Suppr超能文献

一名绝经后女性的寄生性平滑肌瘤表现为腹股沟疝。

Parasitic leiomyoma presenting as an inguinal hernia in a postmenopausal woman.

作者信息

Bhargava Peeyush, Haque Kabiul, Vea Romulo, Turbat-Herrera Elba, Chu Quyen, Sangster Guillermo, D'Agostino Horacio

机构信息

Department of Radiology, LSU Health, 1501 Kings Hwy, Shreveport, LA 71103, USA.

Department of Family Medicine, LSU Health, 1501 Kings Hwy, Shreveport, LA 71103, USA.

出版信息

Radiol Case Rep. 2018 Jun 7;13(4):767-771. doi: 10.1016/j.radcr.2018.04.014. eCollection 2018 Aug.

Abstract

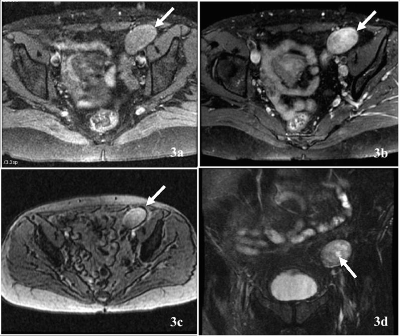
Uterine leiomyomas are one of the most common tumors affecting reproductive-age women. Leiomyomas can present as an intrauterine mass or rarely as an extrauterine tumor. Depending on its location, the diagnosis of extrauterine leiomyoma can be challenging, and multiple imaging modalities may be needed for correct identification and differentiation from malignant entities. We report the case of a 48-year-old-postmenopausal female who presented with a painful left inguinal mass, which was clinically diagnosed as inguinal hernia. Ultrasound, computed tomography, magnetic resonance imaging, and percutaneous biopsy were used to characterize the mass. Surgical resection and histopathological analysis revealed the mass to be a parasitic leiomyoma, a very rare cause of inguinal hernia, especially in a postmenopausal woman.

摘要

子宫平滑肌瘤是影响育龄女性的最常见肿瘤之一。平滑肌瘤可表现为子宫内肿物,极少情况下表现为子宫外肿瘤。根据其位置,子宫外平滑肌瘤的诊断可能具有挑战性,可能需要多种成像方式来正确识别并与恶性病变相鉴别。我们报告一例48岁绝经后女性病例,该患者出现左侧腹股沟肿物伴疼痛,临床诊断为腹股沟疝。通过超声、计算机断层扫描、磁共振成像及经皮活检对肿物进行特征性描述。手术切除及组织病理学分析显示该肿物为寄生性平滑肌瘤,这是腹股沟疝非常罕见的病因,尤其在绝经后女性中。

https://cdn.ncbi.nlm.nih.gov/pmc/blobs/f007/5991889/3e433cecce15/gr1.jpg

文献AI研究员

20分钟写一篇综述,助力文献阅读效率提升50倍。

立即体验

用中文搜PubMed

大模型驱动的PubMed中文搜索引擎

马上搜索

文档翻译

学术文献翻译模型,支持多种主流文档格式。

立即体验