Suppr超能文献

抛锚:通过 A-LPS 将肽基精氨酸脱亚氨酶连接到牙龈卟啉单胞菌分泌的外膜囊泡上。

Dropping anchor: attachment of peptidylarginine deiminase via A-LPS to secreted outer membrane vesicles of Porphyromonas gingivalis.

机构信息

University of Groningen, University Medical Center Groningen, Center for Dentistry and Oral Hygiene, Antonius Deusinglaan 1, 9713 AV, Groningen, The Netherlands.

University of Groningen, University Medical Center Groningen, Department of Medical Microbiology, Hanzeplein 1, P.O. box 30001, 9700 RB, Groningen, The Netherlands.

出版信息

Sci Rep. 2018 Jun 12;8(1):8949. doi: 10.1038/s41598-018-27223-5.

Abstract

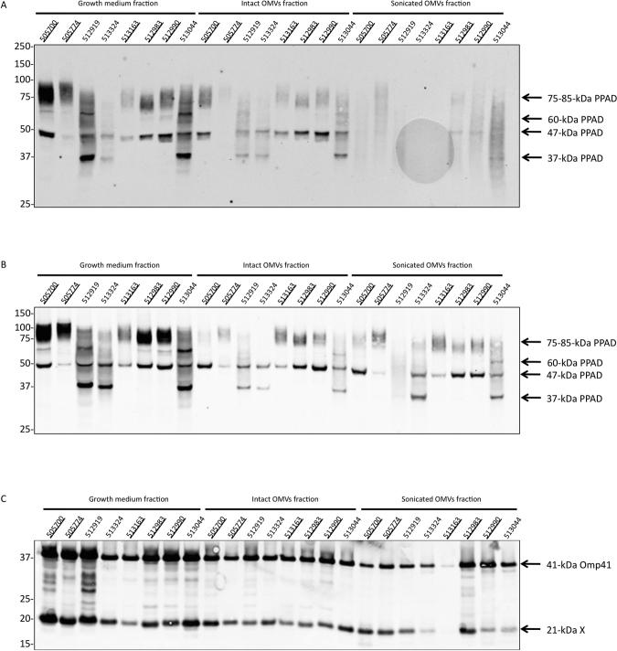
The periodontal pathogen Porphyromonas gingivalis has been invoked in the autoimmune disease rheumatoid arthritis (RA). This association relates to the peptidylarginine deiminase of P. gingivalis (PPAD), an enzyme capable of citrullinating human proteins and potentially contributing to loss of tolerance to citrullinated proteins in RA. PPAD is both retained in the outer membrane (OM) of P. gingivalis cells and secreted into the extracellular milieu, where it is detected in a soluble form and in association with outer membrane vesicles (OMVs). Recent studies showed that certain P. gingivalis proteins are retained in the OM through modification with an A-type lipopolysaccharide (A-LPS). Here, we investigated the possible involvement of A-LPS modification in the association of PPAD to the OM and OMVs. The results indicate that the OM- and OMV-associated PPAD is A-LPS-modified. The modified PPAD species is of low abundance in particular clinical isolates of P. gingivalis, which is not due to defects in the overall synthesis of A-LPS-modified proteins but, rather, to particular traits of the respective PPAD proteins. Lastly, we show that OMV association protects the A-LPS-modified PPAD from proteolytic degradation. Altogether, our observations show that A-LPS modification contributes to OM(V) sorting and 'protective secretion' of PPAD.

摘要

牙周病原体牙龈卟啉单胞菌(Porphyromonas gingivalis)已被卷入自身免疫性疾病类风湿关节炎(RA)中。这种关联与牙龈卟啉单胞菌的肽基精氨酸脱亚氨酶(PPAD)有关,该酶能够使人类蛋白质瓜氨酸化,并可能导致 RA 中对瓜氨酸化蛋白质的耐受性丧失。PPAD 既保留在牙龈卟啉单胞菌细胞的外膜(OM)中,又分泌到细胞外环境中,在该环境中以可溶性形式和与外膜囊泡(OMV)结合的形式被检测到。最近的研究表明,某些牙龈卟啉单胞菌蛋白通过与 A 型脂多糖(A-LPS)的修饰而保留在外膜中。在这里,我们研究了 A-LPS 修饰在 PPAD 与 OM 和 OMV 结合中的可能作用。结果表明,与 OM 和 OMV 相关的 PPAD 是 A-LPS 修饰的。在特定的牙龈卟啉单胞菌临床分离株中,修饰后的 PPAD 种类丰度较低,这不是由于 A-LPS 修饰蛋白的整体合成缺陷所致,而是由于各自的 PPAD 蛋白的特定特征所致。最后,我们表明 OMV 结合可以保护 A-LPS 修饰的 PPAD 免受蛋白水解降解。总之,我们的观察结果表明,A-LPS 修饰有助于 OM(V)分拣和 PPAD 的“保护性分泌”。

https://cdn.ncbi.nlm.nih.gov/pmc/blobs/8fad/5997701/679980212a4f/41598_2018_27223_Fig1_HTML.jpg

文献检索

告别复杂PubMed语法,用中文像聊天一样搜索,搜遍4000万医学文献。AI智能推荐,让科研检索更轻松。

立即免费搜索

文件翻译

保留排版,准确专业,支持PDF/Word/PPT等文件格式,支持 12+语言互译。

免费翻译文档

深度研究

AI帮你快速写综述,25分钟生成高质量综述,智能提取关键信息,辅助科研写作。

立即免费体验