Winkler Ethan A, Rutledge Caleb, Ward Mariann, Tihan Tarik, Sneed Patricia K, Barbaro Nicholas, Garcia Paul, McDermott Michael, Chang Edward F
Department of Neurological Surgery, University of California, San Francisco.
Neuropathology, University of California, San Francisco.
Cureus. 2018 Mar 11;10(3):e2308. doi: 10.7759/cureus.2308.
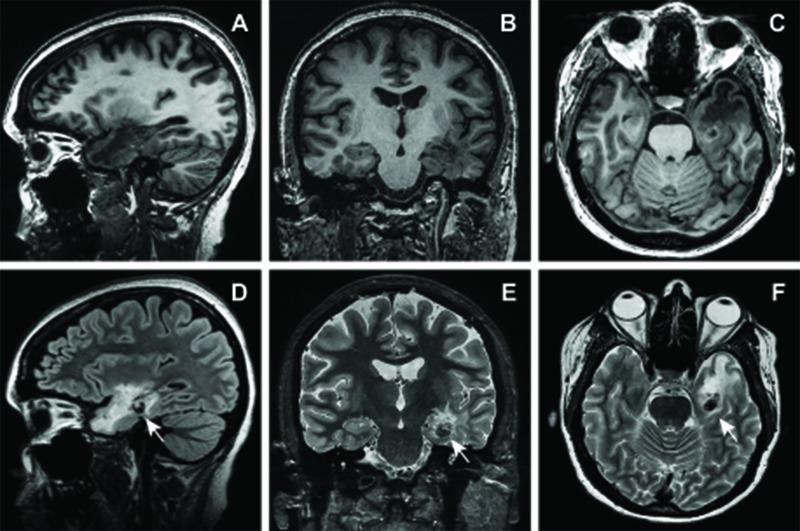
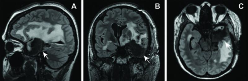
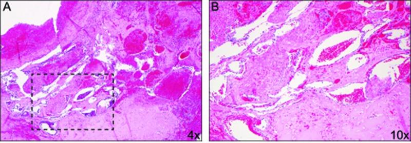
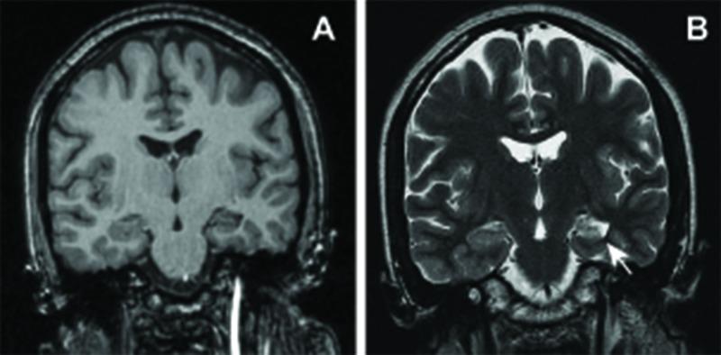
Stereotactic radiosurgery (SRS) is a promising treatment for medically intractable mesial temporal lobe epilepsy. SRS for epilepsy has had an acceptable safety profile with reports of radiation-induced vascular malformations confined to central nervous system pathologies with prominent angiogenesis - namely, primary brain tumors, metastases, and arteriovenous malformations. Theoretical risks for radiation-induced lesions following radiosurgery for epilepsy have yet to be established. Of 13 patients treated in a pilot trial for medial temporal lobe epilepsy, one developed multiple delayed radiation-induced cavernous malformations following radiosurgery. This patient received a prescription dose of 20 Gy delivered to the amygdala, anterior hippocampus, and parahippocampal gyrus. Eight years following treatment, computed tomography imaging demonstrated an evolving hyperdensity in the mesial temporal lobe. Magnetic resonance imaging confirmed multiple T2 hypointense lesions with a mixed-signal intensity core in the left parahippocampal gyrus and anterior temporal lobe. The patient was initially managed conservatively. However, recurrent hemorrhage ultimately caused an acute deterioration in mental status, aphasia, and hemiparesis, necessitating surgical resection. Pathology confirmed radiation-induced cavernous malformations. This represents the first case of a radiation-induced vascular lesion as a long-term sequela of radiosurgery for epilepsy and illustrates the potential for this complication even when low doses are used in patients without angiogenic lesions. Optimal timing and indications for surgical resection of radiation-induced cavernous malformations prior to the development of neurologic symptoms warrant further refinement. Long-term vigilance and clinical monitoring are required.
立体定向放射外科手术(SRS)是治疗药物难治性内侧颞叶癫痫的一种有前景的方法。用于癫痫的SRS具有可接受的安全性,有报告称辐射诱发的血管畸形局限于具有显著血管生成的中枢神经系统病变,即原发性脑肿瘤、转移瘤和动静脉畸形。癫痫放射外科手术后辐射诱发病变的理论风险尚未确定。在一项内侧颞叶癫痫的试点试验中治疗的13例患者中,有1例在放射外科手术后出现了多个延迟性辐射诱发的海绵状畸形。该患者接受了20 Gy的处方剂量,照射杏仁核、前海马体和海马旁回。治疗8年后,计算机断层扫描成像显示内侧颞叶出现逐渐发展的高密度影。磁共振成像证实左侧海马旁回和颞叶前部有多个T2低信号病变,核心为混合信号强度。患者最初采用保守治疗。然而,反复出血最终导致精神状态急性恶化、失语和偏瘫,需要进行手术切除。病理证实为辐射诱发的海绵状畸形。这是首例作为癫痫放射外科手术长期后遗症的辐射诱发血管病变,表明即使在没有血管生成病变的患者中使用低剂量时,这种并发症也有可能发生。在神经症状出现之前,手术切除辐射诱发的海绵状畸形的最佳时机和适应证有待进一步完善。需要长期的警惕和临床监测。