• 文献检索
  • 文档翻译
  • 深度研究
  • 学术资讯
  • Suppr Zotero 插件Zotero 插件
  • 邀请有礼
  • 套餐&价格
  • 历史记录
应用&插件
Suppr Zotero 插件Zotero 插件浏览器插件Mac 客户端Windows 客户端微信小程序
定价
高级版会员购买积分包购买API积分包
服务
文献检索文档翻译深度研究API 文档MCP 服务
关于我们
关于 Suppr公司介绍联系我们用户协议隐私条款
关注我们

Suppr 超能文献

核心技术专利:CN118964589B侵权必究
粤ICP备2023148730 号-1Suppr @ 2026

文献检索

告别复杂PubMed语法,用中文像聊天一样搜索,搜遍4000万医学文献。AI智能推荐,让科研检索更轻松。

立即免费搜索

文件翻译

保留排版,准确专业,支持PDF/Word/PPT等文件格式,支持 12+语言互译。

免费翻译文档

深度研究

AI帮你快速写综述,25分钟生成高质量综述,智能提取关键信息,辅助科研写作。

立即免费体验

肥厚型心肌病致心尖部动脉瘤、心肌灌注缺损伴心肌坏死1例报告

A case report of apical aneurysms and myocardial perfusion deficit with myocardial necrosis due to hypertrophic cardiomyopathy.

作者信息

Gao Xiangyu, Yang Jigang, Zhang Xiaojie, Wang Ping, Li Hongwei

机构信息

Department of Cardiology Department of Nuclear Medicine Department of Radiology, Beijing Friendship Hospital, Capital Medical University, Xicheng District Beijing Key Laboratory of Metabolic Disorders Related Cardiovascular Disease, Beijing, China.

出版信息

Medicine (Baltimore). 2018 May;97(21):e10829. doi: 10.1097/MD.0000000000010829.

DOI:10.1097/MD.0000000000010829
PMID:29794772
原文链接:https://pmc.ncbi.nlm.nih.gov/articles/PMC6392610/
Abstract

RATIONALE

Hypertrophic cardiomyopathy (HCM) is a disease that is characterized by inappropriate left ventricular and/or right ventricular hypertrophy and hypercontractility that is often asymmetrical and associated with microscopic evidence of myocardial fiber disarray. The aim of this study was to present a previously under-recognized subset of HCM patients with left ventricular (LV) apical aneurysms.

PATIENTS CONCERNS

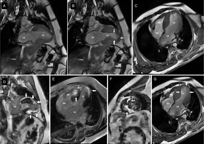
A 33-year-old man who presented with chest discomfort for 10 days. He had an emerging apical aneurysm in the LV without midventricular obstruction. He had been diagnosed with apical HCM via abnormal electrocardiograms (ECG) and single-photon emission computed tomography (SPECT) for 10 years. This time, a new significant change in ECG and SPECT was identified. Late gadolinium enhancement (LGE) was observed by cardiac magnetic resonance imaging (MRI), and SPECT showed myocardial fibrosis or necrosis involving the apical aneurysm and proximal portion of the heart, which was confirmed by left ventriculography.

DIAGNOSES

We present a relatively rare case of HCM patients with apical aneurysms, accompaning by myocardial necrosis markers increased due to ventricular muscle stress increases, rather than obstructive coronary artery disease.

INTERVENTIONS

The patient was prescribed aspirin, metoprolol tartrate, perindopril, and atorvastatin and was strongly advised to quit cigarettes and reduce weight.

OUTCOMES

Follow-up at half a year turned out well.

LESSONS

LGE with a notable progression by ECG and SPECT along with an increase in myocardial necrosis markers in HCM patients with apical aneurysms, as was noted in the present case, is a relatively rare occurrence. Our present case may provide unique insights into the adverse remodelling process and the formation of apical aneurysms in HCM patients.

摘要

原理

肥厚型心肌病(HCM)是一种以不适当的左心室和/或右心室肥厚及收缩亢进为特征的疾病,通常呈不对称性,且伴有心肌纤维排列紊乱的微观证据。本研究的目的是介绍一组此前未被充分认识的患有左心室心尖部动脉瘤的HCM患者。

患者情况

一名33岁男性,因胸部不适10天前来就诊。他左心室出现了一个新的心尖部动脉瘤,无室中隔梗阻。他通过异常心电图(ECG)和单光子发射计算机断层扫描(SPECT)被诊断为心尖部HCM已有10年。此次,ECG和SPECT出现了新的显著变化。心脏磁共振成像(MRI)观察到晚期钆增强(LGE),SPECT显示心肌纤维化或坏死累及心尖部动脉瘤及心脏近端部分,左心室造影证实了这一点。

诊断

我们报告了一例相对罕见的患有心尖部动脉瘤的HCM患者,其心肌坏死标志物因心室肌压力增加而升高,而非梗阻性冠状动脉疾病所致。

干预措施

给该患者开了阿司匹林、酒石酸美托洛尔、培哚普利和阿托伐他汀,并强烈建议其戒烟和减重。

结果

半年随访情况良好。

经验教训

如本病例所示,伴有心尖部动脉瘤的HCM患者中,LGE通过ECG和SPECT出现显著进展,同时心肌坏死标志物升高,这种情况相对罕见。我们目前的病例可能为HCM患者不良重塑过程及心尖部动脉瘤的形成提供独特见解。

https://cdn.ncbi.nlm.nih.gov/pmc/blobs/8248/6392610/0247158793e8/medi-97-e10829-g004.jpg
https://cdn.ncbi.nlm.nih.gov/pmc/blobs/8248/6392610/cf5c7d431b23/medi-97-e10829-g001.jpg
https://cdn.ncbi.nlm.nih.gov/pmc/blobs/8248/6392610/7ca424ed68a3/medi-97-e10829-g002.jpg
https://cdn.ncbi.nlm.nih.gov/pmc/blobs/8248/6392610/151f311bb515/medi-97-e10829-g003.jpg
https://cdn.ncbi.nlm.nih.gov/pmc/blobs/8248/6392610/0247158793e8/medi-97-e10829-g004.jpg
https://cdn.ncbi.nlm.nih.gov/pmc/blobs/8248/6392610/cf5c7d431b23/medi-97-e10829-g001.jpg
https://cdn.ncbi.nlm.nih.gov/pmc/blobs/8248/6392610/7ca424ed68a3/medi-97-e10829-g002.jpg
https://cdn.ncbi.nlm.nih.gov/pmc/blobs/8248/6392610/151f311bb515/medi-97-e10829-g003.jpg
https://cdn.ncbi.nlm.nih.gov/pmc/blobs/8248/6392610/0247158793e8/medi-97-e10829-g004.jpg

相似文献

1
A case report of apical aneurysms and myocardial perfusion deficit with myocardial necrosis due to hypertrophic cardiomyopathy.肥厚型心肌病致心尖部动脉瘤、心肌灌注缺损伴心肌坏死1例报告
Medicine (Baltimore). 2018 May;97(21):e10829. doi: 10.1097/MD.0000000000010829.
2
Hypertrophic cardiomyopathy with apical left ventricular aneurysm.肥厚型心肌病伴左心室心尖部室壁瘤
Jpn Circ J. 1998 Feb;62(2):127-31. doi: 10.1253/jcj.62.127.
3
Dual-single photon emission computed tomography and contrast-enhanced magnetic resonance imaging to evaluate dissimilar features of apical hypertrophic cardiomyopathy.双单光子发射计算机断层扫描和对比增强磁共振成像评估心尖肥厚型心肌病的不同特征。
Cardiol J. 2010;17(3):306-11.
4
Subaortic and mid-ventricular obstructive hypertrophic cardiomyopathy with an apical aneurysm: a case report.伴有心尖部动脉瘤的主动脉瓣下及心室中部梗阻性肥厚型心肌病:一例报告
Cardiovasc Ultrasound. 2006 Mar 22;4:15. doi: 10.1186/1476-7120-4-15.
5
Doppler Systolic Signal Void in Hypertrophic Cardiomyopathy: Apical Aneurysm and Severe Obstruction without Elevated Intraventricular Velocities.肥厚型心肌病中的多普勒收缩期信号缺失:心尖部瘤样扩张和严重梗阻而心室速度不高。
J Am Soc Echocardiogr. 2015 Dec;28(12):1462-73. doi: 10.1016/j.echo.2015.08.015. Epub 2015 Sep 28.
6
Correlation of left ventricular dyssynchrony on gated myocardial perfusion SPECT analysis with extent of late gadolinium enhancement on cardiac magnetic resonance imaging in hypertrophic cardiomyopathy.肥厚型心肌病患者门控心肌灌注单光子发射计算机断层扫描分析中左心室不同步与心脏磁共振成像延迟钆增强范围的相关性
Heart Vessels. 2018 Jun;33(6):623-629. doi: 10.1007/s00380-017-1104-2. Epub 2017 Dec 11.
7
Mid-ventricular obstructive hypertrophic cardiomyopathy with apical aneurysm: An important subtype of arrhythmogenic cardiomyopathy.伴心尖部室壁瘤的心室中部梗阻性肥厚型心肌病:致心律失常性心肌病的一种重要亚型。
Ann Noninvasive Electrocardiol. 2019 Sep;24(5):e12638. doi: 10.1111/anec.12638. Epub 2019 Feb 9.
8
Apical Aneurysms and Mid-Left Ventricular Obstruction in Hypertrophic Cardiomyopathy.肥厚型心肌病中的心尖动脉瘤和左心室中部梗阻。
JACC Cardiovasc Imaging. 2023 May;16(5):591-605. doi: 10.1016/j.jcmg.2022.11.013. Epub 2023 Jan 11.
9
A rare case of hypertrophic cardiomyopathy with subendocardial late gadolinium enhancement in an apical aneurysm with thrombus.1例罕见的肥厚型心肌病,心尖部动脉瘤合并血栓形成,内膜下钆延迟强化。
Case Rep Radiol. 2014;2014:780840. doi: 10.1155/2014/780840. Epub 2014 Jun 25.
10
3.0 T magnetic resonance myocardial perfusion imaging for semi-quantitative evaluation of coronary microvascular dysfunction in hypertrophic cardiomyopathy.3.0 T磁共振心肌灌注成像用于肥厚型心肌病冠状动脉微血管功能障碍的半定量评估
Int J Cardiovasc Imaging. 2017 Dec;33(12):1949-1959. doi: 10.1007/s10554-017-1189-9. Epub 2017 Jun 13.

引用本文的文献

1
Glycogen storage disease in a young cat with heart failure.年轻患心力衰竭猫的糖原贮积症。
J Vet Intern Med. 2022 Jan;36(1):259-263. doi: 10.1111/jvim.16339. Epub 2021 Dec 23.
2
Cardiomyopathies in China: A 2018-2019 state-of-the-art review.中国的心肌病:2018 - 2019年最新综述
Chronic Dis Transl Med. 2020 Jul 5;6(4):224-238. doi: 10.1016/j.cdtm.2020.05.006. eCollection 2020 Dec.

本文引用的文献

1
Hypertrophic Cardiomyopathy With Left Ventricular Apical Aneurysm: Implications for Risk Stratification and Management.肥厚型心肌病伴左心室心尖部瘤:风险分层和管理的意义。
J Am Coll Cardiol. 2017 Feb 21;69(7):761-773. doi: 10.1016/j.jacc.2016.11.063.
2
Electrocardiographic evolution in patients with hypertrophic cardiomyopathy who develop a left ventricular apical aneurysm.肥厚型心肌病患者发生左心室心尖部动脉瘤时的心电图演变
J Electrocardiol. 2015 Sep-Oct;48(5):818-25. doi: 10.1016/j.jelectrocard.2015.06.004. Epub 2015 Jun 4.
3
A rare case of hypertrophic cardiomyopathy with subendocardial late gadolinium enhancement in an apical aneurysm with thrombus.
1例罕见的肥厚型心肌病,心尖部动脉瘤合并血栓形成,内膜下钆延迟强化。
Case Rep Radiol. 2014;2014:780840. doi: 10.1155/2014/780840. Epub 2014 Jun 25.
4
Evolution of hypertrophic cardiomyopathy to a contemporary treatable disease.肥厚型心肌病向一种当代可治疗疾病的演变。
Circulation. 2012 Sep 25;126(13):1640-4. doi: 10.1161/CIRCULATIONAHA.112.123174.
5
Hypertrophic cardiomyopathy with left ventricular apical aneurysm in brothers.兄弟俩均患有肥厚型心肌病伴左心室心尖部瘤。
Am J Cardiol. 2011 Aug 15;108(4):612-3. doi: 10.1016/j.amjcard.2011.03.094. Epub 2011 Jun 20.
6
Prevalence, clinical significance, and natural history of left ventricular apical aneurysms in hypertrophic cardiomyopathy.肥厚型心肌病中左心室心尖部室壁瘤的患病率、临床意义及自然病史
Circulation. 2008 Oct 7;118(15):1541-9. doi: 10.1161/CIRCULATIONAHA.108.781401. Epub 2008 Sep 22.
7
A population study of endomyocardial fibrosis in a rural area of Mozambique.莫桑比克农村地区心内膜心肌纤维化的人群研究。
N Engl J Med. 2008 Jul 3;359(1):43-9. doi: 10.1056/NEJMoa0708629.
8
Magnetic resonance imaging of apical left ventricular aneurysm and thinning associated with hypertrophic cardiomyopathy.肥厚型心肌病相关的左心室心尖部动脉瘤及心肌变薄的磁共振成像
J Comput Assist Tomogr. 2008 Mar-Apr;32(2):259-64. doi: 10.1097/RCT.0b013e318074fdbc.
9
Mid-ventricular hypertrophic obstructive cardiomyopathy presenting with acute myocardial infarction.以急性心肌梗死为表现的心室中部肥厚型梗阻性心肌病
Tex Heart Inst J. 2007;34(4):475-8.
10
Apical hypertrophic cardiomyopathy with midventricular obstruction and apical aneurysm.伴有心室中部梗阻及心尖部动脉瘤的肥厚型心肌病
Int J Cardiol. 2007 Jan 8;114(2):E45-7. doi: 10.1016/j.ijcard.2006.07.208. Epub 2006 Oct 27.