Suppr超能文献

基于锥形束计算机断层扫描的一名凸面型和露龈笑患者的诊断与治疗模拟

Cone-beam computed tomography-based diagnosis and treatment simulation for a patient with a protrusive profile and a gummy smile.

作者信息

Uesugi Shunsuke, Imamura Toshihiro, Kokai Satoshi, Ono Takashi

机构信息

Department of Orthodontic Science, Graduate School of Medical and Dental Sciences, Tokyo Medical and Dental University, Tokyo, Japan.

出版信息

Korean J Orthod. 2018 May;48(3):189-199. doi: 10.4041/kjod.2018.48.3.189. Epub 2018 Apr 20.

Abstract

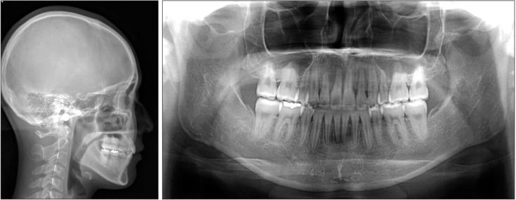
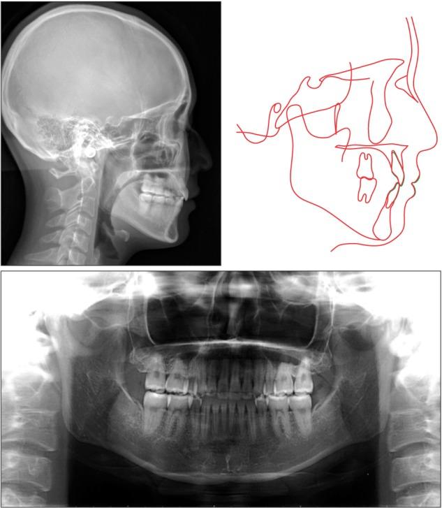
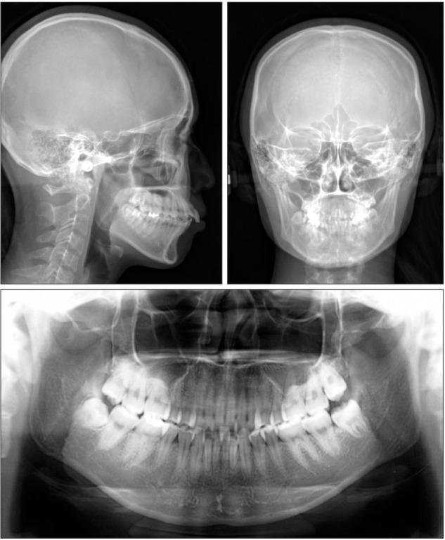
For patients with bimaxillary protrusion, significant retraction and intrusion of the anterior teeth are sometimes essential to improve the facial profile. However, severe root resorption of the maxillary incisors occasionally occurs after treatment because of various factors. For instance, it has been reported that approximation or invasion of the incisive canal by the anterior tooth roots during retraction may cause apical root damage. Thus, determination of the position of the maxillary incisors is key for orthodontic diagnosis and treatment planning in such cases. Cone-beam computed tomography (CBCT) may be useful for simulating the post-treatment position of the maxillary incisors and surrounding structures in order to ensure safe teeth movement. Here, we present a case of Class II malocclusion with bimaxillary protrusion, wherein apical root damage due to treatment was minimized by pretreatment evaluation of the anatomical structures and simulation of the maxillary central incisor movement using CBCT. Considerable retraction and intrusion of the maxillary incisors, which resulted in a significant improvement in the facial profile and smile, were achieved without severe root resorption. Our findings suggest that CBCT-based diagnosis and treatment simulation may facilitate safe and dynamic orthodontic tooth movement, particularly in patients requiring maximum anterior tooth retraction.

摘要

对于双颌前突患者,有时显著内收和压低前牙对于改善面部外形至关重要。然而,由于多种因素,治疗后上颌切牙偶尔会出现严重的牙根吸收。例如,有报道称,内收过程中前牙根尖接近或侵入切牙管可能会导致根尖牙根损伤。因此,确定上颌切牙的位置是此类病例正畸诊断和治疗计划的关键。锥形束计算机断层扫描(CBCT)可能有助于模拟上颌切牙及周围结构的治疗后位置,以确保牙齿安全移动。在此,我们展示一例双颌前突的安氏II类错牙合病例,其中通过对解剖结构的预处理评估和使用CBCT模拟上颌中切牙移动,将治疗引起的根尖牙根损伤降至最低。在没有严重牙根吸收的情况下,实现了上颌切牙的大量内收和压低,从而显著改善了面部外形和笑容。我们的研究结果表明,基于CBCT的诊断和治疗模拟可能有助于实现安全、动态的正畸牙齿移动,特别是在需要最大程度内收前牙的患者中。

https://cdn.ncbi.nlm.nih.gov/pmc/blobs/d9ae/5932321/e5924cbd6a58/kjod-48-189-g001.jpg

文献AI研究员

20分钟写一篇综述,助力文献阅读效率提升50倍。

立即体验

用中文搜PubMed

大模型驱动的PubMed中文搜索引擎

马上搜索

文档翻译

学术文献翻译模型,支持多种主流文档格式。

立即体验