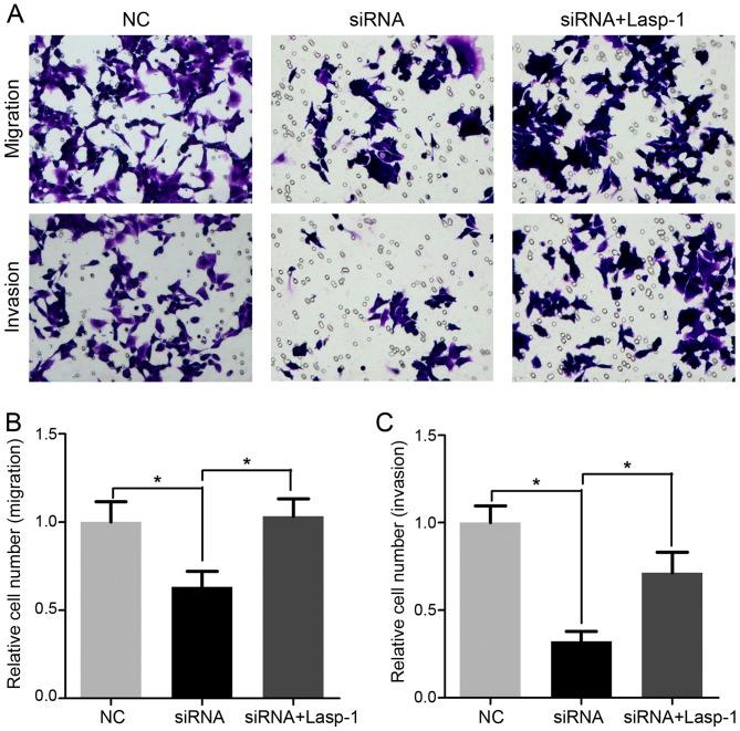
LIM and SH3 protein 1 (Lasp-1), a focal adhesion protein, serves a critical role in the regulation of cell proliferation and migration. The role of Lasp-1, as well as the intracellular signaling pathways involved in metastasis and progression of colorectal carcinoma, remains unclear. In the present study, the regulatory effect of Lasp-1 and the underlying molecular mechanism involved in migration and invasion of colorectal carcinoma were investigated. RNA interference and overexpression in SW480 cells were performed to elucidate the role of Lasp-1. Reverse transcription-quantitative polymerase chain reaction, western blotting and immunofluorescence were conducted to determine the mRNA and protein levels of Lasp-1 and extracellular-signal-regulated kinase 1/2 (ERK1/2) in SW480 cells as well as tumor and adjacent normal tissues obtained from 20 patients with colorectal carcinoma. Furthermore, a cell proliferation assay, flow cytometric analysis, and cell migration and invasion assays were performed to examine the effect of Lasp-1 on cell growth. The results of the present study demonstrated that Lasp-1 and ERK1/2 were upregulated in tumor tissue compared with adjacent normal colorectal mucosa. Cell-based assays demonstrated that Lasp-1 knockdown suppressed the expression and activation of ERK1/2, whereas Lasp-1 overexpression resulted in ERK1/2 upregulation. Additionally, Lasp-1 knockdown inhibited cell proliferation, migration, and invasion and induced cellular apoptosis and G/G cell-cycle arrest. The results of the present study indicate that Lasp-1 serves a critical role in the progression of colorectal carcinoma regulating the activation of the mitogen-activated protein kinase signaling pathway.

摘要

LIM和SH3结构域蛋白1(Lasp-1)是一种粘着斑蛋白,在细胞增殖和迁移的调控中发挥关键作用。Lasp-1的作用以及参与结直肠癌转移和进展的细胞内信号通路仍不清楚。在本研究中,研究了Lasp-1的调节作用以及参与结直肠癌迁移和侵袭的潜在分子机制。在SW480细胞中进行RNA干扰和过表达以阐明Lasp-1的作用。进行逆转录定量聚合酶链反应、蛋白质印迹和免疫荧光以确定SW480细胞以及从20例结直肠癌患者获得的肿瘤和相邻正常组织中Lasp-1和细胞外信号调节激酶1/2(ERK1/2)的mRNA和蛋白水平。此外,进行细胞增殖测定、流式细胞术分析以及细胞迁移和侵袭测定以检测Lasp-1对细胞生长的影响。本研究结果表明,与相邻正常结直肠黏膜相比,肿瘤组织中Lasp-1和ERK1/2上调。基于细胞的实验表明,Lasp-1敲低抑制ERK1/2的表达和激活,而Lasp-1过表达导致ERK1/2上调。此外,Lasp-1敲低抑制细胞增殖、迁移和侵袭,并诱导细胞凋亡和G/G期细胞周期阻滞。本研究结果表明,Lasp-1在结直肠癌进展中发挥关键作用,调节丝裂原活化蛋白激酶信号通路的激活。

https://cdn.ncbi.nlm.nih.gov/pmc/blobs/4ef1/5920965/d2b497ac137d/ol-15-05-6839-g04.jpg
https://cdn.ncbi.nlm.nih.gov/pmc/blobs/4ef1/5920965/317673d926b4/ol-15-05-6839-g00.jpg
https://cdn.ncbi.nlm.nih.gov/pmc/blobs/4ef1/5920965/cc070de18db0/ol-15-05-6839-g01.jpg
https://cdn.ncbi.nlm.nih.gov/pmc/blobs/4ef1/5920965/6f318f4d25ff/ol-15-05-6839-g02.jpg
https://cdn.ncbi.nlm.nih.gov/pmc/blobs/4ef1/5920965/095fc1d81ac6/ol-15-05-6839-g03.jpg
https://cdn.ncbi.nlm.nih.gov/pmc/blobs/4ef1/5920965/d2b497ac137d/ol-15-05-6839-g04.jpg
https://cdn.ncbi.nlm.nih.gov/pmc/blobs/4ef1/5920965/317673d926b4/ol-15-05-6839-g00.jpg
https://cdn.ncbi.nlm.nih.gov/pmc/blobs/4ef1/5920965/cc070de18db0/ol-15-05-6839-g01.jpg
https://cdn.ncbi.nlm.nih.gov/pmc/blobs/4ef1/5920965/6f318f4d25ff/ol-15-05-6839-g02.jpg
https://cdn.ncbi.nlm.nih.gov/pmc/blobs/4ef1/5920965/095fc1d81ac6/ol-15-05-6839-g03.jpg
https://cdn.ncbi.nlm.nih.gov/pmc/blobs/4ef1/5920965/d2b497ac137d/ol-15-05-6839-g04.jpg

相似文献

1
LIM and SH3 protein 1 knockdown suppresses proliferation and metastasis of colorectal carcinoma cells via inhibition of the mitogen-activated protein kinase signaling pathway.LIM和SH3结构域蛋白1基因敲低通过抑制丝裂原活化蛋白激酶信号通路抑制结肠癌细胞的增殖和转移。
Oncol Lett. 2018 May;15(5):6839-6844. doi: 10.3892/ol.2018.8222. Epub 2018 Mar 9.
2
Role of hepatitis B virus X protein in regulating LIM and SH3 protein 1 (LASP-1) expression to mediate proliferation and migration of hepatoma cells.乙型肝炎病毒 X 蛋白在调节 LIM 和 SH3 蛋白 1(LASP-1)表达以介导肝癌细胞增殖和迁移中的作用。
Virol J. 2012 Aug 16;9:163. doi: 10.1186/1743-422X-9-163.
3
Promotion of colorectal cancer growth and metastasis by the LIM and SH3 domain protein 1.LIM 和 SH3 域蛋白 1 促进结直肠癌的生长和转移。
Gut. 2010 Sep;59(9):1226-35. doi: 10.1136/gut.2009.202739. Epub 2010 Jul 26.
4
LIM and SH3 protein 1 promotes tumor proliferation and metastasis in lung carcinoma.LIM和SH3结构域蛋白1促进肺癌的肿瘤增殖和转移。
Oncol Lett. 2016 Dec;12(6):4756-4760. doi: 10.3892/ol.2016.5225. Epub 2016 Oct 5.
5
Upregulated LASP-1 correlates with a malignant phenotype and its potential therapeutic role in human cholangiocarcinoma.LASP-1表达上调与人类胆管癌的恶性表型及其潜在治疗作用相关。
Tumour Biol. 2016 Jun;37(6):8305-15. doi: 10.1007/s13277-015-4704-4. Epub 2016 Jan 4.
6
Role of LASP-1, a novel SOX9 transcriptional target, in the progression of lung cancer.LASP-1,一种新的 SOX9 转录靶标,在肺癌进展中的作用。
Int J Oncol. 2018 Jan;52(1):179-188. doi: 10.3892/ijo.2017.4201. Epub 2017 Nov 10.
7
LIM and SH3 protein 1, a promoter of cell proliferation and migration, is a novel independent prognostic indicator in hepatocellular carcinoma.LIM 和 SH3 蛋白 1 是细胞增殖和迁移的促进剂,是肝癌的一个新的独立预后指标。
Eur J Cancer. 2013 Mar;49(4):974-83. doi: 10.1016/j.ejca.2012.09.032. Epub 2012 Oct 18.
8
Inhibits Proliferation and Migration of Colorectal Cancer SW480 Cells.抑制结直肠癌SW480细胞的增殖和迁移。
Anticancer Res. 2017 Aug;37(8):4345-4352. doi: 10.21873/anticanres.11828.
9
Suppression of LASP-1 attenuates the carcinogenesis of prostatic cancer cell lines: Key role of the NF-κB pathway.LASP-1的抑制作用减弱前列腺癌细胞系的致癌作用:NF-κB信号通路的关键作用。
Oncol Rep. 2017 Jan;37(1):341-347. doi: 10.3892/or.2016.5223. Epub 2016 Nov 7.
10
The role of LIM and SH3 protein-1 in bladder cancer metastasis.LIM和SH3蛋白-1在膀胱癌转移中的作用。
Oncol Lett. 2017 Oct;14(4):4829-4834. doi: 10.3892/ol.2017.6802. Epub 2017 Aug 23.

引用本文的文献

1
Transcription factor AP-4 (TFAP4)-upstream ORF coding 66 aa inhibits the malignant behaviors of glioma cells by suppressing the TFAP4/long noncoding RNA 00520/microRNA-520f-3p feedback loop.转录因子 AP-4(TFAP4)上游开放阅读框编码 66 个氨基酸通过抑制 TFAP4/长非编码 RNA 00520/微小 RNA-520f-3p 反馈环抑制胶质瘤细胞的恶性行为。
Cancer Sci. 2020 Mar;111(3):891-906. doi: 10.1111/cas.14308. Epub 2020 Feb 11.
2
Hsa_circ_0004370 promotes esophageal cancer progression through miR-1294/LASP1 pathway.Hsa_circ_0004370 通过 miR-1294/LASP1 通路促进食管癌进展。
Biosci Rep. 2019 May 14;39(5). doi: 10.1042/BSR20182377. Print 2019 May 31.
3

本文引用的文献

1
Risk of Advanced Neoplasia in First-Degree Relatives with Colorectal Cancer: A Large Multicenter Cross-Sectional Study.患有结直肠癌的一级亲属发生晚期肿瘤的风险:一项大型多中心横断面研究。
PLoS Med. 2016 May 3;13(5):e1002008. doi: 10.1371/journal.pmed.1002008. eCollection 2016 May.
2
Transforming growth factor-β1 induces cell cycle arrest by activating atypical cyclin-dependent kinase 5 through up-regulation of Smad3-dependent p35 expression in human MCF10A mammary epithelial cells.转化生长因子-β1 通过上调人MCF10A乳腺上皮细胞中Smad3依赖的p35表达来激活非典型细胞周期蛋白依赖性激酶5,从而诱导细胞周期停滞。
Biochem Biophys Res Commun. 2016 Apr 8;472(3):502-7. doi: 10.1016/j.bbrc.2016.02.121. Epub 2016 Mar 8.
3
Dendritic cell factor 1 inhibits proliferation and migration and induces apoptosis of neuroblastoma cells by inhibiting the ERK signaling pathway.
树突状细胞因子 1 通过抑制 ERK 信号通路抑制神经母细胞瘤细胞的增殖和迁移,并诱导其凋亡。
Oncol Rep. 2019 Jan;41(1):103-112. doi: 10.3892/or.2018.6796. Epub 2018 Oct 16.
Cancer statistics in China, 2015.
《中国癌症统计数据 2015》
CA Cancer J Clin. 2016 Mar-Apr;66(2):115-32. doi: 10.3322/caac.21338. Epub 2016 Jan 25.
4
LASP-1 induces proliferation, metastasis and cell cycle arrest at the G2/M phase in gallbladder cancer by down-regulating S100P via the PI3K/AKT pathway.LASP-1 通过下调 S100P 蛋白抑制 PI3K/AKT 通路诱导胆囊癌细胞的增殖、转移并阻滞于 G2/M 期。
Cancer Lett. 2016 Mar 28;372(2):239-50. doi: 10.1016/j.canlet.2016.01.008. Epub 2016 Jan 18.
5
Contribution of in vitro comparison of colorectal carcinoma cells from primary and metastatic lesions to elucidation of mechanisms of tumor progression and response to anticancer therapy.原发性和转移性结直肠癌细胞的体外比较对阐明肿瘤进展机制及抗癌治疗反应的贡献。
Tumour Biol. 2016 Jul;37(7):9565-78. doi: 10.1007/s13277-016-4839-y. Epub 2016 Jan 21.
6
Cancer statistics, 2016.癌症统计数据,2016 年。
CA Cancer J Clin. 2016 Jan-Feb;66(1):7-30. doi: 10.3322/caac.21332. Epub 2016 Jan 7.
7
Upregulated LASP-1 correlates with a malignant phenotype and its potential therapeutic role in human cholangiocarcinoma.LASP-1表达上调与人类胆管癌的恶性表型及其潜在治疗作用相关。
Tumour Biol. 2016 Jun;37(6):8305-15. doi: 10.1007/s13277-015-4704-4. Epub 2016 Jan 4.
8
LASP-1, regulated by miR-203, promotes tumor proliferation and aggressiveness in human non-small cell lung cancer.受miR-203调控的LASP-1促进人类非小细胞肺癌的肿瘤增殖和侵袭性。
Exp Mol Pathol. 2016 Feb;100(1):116-24. doi: 10.1016/j.yexmp.2015.11.031. Epub 2015 Dec 10.
9
Palliative surgical intervention in metastatic colorectal carcinoma: a prospective analysis of quality of life.转移性结直肠癌的姑息性手术干预:生活质量的前瞻性分析
Colorectal Dis. 2016 Apr;18(4):357-63. doi: 10.1111/codi.13142.
10
LASP1, a Newly Identified Melanocytic Protein with a Possible Role in Melanin Release, but Not in Melanoma Progression.LASP1,一种新发现的黑素细胞蛋白,可能在黑色素释放中起作用,但与黑色素瘤进展无关。
PLoS One. 2015 Jun 10;10(6):e0129219. doi: 10.1371/journal.pone.0129219. eCollection 2015.