Suppr超能文献

以喘息和呼吸衰竭为表现的乙状结肠癌弥漫性支气管内转移

Diffuse endobronchial metastasis from sigmoid carcinoma presenting as wheezing and respiratory failure.

作者信息

Jantarangsi Nattawat, Chantranuwatana Poonchavist, Chirakalwasan Naricha

机构信息

Division of Pulmonary and Critical Care Medicine, Department of Medicine, Faculty of Medicine Chulalongkorn University Bangkok Thailand.

Department of Pathology, Faculty of Medicine Chulalongkorn University Bangkok Thailand.

出版信息

Respirol Case Rep. 2018 May 8;6(5):e00328. doi: 10.1002/rcr2.328. eCollection 2018 Jul.

Abstract

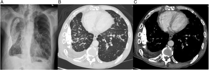
A 66-year-old Thai man with underlying asthma, history of traumatic right haemothorax, and sigmoid carcinoma with bladder invasion developed productive cough, whitish sputum, dyspnoea, and wheezing for 2 months. Physical examination showed generalized expiratory wheezing in both lungs. Computed tomography scan of the chest revealed diffuse thickening of bronchial wall, predominantly at lower lobes; several various sizes of pulmonary nodules; diffuse interlobular septal thickening; multiple enlarged mediastinal lymph nodes and hilar lymph nodes; and right pleural effusion. The patient was intubated for respiratory failure with persistent wheezing and, subsequently, with difficulty weaning from mechanical ventilation. Bronchoscopy was performed, which revealed diffuse multiple small mucosal nodules in both lungs. Pathology of the nodules showed foci of adenocarcinoma. Positive immunochemical staining with CDX2 confirmed the diagnosis of endobronchial metastasis of sigmoid carcinoma. This case highlighted a rare presentation of endobronchial metastasis from sigmoid carcinoma with persistent wheezing, respiratory failure, and difficulty in weaning from mechanical ventilation.

摘要

一名66岁的泰国男子,有哮喘病史、右侧创伤性血胸史,患有乙状结肠癌并侵犯膀胱,出现咳嗽、咳痰、呼吸困难和喘息2个月。体格检查显示双肺弥漫性呼气性哮鸣音。胸部计算机断层扫描显示支气管壁弥漫性增厚,主要位于下叶;有多个不同大小的肺结节;小叶间隔弥漫性增厚;纵隔和肺门多个淋巴结肿大;以及右侧胸腔积液。患者因呼吸衰竭伴持续性哮鸣音而插管,随后难以脱机。进行了支气管镜检查,发现双肺弥漫性多个小黏膜结节。结节病理显示腺癌灶。CDX2免疫化学染色阳性证实为乙状结肠癌支气管内转移。该病例突出了乙状结肠癌支气管内转移的罕见表现,伴有持续性哮鸣音、呼吸衰竭和脱机困难。

https://cdn.ncbi.nlm.nih.gov/pmc/blobs/f2c9/5939898/3942cd6cd152/RCR2-6-e00328-g001.jpg

文献AI研究员

20分钟写一篇综述,助力文献阅读效率提升50倍。

立即体验

用中文搜PubMed

大模型驱动的PubMed中文搜索引擎

马上搜索

文档翻译

学术文献翻译模型,支持多种主流文档格式。

立即体验