• 文献检索
  • 文档翻译
  • 深度研究
  • 学术资讯
  • Suppr Zotero 插件Zotero 插件
  • 邀请有礼
  • 套餐&价格
  • 历史记录
应用&插件
Suppr Zotero 插件Zotero 插件浏览器插件Mac 客户端Windows 客户端微信小程序
定价
高级版会员购买积分包购买API积分包
服务
文献检索文档翻译深度研究API 文档MCP 服务
关于我们
关于 Suppr公司介绍联系我们用户协议隐私条款
关注我们

Suppr 超能文献

核心技术专利:CN118964589B侵权必究
粤ICP备2023148730 号-1Suppr @ 2026

文献检索

告别复杂PubMed语法,用中文像聊天一样搜索,搜遍4000万医学文献。AI智能推荐,让科研检索更轻松。

立即免费搜索

文件翻译

保留排版,准确专业,支持PDF/Word/PPT等文件格式,支持 12+语言互译。

免费翻译文档

深度研究

AI帮你快速写综述,25分钟生成高质量综述,智能提取关键信息,辅助科研写作。

立即免费体验

微小 RNA-193b-3p 通过靶向 HDAC3 调节软骨生成和软骨细胞代谢。

MicroRNA-193b-3p regulates chondrogenesis and chondrocyte metabolism by targeting HDAC3.

机构信息

Department of Joint Surgery, First Affiliated Hospital of SunYat-sen University, Guangzhou, Guangdong 510080, China.

出版信息

Theranostics. 2018 Apr 15;8(10):2862-2883. doi: 10.7150/thno.23547. eCollection 2018.

DOI:10.7150/thno.23547
PMID:29774080
原文链接:https://pmc.ncbi.nlm.nih.gov/articles/PMC5957014/
Abstract

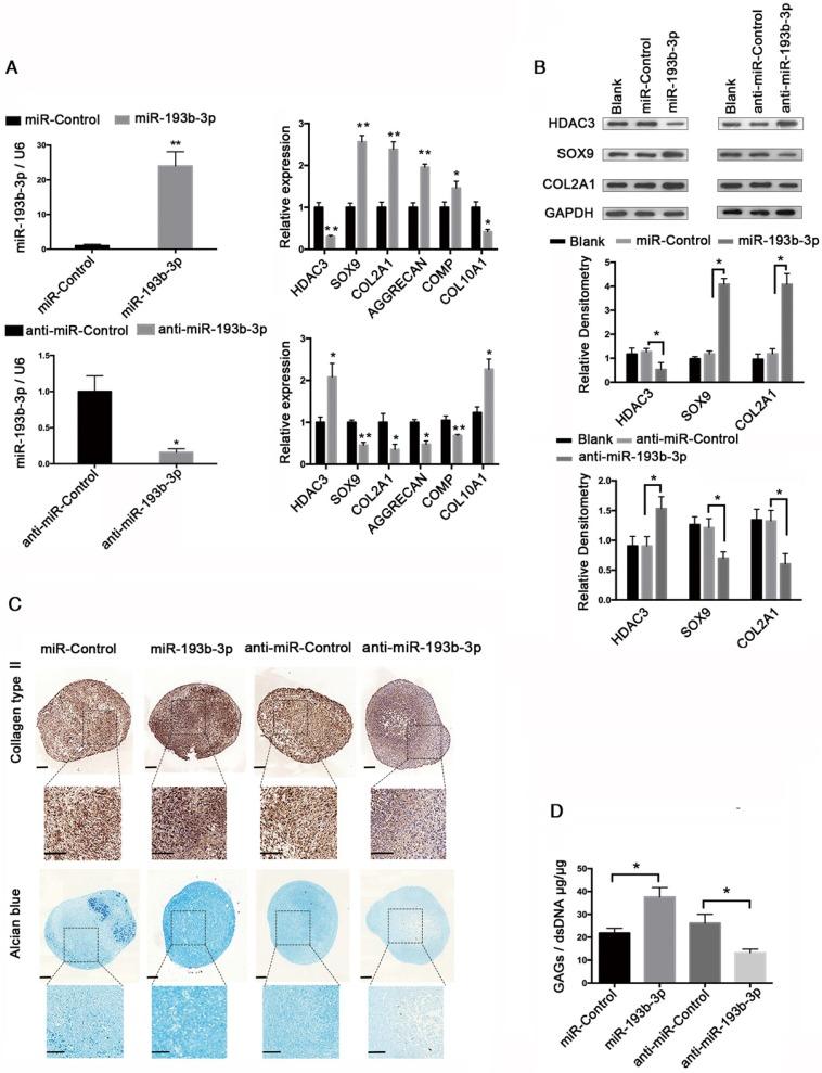
Histone deacetylase 3 (HDAC3) plays a pivotal role in the repression of cartilage-specific gene expression in human chondrocytes. The aim of this study was to determine whether microRNA-193b-3p (miR-193b-3p) regulates the expression of HDAC3 during chondrogenesis and chondrocyte metabolism. miR-193b-3p expression was assessed in a human mesenchymal stem cell (hMSC) model of chondrogenesis, in interleukin-1β (IL-1β)-treated primary human chondrocytes (PHCs), and in non-degraded and degraded cartilage. hMSCs and PHCs were transfected with miR-193b-3p or its antisense inhibitor. A direct interaction between miR-193b-3p and its putative binding site in the 3'-untranslated region (3'-UTR) of HDAC3 mRNA was confirmed by performing luciferase reporter assays. Chondrocytes were transfected with miR-193b-3p before performing a chromatin immunoprecipitation assay with an anti-acetylated histone H3 antibody. To investigate miR-193b-3p-transfected PHCs , they were seeded in tricalcium phosphate-collagen-hyaluronate (TCP-COL-HA) scaffolds, which were then implanted in nude mice. In addition, plasma exosomal miR-193b-3p in samples from normal controls and patients with osteoarthritis (OA) were measured. miR-193b-3p expression was elevated in chondrogenic and hypertrophic hMSCs, while expression was significantly reduced in degraded cartilage compared to non-degraded cartilage. In addition, miR-193b-3p suppressed the activity of reporter constructs containing the 3'-UTR of HDAC3, inhibited HDAC3 expression, and promoted histone H3 acetylation in the , , , and promoters. Treatment with the HDAC inhibitor trichostatin A (TSA) increased cartilage-specific gene expression and enhanced hMSCs chondrogenesis. TSA also increased AGGRECAN expression and decreased MMP13 expression in IL-1β-treated PHCs. Further, 8 weeks after implanting PHC-seeded TCP-COL-HA scaffolds subcutaneously in nude mice, we found that miR-193b overexpression strongly enhanced cartilage formation compared to that found under control conditions. We also found that patients with OA had lower plasma exosomal miR-193b levels than control subjects. These findings indicate that miR-193b-3p directly targets HDAC3, promotes H3 acetylation, and regulates hMSC chondrogenesis and metabolism in PHCs.

摘要

组蛋白去乙酰化酶 3(HDAC3)在人类软骨细胞中抑制软骨特异性基因表达中起关键作用。本研究旨在确定 microRNA-193b-3p(miR-193b-3p)是否在软骨生成和软骨细胞代谢过程中调节 HDAC3 的表达。在人骨髓间充质干细胞(hMSC)软骨生成模型中、白细胞介素 1β(IL-1β)处理的原代人软骨细胞(PHC)中以及未降解和降解软骨中评估了 miR-193b-3p 的表达。hMSC 和 PHC 转染 miR-193b-3p 或其反义抑制剂。通过进行荧光素酶报告基因测定,证实 miR-193b-3p 与其假定的结合位点在 HDAC3 mRNA 的 3'-非翻译区(3'-UTR)之间存在直接相互作用。在使用抗乙酰化组蛋白 H3 抗体进行染色质免疫沉淀测定之前,用 miR-193b-3p 转染软骨细胞。为了研究转染 miR-193b-3p 的 PHC,将它们接种在三钙磷酸盐-胶原-透明质酸(TCP-COL-HA)支架中,然后将其植入裸鼠中。此外,还测量了来自正常对照者和骨关节炎(OA)患者的血浆外泌体 miR-193b-3p。与非降解软骨相比,在软骨生成和肥大的 hMSC 中 miR-193b-3p 的表达升高,而在降解软骨中表达显著降低。此外,miR-193b-3p 抑制包含 HDAC3 3'-UTR 的报告构建体的活性,抑制 HDAC3 的表达,并在 、 、 和 启动子中促进组蛋白 H3 乙酰化。用组蛋白去乙酰化酶抑制剂曲古抑菌素 A(TSA)处理可增加软骨特异性基因表达并增强 hMSC 软骨生成。TSA 还增加了 IL-1β 处理的 PHC 中的 AGGRECAN 表达并降低了 MMP13 的表达。此外,在裸鼠皮下植入 PHC 接种的 TCP-COL-HA 支架 8 周后,我们发现与对照条件下相比,miR-193b 的过表达强烈增强了 软骨形成。我们还发现,OA 患者的血浆外泌体 miR-193b 水平低于对照者。这些发现表明,miR-193b-3p 直接靶向 HDAC3,促进 H3 乙酰化,并调节 hMSC 软骨生成和 PHC 中的代谢。

https://cdn.ncbi.nlm.nih.gov/pmc/blobs/930d/5957014/1c16f1eb5f4d/thnov08p2862g010.jpg
https://cdn.ncbi.nlm.nih.gov/pmc/blobs/930d/5957014/b26bb8d4939f/thnov08p2862g001.jpg
https://cdn.ncbi.nlm.nih.gov/pmc/blobs/930d/5957014/7829fcdcb267/thnov08p2862g002.jpg
https://cdn.ncbi.nlm.nih.gov/pmc/blobs/930d/5957014/e3043627854a/thnov08p2862g003.jpg
https://cdn.ncbi.nlm.nih.gov/pmc/blobs/930d/5957014/25fa17e3803c/thnov08p2862g004.jpg
https://cdn.ncbi.nlm.nih.gov/pmc/blobs/930d/5957014/fd6c88ad88ae/thnov08p2862g005.jpg
https://cdn.ncbi.nlm.nih.gov/pmc/blobs/930d/5957014/7309d51cd077/thnov08p2862g006.jpg
https://cdn.ncbi.nlm.nih.gov/pmc/blobs/930d/5957014/e51d6f894aa5/thnov08p2862g007.jpg
https://cdn.ncbi.nlm.nih.gov/pmc/blobs/930d/5957014/360cd4e1de96/thnov08p2862g008.jpg
https://cdn.ncbi.nlm.nih.gov/pmc/blobs/930d/5957014/db3175d401d1/thnov08p2862g009.jpg
https://cdn.ncbi.nlm.nih.gov/pmc/blobs/930d/5957014/1c16f1eb5f4d/thnov08p2862g010.jpg
https://cdn.ncbi.nlm.nih.gov/pmc/blobs/930d/5957014/b26bb8d4939f/thnov08p2862g001.jpg
https://cdn.ncbi.nlm.nih.gov/pmc/blobs/930d/5957014/7829fcdcb267/thnov08p2862g002.jpg
https://cdn.ncbi.nlm.nih.gov/pmc/blobs/930d/5957014/e3043627854a/thnov08p2862g003.jpg
https://cdn.ncbi.nlm.nih.gov/pmc/blobs/930d/5957014/25fa17e3803c/thnov08p2862g004.jpg
https://cdn.ncbi.nlm.nih.gov/pmc/blobs/930d/5957014/fd6c88ad88ae/thnov08p2862g005.jpg
https://cdn.ncbi.nlm.nih.gov/pmc/blobs/930d/5957014/7309d51cd077/thnov08p2862g006.jpg
https://cdn.ncbi.nlm.nih.gov/pmc/blobs/930d/5957014/e51d6f894aa5/thnov08p2862g007.jpg
https://cdn.ncbi.nlm.nih.gov/pmc/blobs/930d/5957014/360cd4e1de96/thnov08p2862g008.jpg
https://cdn.ncbi.nlm.nih.gov/pmc/blobs/930d/5957014/db3175d401d1/thnov08p2862g009.jpg
https://cdn.ncbi.nlm.nih.gov/pmc/blobs/930d/5957014/1c16f1eb5f4d/thnov08p2862g010.jpg

相似文献

1
MicroRNA-193b-3p regulates chondrogenesis and chondrocyte metabolism by targeting HDAC3.微小 RNA-193b-3p 通过靶向 HDAC3 调节软骨生成和软骨细胞代谢。
Theranostics. 2018 Apr 15;8(10):2862-2883. doi: 10.7150/thno.23547. eCollection 2018.
2
MicroRNA-92a-3p regulates the expression of cartilage-specific genes by directly targeting histone deacetylase 2 in chondrogenesis and degradation.微小RNA-92a-3p通过在软骨形成和降解过程中直接靶向组蛋白去乙酰化酶2来调节软骨特异性基因的表达。
Osteoarthritis Cartilage. 2017 Apr;25(4):521-532. doi: 10.1016/j.joca.2016.11.006. Epub 2016 Nov 21.
3
MicroRNA-455-3p modulates cartilage development and degeneration through modification of histone H3 acetylation.微小RNA-455-3p通过修饰组蛋白H3乙酰化来调节软骨发育和退变。
Biochim Biophys Acta. 2016 Dec;1863(12):2881-2891. doi: 10.1016/j.bbamcr.2016.09.010. Epub 2016 Sep 13.
4
miR-193b-5p regulates chondrocytes metabolism by directly targeting histone deacetylase 7 in interleukin-1β-induced osteoarthritis.miR-193b-5p 通过直接靶向白细胞介素 1β诱导的骨关节炎中的组蛋白去乙酰化酶 7 来调节软骨细胞代谢。
J Cell Biochem. 2019 Aug;120(8):12775-12784. doi: 10.1002/jcb.28545. Epub 2019 Mar 10.
5
MicroRNA-92a-3p Regulates Aggrecanase-1 and Aggrecanase-2 Expression in Chondrogenesis and IL-1β-Induced Catabolism in Human Articular Chondrocytes.微小RNA-92a-3p在人关节软骨细胞软骨形成和白细胞介素-1β诱导的分解代谢中调节聚集蛋白聚糖酶-1和聚集蛋白聚糖酶-2的表达。
Cell Physiol Biochem. 2017;44(1):38-52. doi: 10.1159/000484579. Epub 2017 Nov 3.
6
Exosomes derived from miR-92a-3p-overexpressing human mesenchymal stem cells enhance chondrogenesis and suppress cartilage degradation via targeting WNT5A.来源于 miR-92a-3p 过表达的人骨髓间充质干细胞的外泌体通过靶向 WNT5A 增强软骨生成并抑制软骨降解。
Stem Cell Res Ther. 2018 Sep 26;9(1):247. doi: 10.1186/s13287-018-1004-0.
7
MicroRNA-193b-3p regulates matrix metalloproteinase 19 expression in interleukin-1β-induced human chondrocytes.微小 RNA-193b-3p 调控白细胞介素-1β诱导的人软骨细胞中基质金属蛋白酶 19 的表达。
J Cell Biochem. 2018 Jun;119(6):4775-4782. doi: 10.1002/jcb.26669. Epub 2018 Mar 1.
8
Exosomal miR-95-5p regulates chondrogenesis and cartilage degradation via histone deacetylase 2/8.外泌体 miR-95-5p 通过组蛋白去乙酰化酶 2/8 调控软骨生成和软骨降解。
J Cell Mol Med. 2018 Nov;22(11):5354-5366. doi: 10.1111/jcmm.13808. Epub 2018 Jul 31.
9
MicroRNA-320 regulates matrix metalloproteinase-13 expression in chondrogenesis and interleukin-1β-induced chondrocyte responses.MicroRNA-320 调节软骨生成中的基质金属蛋白酶-13 表达和白细胞介素-1β诱导的软骨细胞反应。
Osteoarthritis Cartilage. 2016 May;24(5):932-41. doi: 10.1016/j.joca.2015.12.012. Epub 2016 Jan 14.
10
MicroRNA-381 Regulates Chondrocyte Hypertrophy by Inhibiting Histone Deacetylase 4 Expression.微小RNA-381通过抑制组蛋白去乙酰化酶4的表达来调节软骨细胞肥大。
Int J Mol Sci. 2016 Aug 23;17(9):1377. doi: 10.3390/ijms17091377.

引用本文的文献

1
Antioxidant functionalized double-net/TA dynamic hydrogel promotes cartilage regeneration through stabilization of chondrocyte phenotype.抗氧化剂功能化双网络/TA动态水凝胶通过稳定软骨细胞表型促进软骨再生。
Mater Today Bio. 2025 Aug 16;34:102203. doi: 10.1016/j.mtbio.2025.102203. eCollection 2025 Oct.
2
Extracellular vesicles in osteoarthritis: mechanisms, therapeutic potential, and diagnostic applications.骨关节炎中的细胞外囊泡:作用机制、治疗潜力及诊断应用
Front Immunol. 2025 Aug 13;16:1595095. doi: 10.3389/fimmu.2025.1595095. eCollection 2025.
3
Secretome and extracellular vesicle signatures in bone marrow-derived mesenchymal stromal cells after expansion in standard and next-generation media.

本文引用的文献

1
MicroRNA-193b-3p regulates matrix metalloproteinase 19 expression in interleukin-1β-induced human chondrocytes.微小 RNA-193b-3p 调控白细胞介素-1β诱导的人软骨细胞中基质金属蛋白酶 19 的表达。
J Cell Biochem. 2018 Jun;119(6):4775-4782. doi: 10.1002/jcb.26669. Epub 2018 Mar 1.
2
Hsa_circ_0045714 regulates chondrocyte proliferation, apoptosis and extracellular matrix synthesis by promoting the expression of miR-193b target gene IGF1R.Hsa_circ_0045714通过促进miR-193b靶基因IGF1R的表达来调节软骨细胞的增殖、凋亡和细胞外基质合成。
Hum Cell. 2017 Oct;30(4):311-318. doi: 10.1007/s13577-017-0177-7. Epub 2017 Aug 9.
3
在标准培养基和新一代培养基中扩增后骨髓间充质基质细胞的分泌组和细胞外囊泡特征
Extracell Vesicles Circ Nucl Acids. 2025 Apr 29;6(2):195-215. doi: 10.20517/evcna.2024.99. eCollection 2025.
4
Multi-omics analysis of small extracellular vesicles in osteoarthritis: bridging the gap between molecular insights and clinical applications.骨关节炎中小细胞外囊泡的多组学分析:弥合分子见解与临床应用之间的差距
Burns Trauma. 2025 Mar 20;13:tkaf023. doi: 10.1093/burnst/tkaf023. eCollection 2025.
5
Landscape of Histone Posttranslational Modifications in Osteoarthritis.骨关节炎中组蛋白翻译后修饰的图谱
J Inflamm Res. 2025 Jun 17;18:7893-7906. doi: 10.2147/JIR.S514599. eCollection 2025.
6
P13-516M14.1 Regulates Autophagy Through miR-429 via Both a ceRNA Network and Direct Interaction.P13 - 516M14.1通过ceRNA网络和直接相互作用经由miR - 429调控自噬。
Biochem Genet. 2025 May 28. doi: 10.1007/s10528-025-11143-x.
7
The status and hotspot analysis of research on extracellular vesicles and osteoarthritis: a bibliometric analysis.细胞外囊泡与骨关节炎研究的现状及热点分析:一项文献计量分析
Front Pharmacol. 2025 Mar 31;16:1484437. doi: 10.3389/fphar.2025.1484437. eCollection 2025.
8
Synaptotagmin-1 attenuates myocardial programmed necrosis and ischemia/reperfusion injury through the mitochondrial pathway.突触结合蛋白-1通过线粒体途径减轻心肌程序性坏死和缺血/再灌注损伤。
Cell Death Dis. 2025 Jan 26;16(1):45. doi: 10.1038/s41419-025-07360-2.
9
Differentiation of stem cells into chondrocytes and their potential clinical application in cartilage regeneration.干细胞向软骨细胞的分化及其在软骨再生中的潜在临床应用。
Histochem Cell Biol. 2025 Jan 25;163(1):27. doi: 10.1007/s00418-025-02356-7.
10
NLRP3 Inflammasome-Mediated Osteoarthritis: The Role of Epigenetics.NLRP3炎性小体介导的骨关节炎:表观遗传学的作用
Biology (Basel). 2025 Jan 14;14(1):71. doi: 10.3390/biology14010071.
Histone Deacetylase 3 Deletion in Mesenchymal Progenitor Cells Hinders Long Bone Development.
组蛋白去乙酰化酶 3 在间质祖细胞中的缺失阻碍长骨发育。
J Bone Miner Res. 2017 Dec;32(12):2453-2465. doi: 10.1002/jbmr.3236. Epub 2017 Sep 18.
4
Emerging potential of gene silencing approaches targeting anti-chondrogenic factors for cell-based cartilage repair.靶向抗软骨生成因子的基因沉默方法在基于细胞的软骨修复中的新兴潜力。
Cell Mol Life Sci. 2017 Oct;74(19):3451-3465. doi: 10.1007/s00018-017-2531-z. Epub 2017 Apr 22.
5
Circulating Exosomal MicroRNA-21 as a Biomarker in Each Tumor Stage of Colorectal Cancer.循环外泌体微小RNA-21作为结直肠癌各肿瘤分期的生物标志物
Oncology. 2017;92(6):360-370. doi: 10.1159/000463387. Epub 2017 Apr 5.
6
MicroRNA-92a-3p regulates the expression of cartilage-specific genes by directly targeting histone deacetylase 2 in chondrogenesis and degradation.微小RNA-92a-3p通过在软骨形成和降解过程中直接靶向组蛋白去乙酰化酶2来调节软骨特异性基因的表达。
Osteoarthritis Cartilage. 2017 Apr;25(4):521-532. doi: 10.1016/j.joca.2016.11.006. Epub 2016 Nov 21.
7
MicroRNA-455-3p modulates cartilage development and degeneration through modification of histone H3 acetylation.微小RNA-455-3p通过修饰组蛋白H3乙酰化来调节软骨发育和退变。
Biochim Biophys Acta. 2016 Dec;1863(12):2881-2891. doi: 10.1016/j.bbamcr.2016.09.010. Epub 2016 Sep 13.
8
MicroRNA-381 Regulates Chondrocyte Hypertrophy by Inhibiting Histone Deacetylase 4 Expression.微小RNA-381通过抑制组蛋白去乙酰化酶4的表达来调节软骨细胞肥大。
Int J Mol Sci. 2016 Aug 23;17(9):1377. doi: 10.3390/ijms17091377.
9
Histone deacetylase 3 supports endochondral bone formation by controlling cytokine signaling and matrix remodeling.组蛋白去乙酰化酶3通过控制细胞因子信号传导和基质重塑来支持软骨内骨形成。
Sci Signal. 2016 Aug 9;9(440):ra79. doi: 10.1126/scisignal.aaf3273.
10
Histone Deacetylases in Cartilage Homeostasis and Osteoarthritis.组蛋白去乙酰化酶在软骨稳态和骨关节炎中的作用。
Curr Rheumatol Rep. 2016 Aug;18(8):52. doi: 10.1007/s11926-016-0602-z.