• 文献检索
  • 文档翻译
  • 深度研究
  • 学术资讯
  • Suppr Zotero 插件Zotero 插件
  • 邀请有礼
  • 套餐&价格
  • 历史记录
应用&插件
Suppr Zotero 插件Zotero 插件浏览器插件Mac 客户端Windows 客户端微信小程序
定价
高级版会员购买积分包购买API积分包
服务
文献检索文档翻译深度研究API 文档MCP 服务
关于我们
关于 Suppr公司介绍联系我们用户协议隐私条款
关注我们

Suppr 超能文献

核心技术专利:CN118964589B侵权必究
粤ICP备2023148730 号-1Suppr @ 2026

文献检索

告别复杂PubMed语法,用中文像聊天一样搜索,搜遍4000万医学文献。AI智能推荐,让科研检索更轻松。

立即免费搜索

文件翻译

保留排版,准确专业,支持PDF/Word/PPT等文件格式,支持 12+语言互译。

免费翻译文档

深度研究

AI帮你快速写综述,25分钟生成高质量综述,智能提取关键信息,辅助科研写作。

立即免费体验

伴有罕见相关血管和肛肠畸形的食管肺。

Esophageal lung with rare associated vascular and anorectal malformations.

作者信息

Alsaadi Ali, Alsufiani Hamdi A, Allugmani Mohammad D, Gora Altaf Hussain

机构信息

Department of Radiology, Madina Maternity and Children's Hospital, Madinah, Saudi Arabia.

Department of Pediatric Pulmonary, Madina Maternity and Children's Hospital, Madinah, Saudi Arabia.

出版信息

Radiol Case Rep. 2018 Feb 28;13(2):444-448. doi: 10.1016/j.radcr.2018.01.029. eCollection 2018 Apr.

DOI:10.1016/j.radcr.2018.01.029
PMID:29904493
原文链接:https://pmc.ncbi.nlm.nih.gov/articles/PMC6000028/
Abstract

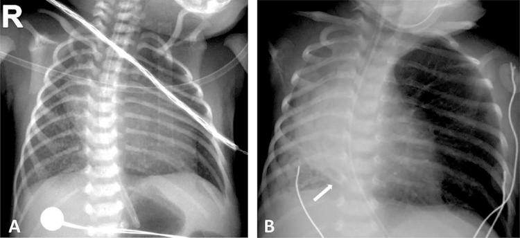
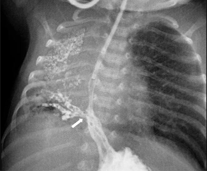
Esophageal lung is a rare communicating bronchopulmonary foregut malformation in which the main bronchus arising from the trachea is absent. The affected lung is usually hypoplastic and aerated via an anomalous airway originating from the esophagus. Other anomalies such as esophageal atresia with tracheoesophageal fistula or VACTERL (vertebral defects, anal atresia, cardiac defects, tracheoesophageal fistula, renal anomalies, and limb abnormalities) association can co-exist. The initial radiographic findings may be normal, but subsequent imaging usually shows progressive and recurrent lung collapse, probably because of recurrent aspiration through the anomalous airway and poor compliance of the affected lung during breathing. In this report, we describe a neonate with esophageal lung and rare associated anomalies, including anorectal malformation, pulmonary artery sling, and inferior vena cava interruption with azygous continuation. To our knowledge, this is the first report of esophageal lung with such associations.

摘要

食管肺是一种罕见的交通性支气管肺前肠畸形,其中起源于气管的主支气管缺如。患侧肺通常发育不全,并通过起源于食管的异常气道进行通气。其他异常情况,如食管闭锁合并气管食管瘘或VACTERL(脊柱缺陷、肛门闭锁、心脏缺陷、气管食管瘘、肾脏异常和肢体异常)综合征可能同时存在。最初的影像学表现可能正常,但随后的影像学检查通常显示进行性和复发性肺不张,这可能是由于通过异常气道反复误吸以及患侧肺在呼吸时顺应性差所致。在本报告中,我们描述了一名患有食管肺及罕见相关异常的新生儿,这些异常包括肛门直肠畸形、肺动脉吊带以及下腔静脉中断伴奇静脉延续。据我们所知,这是首次报道伴有此类关联的食管肺病例。

https://cdn.ncbi.nlm.nih.gov/pmc/blobs/cd39/6000028/3d76e6001a16/radcr449-fig-0004.jpg
https://cdn.ncbi.nlm.nih.gov/pmc/blobs/cd39/6000028/b20c7a162cb7/radcr449-fig-0001.jpg
https://cdn.ncbi.nlm.nih.gov/pmc/blobs/cd39/6000028/e8fcef254886/radcr449-fig-0002.jpg
https://cdn.ncbi.nlm.nih.gov/pmc/blobs/cd39/6000028/27cfc82fe825/radcr449-fig-0003.jpg
https://cdn.ncbi.nlm.nih.gov/pmc/blobs/cd39/6000028/3d76e6001a16/radcr449-fig-0004.jpg
https://cdn.ncbi.nlm.nih.gov/pmc/blobs/cd39/6000028/b20c7a162cb7/radcr449-fig-0001.jpg
https://cdn.ncbi.nlm.nih.gov/pmc/blobs/cd39/6000028/e8fcef254886/radcr449-fig-0002.jpg
https://cdn.ncbi.nlm.nih.gov/pmc/blobs/cd39/6000028/27cfc82fe825/radcr449-fig-0003.jpg
https://cdn.ncbi.nlm.nih.gov/pmc/blobs/cd39/6000028/3d76e6001a16/radcr449-fig-0004.jpg

相似文献

1
Esophageal lung with rare associated vascular and anorectal malformations.伴有罕见相关血管和肛肠畸形的食管肺。
Radiol Case Rep. 2018 Feb 28;13(2):444-448. doi: 10.1016/j.radcr.2018.01.029. eCollection 2018 Apr.
2
Computed tomography and upper gastrointestinal series findings of esophageal bronchi in infants.婴儿食管支气管的计算机断层扫描和上消化道造影检查结果
Pediatr Radiol. 2017 Feb;47(2):154-160. doi: 10.1007/s00247-016-3724-6. Epub 2016 Oct 26.
3
Successful thoracoscopic treatment for tracheoesophageal fistula and esophageal atresia of communicating bronchopulmonary foregut malformation group IB with dextrocardia: a case report of VACTERL association.成功的胸腔镜治疗右位心的1B型支气管肺前肠畸形组气管食管瘘和食管闭锁:VACTERL综合征一例报告
Surg Case Rep. 2021 Jan 6;7(1):11. doi: 10.1186/s40792-020-01099-y.
4
VACTERL associations in children undergoing surgery for esophageal atresia and anorectal malformations: Implications for pediatric surgeons.接受食管闭锁和肛门直肠畸形手术的儿童中的VACTERL综合征:对小儿外科医生的启示
J Pediatr Surg. 2015 Aug;50(8):1245-50. doi: 10.1016/j.jpedsurg.2015.02.049. Epub 2015 Mar 10.
5
Management of Esophageal Lung in a Patient With VACTERL Anomalies.VACTERL 畸形患者的食管肺管理。
Am Surg. 2020 Nov;86(11):1538-1540. doi: 10.1177/0003134820933615. Epub 2020 Jul 1.
6
Patients with anorectal malformation and upper limb anomalies: genetic evaluation is warranted.患有肛门直肠畸形和上肢异常的患者:有必要进行基因评估。
Eur J Pediatr. 2016 Apr;175(4):489-97. doi: 10.1007/s00431-015-2655-9. Epub 2015 Oct 24.
7
Anorectal malformations associated with esophageal atresia in neonates.新生儿中与食管闭锁相关的肛门直肠畸形。
Pediatr Gastroenterol Hepatol Nutr. 2013 Mar;16(1):28-33. doi: 10.5223/pghn.2013.16.1.28. Epub 2013 Mar 31.
8
VACTERL (vertebral defects, anal atresia, tracheoesophageal fistula with esophageal atresia, cardiac defects, renal and limb anomalies) association: disease spectrum in 25 patients ascertained for their upper limb involvement.VACTERL(椎体缺陷、肛门闭锁、气管食管瘘伴食管闭锁、心脏缺陷、肾脏和肢体异常)联合症:25 例上肢受累患者的疾病谱。
J Pediatr. 2014 Mar;164(3):458-62.e1-2. doi: 10.1016/j.jpeds.2013.09.033. Epub 2013 Nov 7.
9
Clinical and etiological heterogeneity in patients with tracheo-esophageal malformations and associated anomalies.气管食管畸形及相关异常患者的临床和病因学异质性。
Eur J Med Genet. 2014 Aug;57(8):440-52. doi: 10.1016/j.ejmg.2014.05.009. Epub 2014 Jun 13.
10
Congenital bronchopulmonary foregut malformation initially diagnosed as esophageal atresia type C: challenging diagnosis and treatment.先天性支气管肺前肠畸形初诊为 C 型食管闭锁:诊断和治疗极具挑战性。
J Pediatr Surg. 2012 Oct;47(10):e59-62. doi: 10.1016/j.jpedsurg.2012.07.060.

引用本文的文献

1
Computed tomography findings of communicating bronchopulmonary foregut malformation: a retrospective study of 18 patients.支气管肺前肠沟通性畸形的计算机断层扫描表现:18 例回顾性研究。
Pediatr Radiol. 2023 May;53(6):1063-1075. doi: 10.1007/s00247-023-05610-z. Epub 2023 Feb 27.
2
The utility of CT virtual bronchoscopy in the esophageal lung diagnosis: A case report.CT虚拟支气管镜检查在食管源性肺诊断中的应用:一例报告。
Respir Med Case Rep. 2022 May 5;37:101658. doi: 10.1016/j.rmcr.2022.101658. eCollection 2022.
3
Left interval thoracoscopic pneumonectomy for type II communicating bronchopulmonary foregut malformation in a 17-month-old girl.

本文引用的文献

1
Communicating bronchopulmonary foregut malformation type IA: radiologic anatomy and clinical dilemmas.IA型交通性支气管肺前肠畸形:放射学解剖与临床困境
Surg Radiol Anat. 2015 Dec;37(10):1251-6. doi: 10.1007/s00276-015-1504-x. Epub 2015 Jun 16.
2
Prenatal diagnosis of esophageal bronchus--first report of a rare foregut malformation in utero.食管支气管的产前诊断——子宫内一种罕见前肠畸形的首例报告
J Pediatr Surg. 2015 Feb;50(2):306-10. doi: 10.1016/j.jpedsurg.2014.11.025. Epub 2014 Nov 10.
3
Diagnosis of esophageal lung combined with pulmonary sling using multidetector computed tomography.
为一名17个月大女童实施左区间电视胸腔镜肺切除术治疗II型交通性支气管肺前肠畸形。
Int J Surg Case Rep. 2020;77:235-242. doi: 10.1016/j.ijscr.2020.10.132. Epub 2020 Nov 2.
4
Esophageal Lung in a Preterm Boy-Report on a Multidisciplinary Treatment.一名早产男婴的食管肺——多学科治疗报告
European J Pediatr Surg Rep. 2019 Jan;7(1):e110-e113. doi: 10.1055/s-0039-3400475. Epub 2019 Nov 28.
5
Congenital bronchopulmonary foregut malformation: systematic review of the literature.先天性支气管肺前肠畸形:文献系统综述。
BMC Pediatr. 2019 Sep 2;19(1):305. doi: 10.1186/s12887-019-1686-1.
6
Possible Approach to Esophageal Lung with Long Tracheobronchial Gap.治疗伴有长气管支气管间隙的食管源性肺的可能方法。
European J Pediatr Surg Rep. 2019 Jan;7(1):e28-e31. doi: 10.1055/s-0039-1692407. Epub 2019 Jun 17.
使用多排螺旋计算机断层扫描诊断食管肺合并肺动脉吊带
Ann Thorac Surg. 2014 Feb;97(2):e53. doi: 10.1016/j.athoracsur.2013.10.092.
4
Successful tracheobronchial reconstruction of communicating bronchopulmonary foregut malformation and long segment congenital tracheal stenosis: a case report.成功重建沟通性支气管肺前肠畸形和长段先天性气管狭窄的气管支气管:一例报告。
J Pediatr Surg. 2012 Sep;47(9):E41-6. doi: 10.1016/j.jpedsurg.2012.06.009.
5
Esophageal bronchus in an infant--a rare cause of recurrent pneumonia.婴儿性食管支气管——反复肺炎的罕见病因。
J Pediatr Surg. 2012 Jan;47(1):e5-8. doi: 10.1016/j.jpedsurg.2011.10.004.
6
Esophageal lung: presentation, management, and review of literature.食管肺:临床表现、处理方法及文献复习。
J Pediatr Surg. 2011 Aug;46(8):1634-7. doi: 10.1016/j.jpedsurg.2011.04.057.
7
Bronchial anomalies in VACTERL association.VACTERL综合征中的支气管异常。
Pediatr Pulmonol. 2008 Sep;43(9):930-2. doi: 10.1002/ppul.20827.
8
Esophageal bronchus: case report and review of the literature.食管支气管:病例报告及文献综述
Acta Radiol. 2008 Mar;49(2):138-41. doi: 10.1080/02841850701673391.
9
Congenital bronchopulmonary foregut malformations: concepts and controversies.先天性支气管肺前肠畸形:概念与争议
Pediatr Radiol. 2006 Aug;36(8):773-91. doi: 10.1007/s00247-006-0115-4. Epub 2006 Mar 22.
10
Right esophageal lung in a preterm child with VACTERL association and Mayer-Rokitansky-Kuster-Hauser syndrome.一名患有VACTERL综合征和 Mayer-Rokitansky-Kuster-Hauser综合征的早产儿出现右位食管肺。
Pediatr Surg Int. 2005 Apr;21(4):285-8. doi: 10.1007/s00383-004-1304-6. Epub 2004 Dec 9.