England Ryan W, Geer Eliza B, Deipolyi Amy R
Interventional Radiology Service, Memorial Sloan Kettering Cancer Center, New York, NY 10065, USA.
Multidisciplinary Pituitary and Skull Base Tumor Center, Memorial Sloan Kettering Cancer Center, New York, NY 10065, USA.
J Clin Med. 2018 May 14;7(5):114. doi: 10.3390/jcm7050114.
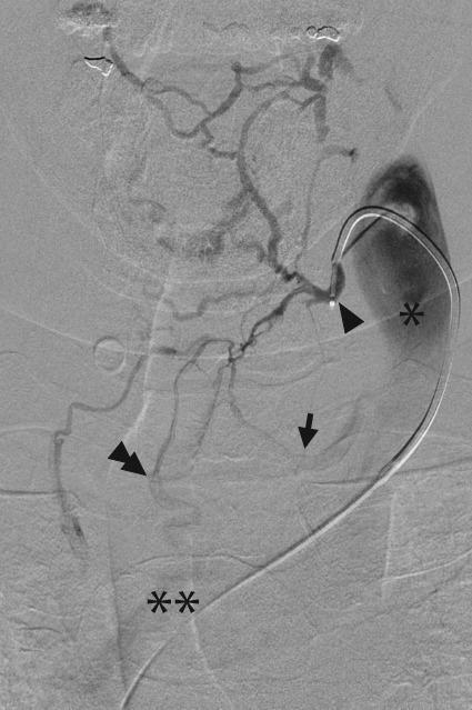
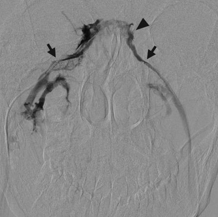
Venous sampling is the gold standard for localizing abnormal hormone secretion in several endocrine disorders. The most common indication for venous sampling is in the workup of primary aldosteronism, adrenocorticotropic hormone-dependent Cushing's syndrome, and hyperparathyroidism. In experienced hands, venous sampling is safe and accurate. This review discusses the role of venous sampling in the workup of endocrine disease, describing the underlying anatomy and pathophysiology, as an understanding of these concepts is essential for technical and clinical success.
静脉采血是几种内分泌疾病中定位异常激素分泌的金标准。静脉采血最常见的适应证是原发性醛固酮增多症、促肾上腺皮质激素依赖性库欣综合征和甲状旁腺功能亢进的检查。在经验丰富的医生操作下,静脉采血安全且准确。本综述讨论了静脉采血在内分泌疾病检查中的作用,描述了相关的基础解剖学和病理生理学,因为了解这些概念对于技术和临床成功至关重要。